ENG Monoclonal Antibody
-
中文名稱:ENG鼠單克隆抗體
-
貨號:CSB-MA294403
-
規格:¥1320
-
圖片:
-
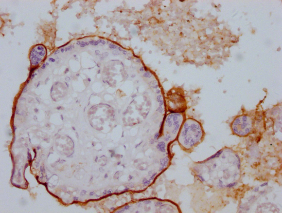
IHC image of CSB-MA294403 diluted at 1:100 and staining in paraffin-embedded human placenta tissue performed on a Leica BondTM system. After dewaxing and hydration, antigen retrieval was mediated by high pressure in a citrate buffer (pH 6.0). Section was blocked with 10% normal goat serum 30min at RT. Then primary antibody (1% BSA) was incubated at 4°C overnight. The primary is detected by a Goat anti-mouse IgG polymer labeled by HRP and visualized using 0.05% DAB.
-
-
其他:
產品詳情
-
產品描述:ENG(Endoglin)是一種在血管內皮細胞中高表達的跨膜糖蛋白,作為TGF-β信號通路的核心輔助受體,在調控血管生成、組織修復及炎癥反應中發揮關鍵作用,其異常表達與實體瘤血管增生、遺傳性出血性毛細血管擴張癥(HHT)及先兆子癇等疾病密切相關。本產品CUSABIO貨號:CSB-MA294403為重組人源ENG單克隆抗體,采用哺乳動物表達系統制備,經ELISA和免疫組化(IHC)雙重平臺驗證,具有高親和力與特異性,可精準識別天然構象的ENG蛋白。該抗體適用于體外檢測可溶性ENG蛋白的ELISA定量分析,以及石蠟包埋組織切片中ENG的定位與表達水平研究,為腫瘤血管靶向治療、心血管疾病機制探索及HHT分子診斷模型構建提供可靠工具。作為科研級單抗,其批次穩定性優異,適配多種樣本處理條件,廣泛應用于腫瘤微環境研究、內皮細胞功能調控實驗及病理學分子標記物檢測領域,是血管生物學和轉化醫學研究的優選試劑。關鍵詞:ENG單克隆抗體、Endoglin檢測試劑、人源重組抗體、血管生成研究、IHC/ELISA抗體、腫瘤微環境分析。
-
產品名稱:Mouse anti-Homo sapiens (Human) ENG Monoclonal antibody
-
Uniprot No.:
-
基因名:
-
別名:ENG; END; Endoglin; CD antigen CD105
-
宿主:Mouse
-
反應種屬:Human
-
免疫原:Synthesized peptide derived from human CD105(Endoglin)
-
免疫原種屬:Homo sapiens (Human)
-
標記方式:Non-conjugated
-
克隆類型:Monoclonal
-
抗體亞型:IgG2b, Kappa
-
純化方式:The antibody was affinity-purified from mouse ascites by affinity-chromatography using specific immunogen.
-
克隆號:2G7
-
濃度:It differs from different batches. Please contact us to confirm it.
-
保存緩沖液:Liquid in PBS containing 50% glycerol, 0.5% BSA and 0.02% sodium azide.
-
產品提供形式:Liquid
-
應用范圍:ELISA, IHC
-
推薦稀釋比:
Application Recommended Dilution IHC 1:20-1:200 -
Protocols:
-
儲存條件:Upon receipt, store at -20°C or -80°C. Avoid repeated freeze.
-
貨期:Basically, we can dispatch the products out in 1-3 working days after receiving your orders. Delivery time maybe differs from different purchasing way or location, please kindly consult your local distributors for specific delivery time.
-
用途:For Research Use Only. Not for use in diagnostic or therapeutic procedures.
相關產品
靶點詳情
-
功能:Vascular endothelium glycoprotein that plays an important role in the regulation of angiogenesis. Required for normal structure and integrity of adult vasculature. Regulates the migration of vascular endothelial cells. Required for normal extraembryonic angiogenesis and for embryonic heart development. May regulate endothelial cell shape changes in response to blood flow, which drive vascular remodeling and establishment of normal vascular morphology during angiogenesis. May play a critical role in the binding of endothelial cells to integrins and/or other RGD receptors. Acts as TGF-beta coreceptor and is involved in the TGF-beta/BMP signaling cascade that ultimately leads to the activation of SMAD transcription factors. Required for GDF2/BMP9 signaling through SMAD1 in endothelial cells and modulates TGFB1 signaling through SMAD3.
-
基因功能參考文獻:
- Increased cord blood soluble endoglin is associated with the development of severe or moderate bronchopulmonary dysplasia in preterm infants with maternal preeclampsia. PMID: 30177044
- ENG, ACVRL1, and SMAD4 mutations result in different phenotypes in hereditary hemorrhagic telangiectasia PMID: 30251589
- High expression of CD105 is associated with Oral Invasive Carcinomas. PMID: 30049191
- The role of CD34 in determining the premalignant nature of ral submucous fibrosis (OSF) could not be ascertained, since all endothelial cells were positive for CD34, whereas CD105 appeared to be more specific as it is associated with hypoxia-induced angiogenesis which is occurring in OSF due to hyalinization suggesting, CD105 to be more specific marker to determine neoangiogenesis in OSF PMID: 30197335
- Data show that the extracellular domain of endoglin promotes specific platelet adhesion. PMID: 29080903
- ENG mutation carriers were more likely than ACVRL1 mutation carriers to have pAVMs (P < 0.001) or multiple lesions (P = 0.03), and to undergo procedural intervention (P = 0.02). The HHT severity score was significantly higher in ENG than in ACVRL1 (P = 0.02). PMID: 29048420
- Increased CD105 expression is associated with disease progression in phyllodes tumors PMID: 29414396
- A heterozygous genetic variant, c.704dupC; p.Val236Glyfs*98, was identified in the ENG gene. The variant c.704dupC was not previously described in the HHT Mutations Database PMID: 29243366
- Endoglin levels are changed after stroke. PMID: 29287901
- we found significant correlation with CD105 and survival rate of the patient. Similar correlation was found between histological grades and TNM staging in CD105. High expression was associated with low survival; whereas no significant correlation was found with expression of VEGF with survival, also with TNM staging and histological grading. PMID: 29516931
- CD105 expression was associated with more aggressive tumor behavior, more advanced disease, and worse prognosis in clear cell renal cell carcinoma PMID: 29286924
- Data indicate that in pancreatic cancer cells, the expression of ENG may be controlled by a pathway mediated by SMAD4. In addition, ENG was found to be related to the spheroid-forming ability of cells and to be involved in the invasive capacity of pancreatic cancer cells. PMID: 29393426
- CD105 is expressed on endothelial cells of rhabdomyosarcoma and represent a useful tool to quantify neovascularization in this tumor. If confirmed by further studies, these results will indicate that CD105 is a potential target for combined therapies in rhabdomyosarcoma. PMID: 29304781
- The increase in TGF-beta3 found in inflammatory wound healing (WF) highlights its negative effect on wound healing, while the increased levels of sEng in granulating WF affects the leukocyte adhesion/transmigration through the endothelium, reducing the inflammatory response and favoring the wound healing. PMID: 29065449
- Soluble endoglin level could serve as a determinant of walking abilities change after supervised treadmill training program in patients with peripheral artery disease. PMID: 28735679
- serum level elevated in pre-eclampsia, not significantly affected by HIV status PMID: 28627965
- high serum level at 26-31 weeks of gestational was a risk factor for a small-for-gestational-age infant at 35-41 weeks PMID: 28613009
- In primary hip OA, angiogenesis may be induced by a combined mechanism: hypoxia-related VEGF-dependent vasculogenesis and endothelial differentiation of the activated pluripotent cells, which are released from the hyperplastic synovial cells layer. An endothelial mesenchymal transition is assumed to be involved in the fibrotic process PMID: 27704157
- we showed that Endoglin (CD105) expression not only demarcates a cancer stem cell subpopulation but also confers self-renewal ability and contributes to chemoresistance in RCC. PMID: 28793246
- In patients with hypertensive disorders of pregnancy, those in the highest tertile of mean arterial pressure had the highest serum levels of sFlt1 and sEng. PMID: 28609171
- BMP9 interacts with a hydrophobic surface of the N-terminal orphan domain of ENG, which adopts a new duplicated fold generated by circular permutation. PMID: 28564608
- Tale of Two Endoglins: How Does Tail-Less Soluble Endoglin Deregulate Lung Development PMID: 28960105
- The variant lies in a novel binding-site for the transcription factor Sp1, known to be involved in the regulation of ENG and ACVRL1 transcription. PMID: 29305977
- Mobilization of the CD44/CD105 positive synovial cells seems to play a role in the genesis of hip osteoarthritis. PMID: 27803113
- Circulating tissue transglutaminase is associated with sFlt-1, soluble endoglin and VEGF in the maternal circulation of preeclampsia patients, suggesting that tTG may have a role in the pathogenesis of PE. PMID: 27169826
- Altered antiangiogenic state because of altered circulating sEng leads to Preeclampsia. PMID: 27067718
- Gestation-adjusted sEng, sFlt-1 and PlGF levels were 11%, 36%, and 30%, respectively, lower in women who later suffered miscarriage compared with unaffected pregnancies PMID: 27664209
- this meta-analysis demonstrated that CD105 overexpression correlates to higher WHO grade and poor survival. PMID: 26884265
- Nuclear survivin expression correlates with endoglin-assessed microvascularisation in laryngeal squamous cell carcinoma. PMID: 28446541
- Dendritic-cells loaded with lysates derived from CD105+ human renal cell carcinoma cancer stem cells (CSCs) induced more functionally specific active T cells and specific antibodies against CSCs, and clearly depressed the tumor growth in mice. PMID: 28621442
- Report no relationship between serum endoglin levels and ovarian cancer microvessel density and tumor endoglin expression. PMID: 27312585
- TGF-beta type I, II, and III receptors were all identified in pregnant serum; all were substantially elevated in early-onset but not late-onset PE. Endoglin was increased in both subtypes. PMID: 28633389
- Study described present a series of pulmonary arterial hypertension patients with mutations in the ENG gene, some of them not previously described, exhibiting clinical and hemodynamic alterations. These results suggest the presence of these mutations may be associated with the severity of the disease. PMID: 27260700
- CD105(+) blasts are endowed with superior leukemogenic activity compared with the CD105(-) population. PMID: 28351936
- Several germline variants in Hamartomatous Polyposis Syndrome genes were detected, among them three in ENG, two in BMPR1A, one in PTEN, and one in SMAD4. Although some of the detected variants have been reported previously none could be definitely pathogenic or likely pathogenic. PMID: 27146957
- 9q33.3q34.11 microdeletion including ENG gene identified in four patients with intellectual disability, epilepsy, nail dysplasia and bone malformations. PMID: 26395556
- Endoglin has an important role in VSMC recruitment and blood vessel maturation during angiogenesis. PMID: 28450296
- Plasma sEng levels were low in patients with coronary artery disease, especially 3-vessel disease, and were inversely associated with the severity of coronary atherosclerosis. PMID: 27789477
- Soluble endoglin did not vary over the pregnancy course or between gestational hypertension, preeclampsia, and control groups. PMID: 27793555
- Serum and placental LXR-alpha and endoglin levels were significantly higher in patients with preeclampsia than those in control group (P<0.05, each). PMID: 27736929
- High concentrations of sEng in plasma in combination with a high-fat diet induce the simultaneous activation of proinflammatory, pro-oxidative and vasoprotective mechanisms in mice aorta and the balance of these biological processes determines whether the final endothelial phenotype is adaptive or maladaptive. PMID: 27721318
- Our findings suggest a stronger chondrogenic potential of CD105(+) SMSCs in comparison to that of CD105(-) SMSCs and that CD105 enhances chondrogenesis of SMSCs by regulating TGF-beta/Smad2 signaling pathway, but not Smad1/5. Our study provides a better understanding of CD105 with respect to chondrogenic differentiation. PMID: 27107692
- The novel ENG c.-58G/A substitution in the Endoglin promoter co-segregates with Hereditary hemorrhagic telangiectasia symptoms in a family and appears to affect the transcriptional regulation of the gene, resulting in reduced Endoglin expression. PMID: 28231770
- sEng treatment resulted in an activation of NF-kappaB, IL-6, suggesting activation of pro-inflammatory phenotype in endothelial cells. PMID: 28336397
- In adolescents with type 1 diabetes mellitus (T1DM), soluble endoglin concentrations might increase in parallel to the deterioration in endothelial function before subclinical structural vascular alterations. PMID: 27097763
- Akt level was reduced in preeclamptic placentas relative to preterm control. Inhibition of PI3K/Akt resulted in significantly elevated soluble endoglin release from endothelial cells, had no effect on MMP14 mRNA expression but resulted in significantly reduced TIMP3. In contrast inhibiting PI3K/Akt in placental explants or primary trophoblast did not change soluble endoglin release. PMID: 27155335
- serum level associated with severity of gestational hypertension and pre-eclampsia PMID: 28121958
- the TGFbeta1 coreceptor Eng selectively regulates expression of multiple transient receptor potential channels in the setting of left or right ventricular pressure overload PMID: 27614169
- Increased ENG gene expression is associated with the Risk of Hepatocellular Carcinoma. PMID: 27268609
- higher level of circulating CD105 is related to adverse pathological features among patients with oral squamous cell carcinoma PMID: 26334621
顯示更多
收起更多
-
相關疾病:Telangiectasia, hereditary hemorrhagic, 1 (HHT1)
-
亞細胞定位:Cell membrane; Single-pass type I membrane protein.
-
組織特異性:Detected on umbilical veil endothelial cells. Detected in placenta (at protein level). Detected on endothelial cells.
-
數據庫鏈接:
Most popular with customers
-
-
YWHAB Recombinant Monoclonal Antibody
Applications: ELISA, WB, IHC, IF, FC
Species Reactivity: Human, Mouse, Rat
-
Phospho-YAP1 (S127) Recombinant Monoclonal Antibody
Applications: ELISA, WB, IHC
Species Reactivity: Human
-
-
-
-
-















