單克隆抗體
單克隆抗體是由單一B細胞克隆產生的高度均一、僅針對某一特定抗原表位的抗體,稱為單克隆抗體。通常采用雜交瘤技術來制備,雜交瘤(hybridoma)抗體技術是在細胞融合技術的基礎上,將具有分泌特異性抗體能力的致敏B細胞和具有無限繁殖能力的骨髓瘤細胞融合為B細胞雜交瘤。用具備這種特性的單個雜交瘤細胞培養成細胞群,可制備針對一種抗原表位的特異性抗體即單克隆抗體。
產品優勢
華美生物專注于抗體生產和定制服務。目前已圍繞抗體建立了一系列技術平臺和動物繁育基地。單克隆抗體由從事抗體研發生產多年的技術人員制備。華美生物擁有成熟的技術路線和嚴格質控流程,以便于為客戶提供高質量的單克隆抗體產品。
下面是部分華美生物單克隆抗體應用展示示例:
CD14 Monoclonal Antibody (CSB-MA004879A1m)
CD44 Monoclonal Antibody (CSB-MA004938A0m)
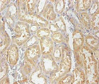
CD146 Monoclonal Antibody (CSB-MA013563A0m)
CD44 Monoclonal Antibody (CSB-MA004938A0m)
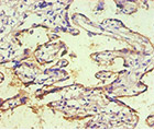
CD31 Monoclonal Antibody (CSB-MA017767A0m)
PD-L1 Monoclonal Antibody (CSB-MA878942A0m)
CD59 Monoclonal Antibody (CSB-MA0049471A0m)
CST3 Monoclonal Antibody (CSB-MA061901A0m)
產品列表
您可以在下述列表中尋找您所需要的產品,或直接在頂部搜索框中中輸入您需要查找的靶點、產品名稱、貨號。有任何問題,請點擊此處在線咨詢。
如果您未找到所需要的產品,請點擊此處查看單克隆抗體定制服務。
| 產品名稱 | 貨號 | 反應種屬 | 應用范圍 | 規格 |
|---|---|---|---|---|
| HSPA8 Monoclonal Antibody | CSB-MA010829A0m | Human, Rat, Mouse | ELISA, WB, IHC, FC, IP | 100ul/50ul |
| HSPA8 Monoclonal Antibody | CSB-MA010829A1m | Human | ELISA, WB, IHC, IF, FC | 100ul/50ul |
| PKM Monoclonal Antibody | CSB-MA018072A0m | Human, Rat, Mouse, Rabbit | ELISA, WB, IHC, IF, FC, IP | 100μl/50μl |
| PKM Monoclonal Antibody | CSB-MA018072A1m | Human, Mouse | ELISA, WB, IHC, IF, FC, IP | 100μl/50μl |
| CD9 Monoclonal Antibody | CSB-MA004969A0m | Human | ELISA, WB, IHC | 100μl/50μl |
| PD-L2 Monoclonal Antibody | CSB-MA017667A0m | Human | ELISA, WB, IHC, IF, FC, IP | 100μl/50μl |
| CD45 Monoclonal Antibody | CSB-MA019049A0m | Human | ELISA, WB, IHC, IF, FC | 100μl/50μl |
| DXD Monoclonal Antibody | CSB-MA996977I1m | ELISA | 100μl/50μl | |
| DXD Monoclonal Antibody | CSB-MA996977I2m | ELISA | 100μl/50μl | |
| DXD Monoclonal Antibody, HRP conjugated | CSB-MA996977I1m-B | ELISA | 100μl/50μl | |
| DXD Monoclonal Antibody, HRP conjugated | CSB-MA996977I2m-B | ELISA | 100μl/50μl | |
| MMAE&MMAF Monoclonal Antibody | CSB-MA903890I1m | Homo sapiens (Human) | ELISA | 100μl/50μl |
| Eribulin Monoclonal Antibody | CSB-MA943989I1m | Homo sapiens (Human) | ELISA | 100μl/50μl |
| SN38 Monoclonal Antibody | CSB-MA187707I1m | Homo sapiens (Human) | ELISA | 100μl/50μl |
| Human IgG Fc Monoclonal Antibody | CSB-MA928050A0m | Homo sapiens (Human) | ELISA | 100μl/50μl |
| DM1 Monoclonal Antibody | CSB-MA989454I0m | Homo sapiens (Human) | ELISA | 100μl/50μl |
| DM1&DM4 Monoclonal Antibody | CSB-MA989811I0m | Homo sapiens (Human) | ELISA | 100μl/50μl |
| DM1&DM4 Monoclonal Antibody | CSB-MA989811I1m | Homo sapiens (Human) | ELISA | 100μl/50μl |
| DM1&DM4 Monoclonal Antibody | CSB-MA989811I2m | Homo sapiens (Human) | ELISA | 100μl/50μl |
| DM1&DM4 Monoclonal Antibody | CSB-MA989811I3m | Homo sapiens (Human) | ELISA | 100μl/50μl |
部分引用文獻
An Image-Based High-Throughput and High-Content Drug Screening Method Based on Microarray and Expansion Microscopy. ACS nano, 2023. (IF=18.027)
引用產品:TUBA1A Monoclonal Antibody,CSB-MA754656A0m
The metabolite alpha-ketobutyrate extends lifespan by promoting peroxisomal function in C. elegans. Nature communications, 2023. (IF=17.694)
引用產品:NFE2L2 Monoclonal Antibody,CSB-MA614961A0m
PD-L1 methylation restricts PD-L1/PD-1 interactions to control cancer immune surveillance. Science advances, 2023. (IF=14.957)
引用產品:PD-L1 Monoclonal Antibody, CSB-MA878942A0m
Stomatin modulates adipogenesis through the ERK pathway and regulates fatty acid uptake and lipid droplet growth. Nature communications, 2022. (IF=14.919)
引用產品:Flag Tag Monoclonal Antibody, CSB-MA000021M0m
SF3B1 inhibition disrupts malignancy and prolongs survival in glioblastoma patients through BCL2L1 splicing and mTOR/ß-catenin pathways imbalances. Journal of Experimental & Clinical Cancer Research, 2022. (IF=11.161)
引用產品:TP53 Monoclonal Antibody, CSB-MA0240771A0m
關于單抗
在科研和實際生產中,單克隆抗體有利有弊,具體內容如下所示:
1.單克隆抗體的優點
- 雜交瘤可以在體外“永久”地存活并傳代,只要不發生細胞株基因突變,就可以不斷地生產高特異性、高均一性的抗體。
- 單克隆抗體在批次之間具有高度同質性,也就是說,如果實驗條件保持不變,單克隆抗體的結果在實驗和批次之間可以非常可重復。
- 可以用相對不純的抗原,獲得大量高度特異的、均一的抗體。
- 由于單克隆抗體具有高特異性,所以該抗體可特異性識別抗原上的特定表位,并降低與其他蛋白質交叉反應的可能性。
- 由于單克隆抗體的高特異性和單一生物學功能,可用于體內的放射免疫顯像和免疫導向治療。而且,較多克隆抗體而言,單克隆抗體更適用于對蛋白水平定量的實驗。
2.單克隆抗體的局限性
- 單克隆抗體制備工序復雜,耗時較長,價格也較高。
- 由于不同物種中同一抗原的表位結構不同,哪怕是微小的表位結構變化,單克隆抗體更通常是無法檢測,這就導致了該抗體不能在相近的物種中通用,從而限制了它們的靈活性。
- 單克隆抗體固有的親和性和局限的生物活性限制了它的應用范圍。由于單克隆抗體不能進行沉淀和凝集反應,所以很多檢測方法不能用單克隆抗體完成。
- 單克隆抗體的反應強度不如多克隆抗體,而且產品性質也沒有多克隆抗體穩定,生產過程中,設備要求更高。




