TPO
TPO,全稱為血小板生成素(Thrombopoietin),也被稱為巨核細胞生長素。它是一種由肝臟和腎臟產生的蛋白質,主要作用是促進巨核細胞的增殖和分化,進而生成血小板。TPO在調節血小板數量中起著關鍵作用,其異常與多種血液疾病相關。例如,TPO水平降低可能導致血小板減少癥,而TPO水平升高則可能與某些類型的癌癥有關。近年來,針對TPO的藥物研發取得了顯著進展,如TPO受體激動劑,這些藥物在治療血小板減少癥方面顯示出良好的療效。
熱銷產品
Recombinant Human Thyroid peroxidase (TPO), partial (CSB-YP024112HU)
驗證數據
(Tris-Glycine gel) Discontinuous SDS-PAGE (reduced) with 5% enrichment gel and 15% separation gel.
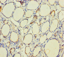
TPO Antibody (CSB-PA12279A0RB)
驗證數據
Immunohistochemistry of paraffin-embedded human thyroid tissue using CSB-PA12279A0RB at dilution of 1:100
Human Thyroid-Peroxidase,TPO ELISA Kit (CSB-E08351h)
驗證數據
貨號:CSB-E08351h
規格:96T/48T
靈敏度:0.225 ng/mL
檢測范圍:0.9 ng/mL-60 ng/mL
These standard curves are provided for demonstration only. A standard curve should be generated for each set of samples assayed.
TPO Antibodies
TPO for Homo sapiens (Human)
| 產品貨號 | 產品名稱 | 種屬反應性 | 應用類型 |
|---|---|---|---|
| CSB-PA12279A0RB | TPO Antibody | Human | ELISA, IHC |
| CSB-PA12279B0RB | TPO Antibody, HRP conjugated | Human | ELISA |
| CSB-PA12279C0RB | TPO Antibody, FITC conjugated | Human | |
| CSB-PA169016 | TPO Antibody | Human | ELISA,IHC |
TPO Proteins
TPO Proteins for Rattus norvegicus (Rat)
| 產品貨號 | 產品名稱 | 來源 |
|---|---|---|
| CSB-YP024112RA CSB-EP024112RA CSB-BP024112RA CSB-MP024112RA CSB-EP024112RA-B |
Recombinant Rat Thyroid peroxidase (Tpo), partial | Yeast E.coli Baculovirus Mammalian cell In Vivo Biotinylation in E.coli |
TPO Proteins for Mus musculus (Mouse)
| 產品貨號 | 產品名稱 | 來源 |
|---|---|---|
| CSB-YP024112MO CSB-EP024112MO CSB-BP024112MO CSB-MP024112MO CSB-EP024112MO-B |
Recombinant Mouse Thyroid peroxidase (Tpo), partial | Yeast E.coli Baculovirus Mammalian cell In Vivo Biotinylation in E.coli |
TPO Proteins for Homo sapiens (Human)
| 產品貨號 | 產品名稱 | 來源 |
|---|---|---|
| CSB-YP024112HU | Recombinant Human Thyroid peroxidase (TPO), partial | Yeast |
TPO Proteins for Sus scrofa (Pig)
| 產品貨號 | 產品名稱 | 來源 |
|---|---|---|
| CSB-YP024112PI CSB-EP024112PI CSB-BP024112PI CSB-MP024112PI CSB-EP024112PI-B |
Recombinant Pig Thyroid peroxidase (TPO), partial | Yeast E.coli Baculovirus Mammalian cell In Vivo Biotinylation in E.coli |
TPO Proteins for Canis familiaris (Dog) (Canis lupus familiaris)
| 產品貨號 | 產品名稱 | 來源 |
|---|---|---|
| CSB-YP024112DO CSB-EP024112DO CSB-BP024112DO CSB-MP024112DO CSB-EP024112DO-B |
Recombinant Dog Thyroid peroxidase (TPO), partial | Yeast E.coli Baculovirus Mammalian cell In Vivo Biotinylation in E.coli |
TPO ELISA Kit
TPO ELISA Kit for Homo sapiens (Human)
| 產品貨號 | 產品名稱 | 樣本類型 | 靈敏度 |
|---|---|---|---|
| CSB-E08351h | Human Thyroid-Peroxidase,TPO ELISA Kit | serum, plasma, tissue homogenates | 0.225 ng/mL |
TPO ELISA Kit for Mus musculus (Mouse)
| 產品貨號 | 產品名稱 | 樣本類型 | 靈敏度 |
|---|---|---|---|
| CSB-E08353m | Mouse Thyroid-Peroxidase,TPO ELISA Kit | serum, plasma, cell culture supernates, tissue homogenates | 2.5 ng/mL |
TPO ELISA Kit for Rattus norvegicus (Rat)
| 產品貨號 | 產品名稱 | 樣本類型 | 靈敏度 |
|---|---|---|---|
| CSB-E08352r | Rat Thyroid-Peroxidase,TPO ELISA Kit | serum, plasma, tissue Homogenates | 2.5 ng/mL |




