CEACAM5 Monoclonal Antibody
-
中文名稱:CEACAM5鼠單克隆抗體
-
貨號:CSB-MA995583
-
規格:¥1320
-
圖片:
-
IHC image of CSB-MA995583 diluted at 1:100 and staining in paraffin-embedded human tonsil tissue performed on a Leica BondTM system. After dewaxing and hydration, antigen retrieval was mediated by high pressure in a citrate buffer (pH 6.0). Section was blocked with 10% normal goat serum 30min at RT. Then primary antibody (1% BSA) was incubated at 4°C overnight. The primary is detected by a Goat anti-mouse IgG polymer labeled by HRP and visualized using 0.05% DAB.
-
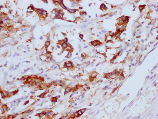
IHC image of CSB-MA995583 diluted at 1:100 and staining in paraffin-embedded human colon cancer performed on a Leica BondTM system. After dewaxing and hydration, antigen retrieval was mediated by high pressure in a citrate buffer (pH 6.0). Section was blocked with 10% normal goat serum 30min at RT. Then primary antibody (1% BSA) was incubated at 4°C overnight. The primary is detected by a Goat anti-mouse IgG polymer labeled by HRP and visualized using 0.05% DAB.
-
IHC image of CSB-MA995583 diluted at 1:100 and staining in paraffin-embedded human gastric cancer performed on a Leica BondTM system. After dewaxing and hydration, antigen retrieval was mediated by high pressure in a citrate buffer (pH 6.0). Section was blocked with 10% normal goat serum 30min at RT. Then primary antibody (1% BSA) was incubated at 4°C overnight. The primary is detected by a Goat anti-mouse IgG polymer labeled by HRP and visualized using 0.05% DAB.
-
-
其他:
產品詳情
-
產品描述:CEACAM5單克隆抗體(CUSABIO貨號:CSB-MA995583)是針對癌胚抗原相關細胞黏附分子5(CEACAM5)研發的高特異性免疫檢測試劑,該靶標作為重要的腫瘤標志物,屬于免疫球蛋白超家族成員,在正常組織中主要分布于上皮細胞表面,而在結直腸癌、胃癌、乳腺癌等多種惡性腫瘤中呈現顯著高表達,其異常表達水平與腫瘤發生、轉移及預后評估密切相關。本產品采用雜交瘤技術制備,具有高親和力與批次穩定性,經嚴格驗證適用于酶聯免疫吸附試驗(ELISA)和免疫組織化學(IHC)檢測,可精準識別人類CEACAM5抗原表位。在科研領域廣泛應用于腫瘤標志物篩選、癌細胞轉移機制研究、抗腫瘤藥物靶點驗證等方向,為構建體外腫瘤模型、分析癌變組織病理特征及開發新型生物標記物檢測方案提供可靠工具。該抗體經多批次質控確保低交叉反應性,適用于細胞裂解液、組織切片等樣本的定性及半定量分析,是癌癥基礎研究與轉化醫學領域的優選試劑。
-
產品名稱:Mouse anti-Homo sapiens (Human) CEACAM5 Monoclonal antibody
-
Uniprot No.:
-
基因名:
-
別名:Carcinoembryonic antigen antibody; Carcinoembryonic antigen-related cell adhesion molecule 5 antibody; CD66e antibody; CEA antibody; Ceacam5 antibody; CEAM5_HUMAN antibody; DKFZp781M2392 antibody; Meconium antigen 100 antibody; OTTHUMP00000199032 antibody; OTTHUMP00000199033 antibody; OTTHUMP00000199034 antibody
-
宿主:Mouse
-
反應種屬:Human
-
免疫原:Synthesized peptide derived from human carcinoembryonic antigen(CEA)
-
免疫原種屬:Homo sapiens (Human)
-
標記方式:Non-conjugated
-
克隆類型:Monoclonal
-
抗體亞型:IgG2b, Kappa
-
純化方式:The antibody was affinity-purified from mouse ascites by affinity-chromatography using specific immunogen.
-
克隆號:21C1
-
濃度:It differs from different batches. Please contact us to confirm it.
-
保存緩沖液:Liquid in PBS containing 50% glycerol, 0.5% BSA and 0.02% sodium azide.
-
產品提供形式:Liquid
-
應用范圍:ELISA, IHC
-
推薦稀釋比:
Application Recommended Dilution IHC 1:20-1:200 -
Protocols:
-
儲存條件:Upon receipt, store at -20°C or -80°C. Avoid repeated freeze.
-
貨期:Basically, we can dispatch the products out in 1-3 working days after receiving your orders. Delivery time maybe differs from different purchasing way or location, please kindly consult your local distributors for specific delivery time.
-
用途:For Research Use Only. Not for use in diagnostic or therapeutic procedures.
相關產品
靶點詳情
-
功能:Cell surface glycoprotein that plays a role in cell adhesion, intracellular signaling and tumor progression. Mediates homophilic and heterophilic cell adhesion with other carcinoembryonic antigen-related cell adhesion molecules, such as CEACAM6. Plays a role as an oncogene by promoting tumor progression; induces resistance to anoikis of colorectal carcinoma cells.; (Microbial infection) Receptor for E.coli Dr adhesins. Binding of E.coli Dr adhesins leads to dissociation of the homodimer.
-
基因功能參考文獻:
- Positive CEA mRNA in low rectal cancer is a factor that predisposes patients to a high risk for overall recurrence, especially for local recurrence. PMID: 28291565
- High carcinoembryonic antigen elevation is associated with recurrence in rectal cancer. PMID: 29774483
- CEA and CA19-9 are cancer antigens that are late markers of carcinogenesis, with significantly elevated serum concentrations in case of colon cancer with already developed metastases. Older age group of patient has significantly elevated levels of both antigens. Cancer was twice more common in men than in women. PMID: 25568506
- High CEA expression is associated with breast cancer metastasis. PMID: 29433529
- Pretreatment serum CEA levels over 30.02 ng/mL on behalf of worse characteristics and unfavourable tumor behavior, and a poor prognosis for a nearly doubled risk of mortality in gastric cancer patients. PMID: 29358864
- Elevation of CEA level was an independent risk factor for the poor prognosis of early gastric cancer. PMID: 29121872
- The elevation of serum CEA level was independent from the other tumor markers in hypohidrotic condition represented by acquired idiopathic generalized anhidrosis. PMID: 28295553
- Elevated CEA levels during targeted therapy may be a more sensitive predictor of explosive lung adenocarcinoma progression in patients harboring mutant EGFRs compared to traditional imaging methods. PMID: 28705152
- Increased CEA expression is associated with colorectal cancer. PMID: 28128739
- The detection of TK1 combined with that of cytokeratin-19 fragment (CYFRA21-1), CEA or NSE increased the diagnostic value of TK1 for lung squamous cell carcinoma, adenocarcinoma and small cell lung cancer, respectively. PMID: 29247745
- In patients with non-small-cell lung cancer treated with nivolumab, worse pretreatment performance status, and higher carcinoembryonic antigen were associated with inferior progression-free survival. PMID: 29277824
- To examine the relation of carcinoembryonic antigen (CEA) response with tumor response and survival in patients with (K)RAS wild-type metastatic colorectal cancer receiving first-line chemotherapy in the FIRE-3 trial comparing FOLFIRI plus cetuximab versus FOLFIRI plus bevacizumab PMID: 27234640
- This is the first population-based investigation of a large cohort of exclusively stage I rectal cancer patients providing compelling evidence that elevated preoperative CEA level is a strong predictor of worse overall and cancer-specific survival. PMID: 27067235
- Elevated levels of systemic IFNgamma and IL-6 implied that the CEACAM5-specific T cells had undergone immune activation in vivo but only in patients receiving high-intensity pre-conditioning. PMID: 28660319
- Combination of the two tumor markers, CEA and CYFRA21-1, is a predictive and prognostic marker of docetaxel monotherapy for previously treated NSCLC patients PMID: 28870944
- Patients with CEA-High stage I NSCLC have a higher risk of regional or systemic relapse and should be followed-up carefully. PMID: 28870949
- Postoperative CEA level >2.5 ng/ml is a predictor of distant metastasis and a negative prognostic factor for survival in rectal cancer patients who receive preoperative chemoradiotherapy and curative surgery. PMID: 27553616
- Data show that triple-negative breast cancer (TNBC) patients with pre-therapeutic serum high levels of both carcinoembryonic antigen (CEA) and cancer antigen 15-3 (CA15-3) had shorter overall survival (OS) and disease-free survival (DFS) rates than those in the low-level groups. PMID: 27561099
- Serum CEA level is not influenced by the presence of benign dominant biliary stricture or superimposed bacterial cholangitis in patients with primary sclerosing cholangitis. PMID: 27943017
- Preoperative-CEA was elevated (>/=5.0 ng/mL) in 73.6% of the colorectal cancer patients and remained elevated after surgery in 32.7% of the patients. Elevated postoperative-CA 19-9 (>/=50 U/mL) was observed in 9.5% of the patients. Neither elevated pre-CEA nor elevated pre-CA 19-9 was associated with relapse-free survival (RFS) but both elevated post-CEA and elevated post-CA 19-9 were associated with reduced RFS. PMID: 27664887
- the diagnostic sensitivity and specificity of serum reactive oxygen species modulator 1 were only 41.38% and 86.21%, respectively, with the cutoff value of 27.22 ng/mL. The sensitivity and specificity of pleural fluid carcinoembryonic antigen were 69.23% and 88.00%, respectively, at the cutoff value of 3.05 ng/mL, while serum carcinoembryonic antigen were 80.77% and 72.00% at the cutoff value of 2.60 ng/mL. PMID: 28459208
- Taken together, the results of our study identified CEACAM5 as a novel cell surface binding target of Middle East respiratory syndrome coronavirus that facilitates infection by augmenting the attachment of the virus to the host cell surface. PMID: 27489282
- Data show that carcinoembryonic antigen (CEA) modestly differentiated between mucinous and nonmucinous lesions, and amylase did not distinguish intraductal papillary mucinous neoplasms (IPMNs) from mucinous cystadenomas (MCAs). PMID: 26646270
- In this study, we detected the tumor marker carcinoembryonic antigen (CEA) using the QD-LFTS system, which allowed quantitative analysis in the range of 1-100ng/mL with an ideal detection limit of 0.049ng/mL. Thus, the system is suitable for detecting CEA in the clinically accepted range. We also detected 70 positive and 30 negative serum samples using the Handing system, which exhibited good specificity and sensitivity. PMID: 27825889
- As a proof-of-concept study, the constructed platform exhibits good specificity for CEA and the detection limit reaches as low as 8pg/mL (45 fM) with a wide linear range from 0.01 to 60ng/mL in the both cases PMID: 27886601
- Under the optimal conditions, the proposed immunosensor was used for the detection of CEA with wide dynamic range in the range from 5 fg/mL to 50ng/mL with a low detection limit of 2fg/mL (S/N=3). PMID: 27871047
- Relative CL intensity of all-in-one dual-aptasensor, operated with the competitive reaction of CEA and hemin in the presence of the dual aptamer, was exponentially decreased with the increase of CEA concentration in human serum PMID: 27875751
- Data indicate that serum tumor markers showed significant shorter 3-year progression-free survival (PFS) in higher levels compared to lower levels for S-CYFRA 21-1 (cytokeratin 19 fragment), S-SCCA and S-CEA. PMID: 26432331
- Multivariate logistic regression analysis revealed TC and DeltaCEA as independent factors in predicting TRG; TC showed a sensitivity of 62.79 %, a specificity of 91.49 %, a Youden index of 0.543, a cutoff value of 5.52, and an AUC of 0.800 compared with DeltaCEA (sensitivity 76.74 %, specificity 65.96 %, Youden index 0.427, and AUC 0.761). PMID: 26531721
- Data suggest that joint detection of receptor-binding cancer antigen expressed on SiSo cells (RCAS1) and carcinoembryonic antigen (CEA) can improve the diagnostic sensitivity and specificity. PMID: 26438059
- High CEA level is associated with Oral Squamous Cell Carcinoma. PMID: 27165212
- High CEA expression is associated with metastasis and recurrence in endometrial cancer. PMID: 26779635
- ZKSCAN3 appears to promote colorectal tumor progression and invasion. ZKSCAN3 may facilitate hepatic metastasis of CRC associated with CEA particularly in cases with CEA-producing tumor PMID: 27127149
- we evaluated the clinical performance of LOCItrade mark-based tumor marker assays CEA, CA19-9, CA15-3, CA125 and AFP in patients with gastrointestinal cancer and demonstrated their high diagnostic power PMID: 28011514
- High carcinoembryonic Antigen expression is associated with gastric cancer. PMID: 25124614
- High CEA expression is associated with Squamous cell carcinoma of the skin. PMID: 27039776
- Preparation of Au-polydopamine functionalized carbon encapsulated FeO magnetic nanocomposites and their application for ultrasensitive detection of carcino-embryonic antigen. PMID: 26868035
- Elevated Carcinoembryonic Antigen Levels are associated with Colon Cancer. PMID: 26759308
- Baseline serum CEA levels can serve as predictive factors for the treatment of EGFR-TKI in non-small cell lung cancer patients harboring EGFR mutations. PMID: 27072247
- BALF and serum NSE, CEA, and CYFRA21.1 elevated in lung cancer, which had prompt value for pathology, especially significant for BALF. PMID: 27072263
- Significant levels of CEA, CYFRA 21-1, NSE, and TSGF were detected in the serum. The amounts found were useful for diagnosing non-small cell lung cancer (NSCLC) patients who depended on the currently limited biomarker development. PMID: 27072222
- We conclude that patients with high preoperative serum CEA levels should have more intensive follow-up for detection of synchronous liver metastasis. PMID: 26756614
- Elevated CEA expression is associated with Gastric Cancer. PMID: 26620645
- CEA, NSE, CA125 and pro-GRP could serve as biomarkers for SCLC, and CEA and CYFRA21-1 could serve as biomarkers for NSCLC. Pro-GRP, CA125 and CEA were related to the clinical stages of lung cancer PMID: 26560853
- In this phase I/II study, 14 high-risk disease-free ovarian (OC) and breast cancer (BC) patients after completion of standard therapies were vaccinated with MUC1, ErbB2 and carcinoembryonic antigen (CEA) HLA-A2+-restricted peptides and Montanide. PMID: 26892612
- combined pre-chemoradiotherapy CEA and post-chemoradiotherapy CEA levels enable more accurate prediction of rectal adenocarcinoma prognosis PMID: 26962798
- ESCC patients with lower Cyfra21-1 and CEA, higher miR-7 and severe myelosuppression were much more sensitive to CRT. PMID: 26708917
- Cyst fluid CEA levels have a clinically suboptimal accuracy level in differentiating pancreatic mucinous cystic neoplasms from pancreatic nonmucinous cystic neoplasms. PMID: 26077458
- High carcinoembryonic antigen expression is associated with Colon Adenomas. PMID: 27100181
- Serum CYFRA21-1 and CEA can be used as prognostic factors of NSCLC patients. Combinative detection of the two indices will be more reliable. PMID: 26333429
顯示更多
收起更多
-
亞細胞定位:Cell membrane; Lipid-anchor, GPI-anchor. Apical cell membrane. Cell surface.
-
蛋白家族:Immunoglobulin superfamily, CEA family
-
組織特異性:Expressed in columnar epithelial and goblet cells of the colon (at protein level). Found in adenocarcinomas of endodermally derived digestive system epithelium and fetal colon.
-
數據庫鏈接:
Most popular with customers
-
YWHAB Recombinant Monoclonal Antibody
Applications: ELISA, WB, IHC, IF, FC
Species Reactivity: Human, Mouse, Rat
-
Phospho-YAP1 (S127) Recombinant Monoclonal Antibody
Applications: ELISA, WB, IHC
Species Reactivity: Human
-
-
-
-
-
-















