TNFSF13
TNFSF13,也稱為APRIL,是腫瘤壞死因子超家族的重要成員,它在淋巴組織、脾臟、骨髓等免疫相關組織中高表達。作為一個多肽,TNFSF13在體液免疫中發揮著調節B細胞激活和抗體產生的關鍵作用,通過與BCMA和TACI等受體相互作用,促進B細胞的增殖和存活。TNFSF13重組蛋白是人工制備的,具有特定的生物學活性,廣泛應用于科學研究,包括SDS-PAGE分析以及其他功能研究。這種重組蛋白在免疫調節和抗炎治療領域具有潛在的應用價值,為開發新的免疫治療策略提供了可能。
熱銷產品
驗證數據
(Tris-Glycine gel) Discontinuous SDS-PAGE (reduced) with 5% enrichment gel and 15% separation gel.
Activity
Measured by its binding ability in a functional ELISA. Immobilized Human TNFSF13 protein at 2 μg/ml can bind Human TNFRSF17 protein (CSB-MP023974HU1-B). The EC50 is 0.8083-0.9391 ng/mL.
Activity
Measured by its binding ability in a functional ELISA. Immobilized Macaca fascicularis TNFRSF13B protein (CSB-MP6427MOV) at 2 μg/ml can bind Human TNFSF13 protein. The EC50 is 11.13-18.97 ng/mL.
TNFSF13 Antibody (CSB-PA023989ESR1HU)
驗證數據
Western blot
All lanes: Tumor necrosis factor ligand superfamily member 13 antibody at 10μg/ml + Hela whole cell lysate
Secondary
Goat polyclonal to rabbit IgG at 1/10000 dilution
Predicted band size: 28, 26, 25, 37, 23 kDa
Observed band size: 28 kDa
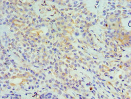
Immunohistochemistry of paraffin-embedded human breast cancer using CSB-PA023989ESR1HU at dilution of 1:100
Immunohistochemistry of paraffin-embedded human pancreatic tissue using CSB-PA023989ESR1HU at dilution of 1:100
TNFSF13 Antibodies
TNFSF13 for Homo sapiens (Human)
| 產品貨號 | 產品名稱 | 種屬反應性 | 應用類型 |
|---|---|---|---|
| CSB-PA023989GA01HU | TNFSF13 Antibody | Human,Mouse,Rat | ELISA,WB |
| CSB-PA023989ESR1HU | TNFSF13 Antibody | Human | ELISA, WB, IHC |
| CSB-PA023989ESR2HU | TNFSF13 Antibody | Human | ELISA, IHC |
| CSB-PA244663 | TNFSF13 Antibody | Human,Mouse,Rat | ELISA,WB,IHC,IF |
| CSB-PA000909 | TNFSF13 Antibody | Human,Mouse,Rat | WB, IHC, IF, ELISA |
| CSB-PA877550 | TNFSF13 Antibody | Human,Mouse | ELISA,IHC |
| CSB-PA935662 | TNFSF13 Antibody | Human,Mouse | ELISA,IHC |
| CSB-PA599200 | TNFSF13 Antibody | Human,Mouse | ELISA,IHC |
| CSB-PA587516 | TNFSF13 Antibody | Human,Mouse | ELISA,IHC |
TNFSF13 Proteins
TNFSF13 Proteins for Homo sapiens (Human)
| 產品貨號 | 產品名稱 | 來源 |
|---|---|---|
| CSB-YP023989HU CSB-EP023989HU CSB-BP023989HU CSB-EP023989HU-B |
Recombinant Human Tumor necrosis factor ligand superfamily member 13 (TNFSF13) | Yeast E.coli Baculovirus In Vivo Biotinylation in E.coli |
TNFSF13 ELISA Kit
TNFSF13 ELISA Kit for Homo sapiens (Human)
| 產品貨號 | 產品名稱 | 樣本類型 | 靈敏度 |
|---|---|---|---|
| CSB-E15012h | Human a proliferation inducing ligand(APRIL)ELISA Kit | serum, plasma, urine | 0.195 ng/mL |






