ACAD9 Monoclonal Antibody
-
中文名稱:ACAD9 Monoclonal Antibody
-
貨號:CSB-MA828515
-
規格:¥1320
-
圖片:
-
Flow cytometric analysis of ACAD9 expression in HepG2 cells using ACAD9 antibody. Green, isotype control; red, ACAD9.
-
Immunocytochemical staining of HepG2 cells with ACAD9 antibody. Nuclei were stained blue with DAPI; ACAD9 was stained magenta with Alexa Fluor? 647. Images were taken using Leica stellaris 5. Protein abundance based on laser Intensity and smart gain: Medium. Scale bar, 20 μm.
-
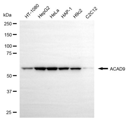
Western blotting analysis using ACAD9 antibody. Total cell lysates (30 μg) from various cell lines were loaded and separated by SDS-PAGE. The blot was incubated with ACAD9 antibody and HRP-conjugated goat anti-mouse secondary antibody respectively.
-
-
其他:
產品詳情
-
產品名稱:Mouse anti-Homo sapiens (Human) ACAD9 Monoclonal antibody
-
Uniprot No.:
-
基因名:
-
別名:ACAD9; Acyl-CoA Dehydrogenase Family Member 9; NPD002; Acyl-Coenzyme A Dehydrogenase Family, Member 9; Complex I Assembly Factor ACAD9, Mitochondrial; MGC14452; Very-Long-Chain Acyl-CoA Dehydrogenase VLCAD; Acyl-CoA Dehydrogenase Family, Member 9; EC 1.3.99.10; EC 1.3.8.-; EC 1.3.99; MC1DN20; ACAD-9
-
宿主:Mouse
-
反應種屬:Human, Mouse, Rat
-
免疫原:Recombinant Human ACAD9 protein
-
免疫原種屬:Homo sapiens (Human)
-
標記方式:Non-conjugated
-
克隆類型:Monoclonal
-
抗體亞型:Mouse IgG1
-
純化方式:Affinity-chromatography
-
克隆號:5F10
-
濃度:It differs from different batches. Please contact us to confirm it.
-
保存緩沖液:PBS (pH 7.4) containing 50% glycerol, and 0.02% sodium azide.
-
產品提供形式:Liquid
-
應用范圍:ELISA, WB, FC, ICC
-
推薦稀釋比:
Application Recommended Dilution WB 1:500-1:2500 FC 1:200-1:2000 ICC 1:100-1:1000 -
Protocols:
-
儲存條件:Upon receipt, store at -20°C or -80°C. Avoid repeated freeze.
-
貨期:Basically, we can dispatch the products out in 1-3 working days after receiving your orders. Delivery time maybe differs from different purchasing way or location, please kindly consult your local distributors for specific delivery time.
-
用途:For Research Use Only. Not for use in diagnostic or therapeutic procedures.
相關產品
靶點詳情
-
功能:As part of the MCIA complex, primarily participates in the assembly of the mitochondrial complex I and therefore plays a role in oxidative phosphorylation. This moonlighting protein has also a dehydrogenase activity toward a broad range of substrates with greater specificity for long-chain unsaturated acyl-CoAs. However, in vivo, it does not seem to play a primary role in fatty acid oxidation. In addition, the function in complex I assembly is independent of the dehydrogenase activity of the protein.
-
基因功能參考文獻:
- Mutations in the ND6, NDUFV1 or ACAD9 genes are responsible for the mitochondrial complex I deficiency. PMID: 29348607
- Study identified new mutations in ACAD9 responsible for a wide spectrum of heart diseases in the presence of elevated serum lactate levels. PMID: 27233227
- ACAD9 mutation is the most frequent cause of cardiac hypertrophy and isolated complex I deficiency. PMID: 26669660
- Case Report: neonatal multiorgan failure due to ACAD9 mutation and complex I deficiency with mitochondrial hyperplasia in liver, cardiac myocytes, skeletal muscle, and renal tubules. PMID: 26826406
- In cells where it is strongly expressed, ACAD9 plays a physiological role in fatty acid oxidation. PMID: 25721401
- Our results underscore the importance of the ACAD9 protein in complex I assembly and suggest that the enzymatic activity is a rudiment of the duplication event. PMID: 24158852
- Our data support a new function for ACAD9 in complex I function, making this gene an important new candidate for patients with complex I deficiency, which could be improved by riboflavin treatment. PMID: 20929961
- ACAD9 screening of 120 additional complex I-defective index cases led us to identify two additional unrelated cases and a total of five pathogenic ACAD9 alleles. PMID: 21057504
- Data show that two closely related metabolic enzymes, ACAD9 and VLCAD, diverged at the root of the vertebrate lineage to function in two separate mitochondrial metabolic pathways and have clinical implications for the diagnosis of complex I deficiency. PMID: 20816094
- Very high activity of CPT2 and VCLAD, involved in the metabolism of long-chain fatty acids. Fatty acid oxidation may play role in energy generation in placenta, and deficiency in may result in placental dysfunction and gestational complications. PMID: 12971426
- ACAD9 may play a role in the turnover of lipid membrane unsaturated fatty acids that are essential for membrane integrity and structure PMID: 16020546
- acyl-CoA dehydrogenase 9 (ACAD 9)was identified as the long-chain ACAD in human embryonic and fetal brain and central nervous tissue, using in situ hybridization as well as enzymatic studies PMID: 16750164
- We now report three cases of ACAD9 deficiency. PMID: 17564966
- Accumulation of 3-hydroxylated intermediates of long-chain fatty acids may contribute to the pathogenesis of retinopathy in MTP deficiencies. PMID: 18385088
- Validated occurrence of an unusual TG 3' splice site in intron 10. PMID: 17672918
顯示更多
收起更多
-
相關疾病:Acyl-CoA dehydrogenase family, member 9, deficiency (ACAD9 deficiency)
-
亞細胞定位:Mitochondrion inner membrane; Peripheral membrane protein; Matrix side.
-
蛋白家族:Acyl-CoA dehydrogenase family
-
組織特異性:Ubiquitously expressed in most normal human tissues and cancer cell lines with high level of expression in heart, skeletal muscles, brain, kidney and liver. In the cerebellum uniquely expressed in the granular layer (at protein level).
-
數據庫鏈接:
Most popular with customers
-
YWHAB Recombinant Monoclonal Antibody
Applications: ELISA, WB, IHC, IF, FC
Species Reactivity: Human, Mouse, Rat
-
Phospho-YAP1 (S127) Recombinant Monoclonal Antibody
Applications: ELISA, WB, IHC
Species Reactivity: Human
-
-
-
-
-
-















