ACTA2/ACTG2 Monoclonal Antibody
-
中文名稱:ACTA2/ACTG2鼠單克隆抗體
-
貨號:CSB-MA166134
-
規格:¥1320
-
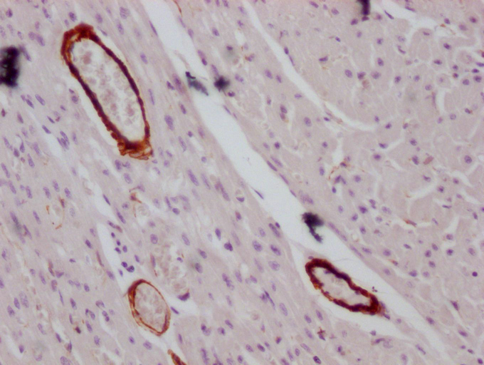
圖片:
-
IHC image of CSB-MA166134 diluted at 1:100 and staining in paraffin-embedded human heart tissue performed on a Leica BondTM system. After dewaxing and hydration, antigen retrieval was mediated by high pressure in a citrate buffer (pH 6.0). Section was blocked with 10% normal goat serum 30min at RT. Then primary antibody (1% BSA) was incubated at 4°C overnight. The primary is detected by a Goat anti-mouse IgG polymer labeled by HRP and visualized using 0.05% DAB.
-
-
其他:
產品詳情
-
產品描述:CUSABIO貨號:CSB-MA166134 ACTA2/ACTG2單克隆抗體是針對α-平滑肌肌動蛋白(ACTA2)和γ-平滑肌肌動蛋白(ACTG2)研發的高特異性科研試劑,適用于人源樣本的免疫學檢測。ACTA2作為血管平滑肌細胞標志物,參與血管收縮及細胞骨架構建,其異常表達與動脈硬化、纖維化疾病相關;ACTG2則特異性表達于內臟平滑肌,在胃腸道蠕動及膀胱功能調控中起關鍵作用。本產品采用雜交瘤技術制備,經ELISA和免疫組化(IHC)雙重驗證,能精準識別兩種異構體的保守表位,適用于體外蛋白定量檢測及組織切片中平滑肌細胞的定位研究。在科研領域可應用于血管生物學研究、消化道動力機制探索、腫瘤微環境分析等方向,為心血管疾病模型構建、纖維化病理機制解析提供可靠工具。該抗體具有批次穩定性高、種屬交叉反應低的特點,是研究平滑肌細胞分化、組織重塑及疾病相關信號通路的優選試劑。關鍵詞:ACTA2單抗、ACTG2抗體、人源ELISA試劑、免疫組化抗體、平滑肌細胞標記物、血管生物學研究。
-
Uniprot No.:
-
宿主:Mouse
-
反應種屬:Human
-
免疫原:Synthesized peptide derived from human Actin, smooth muscle (SMA)
-
免疫原種屬:Homo sapiens (Human)
-
標記方式:Non-conjugated
-
克隆類型:Monoclonal
-
抗體亞型:IgG2a, Kappa
-
純化方式:The antibody was affinity-purified from mouse ascites by affinity-chromatography using specific immunogen.
-
克隆號:27A8
-
濃度:It differs from different batches. Please contact us to confirm it.
-
保存緩沖液:Liquid in PBS containing 50% glycerol, 0.5% BSA and 0.02% sodium azide.
-
產品提供形式:Liquid
-
應用范圍:ELISA, IHC
-
推薦稀釋比:
Application Recommended Dilution IHC 1:20-1:200 -
Protocols:
-
儲存條件:Upon receipt, store at -20°C or -80°C. Avoid repeated freeze.
-
貨期:Basically, we can dispatch the products out in 1-3 working days after receiving your orders. Delivery time maybe differs from different purchasing way or location, please kindly consult your local distributors for specific delivery time.
-
用途:For Research Use Only. Not for use in diagnostic or therapeutic procedures.
Most popular with customers
-
-
YWHAB Recombinant Monoclonal Antibody
Applications: ELISA, WB, IHC, IF, FC
Species Reactivity: Human, Mouse, Rat
-
Phospho-YAP1 (S127) Recombinant Monoclonal Antibody
Applications: ELISA, WB, IHC
Species Reactivity: Human
-
-
-
-
-















