C7orf50 Monoclonal Antibody
-
中文名稱:C7orf50 Monoclonal Antibody
-
貨號:CSB-MA163123
-
規格:¥1320
-
圖片:
-
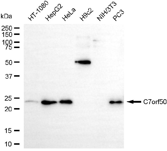
Western blotting analysis using c7orf50 antibody. Total cell lysates (30 μg) from various cell lines were loaded and separated by SDS-PAGE. The blot was incubated with c7orf50 antibody and HRP-conjugated goat anti-mouse secondary antibody respectively.
-
Western blotting analysis using C7orf50 antibody. C7orf50 expression in wild-type (WT) and C7orf50 knockdown (KD) HeLa cells with 30 μg of total cell lysates. Hsp90 α serves as a loading control. The blot was incubated with C7orf50 antibody and HRP-conjugated goat anti-mouse secondary antibody respectively.
-
-
其他:
產品詳情
-
產品名稱:Mouse anti-Homo sapiens (Human) C7orf50 Monoclonal antibody
-
Uniprot No.:
-
基因名:C7orf50
-
別名:C7orf50; Chromosome 7 Open Reading Frame 50; YCR016W; Uncharacterized Protein C7orf50; MGC11257; Cholesin
-
宿主:Mouse
-
反應種屬:Human
-
免疫原:Recombinant Human C7orf50 protein
-
免疫原種屬:Homo sapiens (Human)
-
標記方式:Non-conjugated
-
克隆類型:Monoclonal
-
抗體亞型:Mouse IgG2a
-
純化方式:Affinity-chromatography
-
克隆號:13H1
-
濃度:It differs from different batches. Please contact us to confirm it.
-
保存緩沖液:PBS (pH 7.4) containing 50% glycerol, and 0.02% sodium azide.
-
產品提供形式:Liquid
-
應用范圍:ELISA, WB
-
推薦稀釋比:
Application Recommended Dilution WB 1:400-1:2000 -
Protocols:
-
儲存條件:Upon receipt, store at -20°C or -80°C. Avoid repeated freeze.
-
貨期:Basically, we can dispatch the products out in 1-3 working days after receiving your orders. Delivery time maybe differs from different purchasing way or location, please kindly consult your local distributors for specific delivery time.
-
用途:For Research Use Only. Not for use in diagnostic or therapeutic procedures.
相關產品
Most popular with customers
-
-
YWHAB Recombinant Monoclonal Antibody
Applications: ELISA, WB, IHC, IF, FC
Species Reactivity: Human, Mouse, Rat
-
Phospho-YAP1 (S127) Recombinant Monoclonal Antibody
Applications: ELISA, WB, IHC
Species Reactivity: Human
-
-
-
-
-















