EPCAM Monoclonal Antibody
-
中文名稱:EPCAM鼠單克隆抗體
-
貨號:CSB-MA221818
-
規格:¥1320
-
圖片:
-
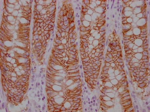
IHC image of CSB-MA221818 diluted at 1:100 and staining in paraffin-embedded human colon cancer performed on a Leica BondTM system. After dewaxing and hydration, antigen retrieval was mediated by high pressure in a citrate buffer (pH 6.0). Section was blocked with 10% normal goat serum 30min at RT. Then primary antibody (1% BSA) was incubated at 4°C overnight. The primary is detected by a Goat anti-mouse IgG polymer labeled by HRP and visualized using 0.05% DAB.
-
-
其他:
產品詳情
-
產品描述:EPCAM單克隆抗體(CUSABIO貨號:CSB-MA221818)是針對上皮細胞粘附分子研發的高特異性科研試劑,適用于人源樣本的ELISA和免疫組化(IHC)實驗。EPCAM作為跨膜糖蛋白在維持上皮細胞結構完整性和細胞間信號傳導中發揮重要作用,其異常表達與乳腺癌、結直腸癌等多種上皮源性腫瘤的發生發展密切相關,是腫瘤干細胞標志物研究的熱點靶標。本產品采用雜交瘤技術制備,經嚴格質控驗證具有優異的抗原結合能力,在1:1000稀釋比下仍能保持穩定的檢測靈敏度,特別適用于體外培養腫瘤細胞表面標記物檢測、腫瘤微環境研究及抗癌藥物作用機制探索等科研場景。通過免疫組化技術可清晰呈現石蠟包埋組織切片中EPCAM的定位表達特征,為腫瘤分子分型、轉移機制研究及生物標志物篩選提供可靠工具。該抗體與常見實驗體系兼容性良好,已成功應用于多種腫瘤模型的靶點驗證實驗,為癌癥基礎研究和轉化醫學提供優質試劑支持。
-
產品名稱:Mouse anti-Homo sapiens (Human) EPCAM Monoclonal antibody
-
Uniprot No.:
-
基因名:
-
別名:17 1A antibody; 323/A3 antibody; Adenocarcinoma associated antigen antibody; Adenocarcinoma-associated antigen antibody; Antigen identified by monoclonal antibody AUA1 antibody; AUA1 antibody; CD326 antibody; CD326 antigen antibody; Cell surface glycoprotein Trop 1 antibody; Cell surface glycoprotein Trop 2 antibody; Cell surface glycoprotein Trop-1 antibody; CO 17A antibody; CO17 1A antibody; CO17A antibody; DIAR5 antibody; EGP 2 antibody; EGP antibody; EGP2 antibody; EGP314 antibody; EGP40 antibody; Ep CAM antibody; Ep-CAM antibody; EPCAM antibody; EPCAM_HUMAN antibody; EpCAM1 antibody; Epithelial cell adhesion molecule antibody; Epithelial Cell Adhesion Molecule Intracellular Domain (EpCAM-ICD) antibody; Epithelial cell surface antigen antibody; Epithelial cellular adhesion molecule antibody; Epithelial glycoprotein 1 antibody; Epithelial glycoprotein 314 antibody; Epithelial glycoprotein antibody; ESA antibody; GA733 1 antibody; GA733 2 antibody; GA733-2 antibody; gastrointestinal tumor-associated antigen 2; 35-KD glycoprotein antibody; gp4 antibody; hEGP 2 antibody; hEGP314 antibody; HNPCC8 antibody; Human epithelial glycoprotein 2 antibody; KS 1/4 antigen antibody; KS1/4 antibody; KSA antibody; Ly74 antibody; Lymphocyte antigen 74 antibody; M1S 1 antibody; M1S2 antibody; M4S1 antibody; Major gastrointestinal tumor associated protein GA733 2 antibody; Major gastrointestinal tumor-associated protein GA733-2 antibody; mEGP314 antibody; Membrane component chromosome 4 surface marker (35kD glycoprotein) antibody; Membrane component; chromosome 4; surface marker 1 antibody; Membrane component; chromosome 4; surface marker antibody; MIC18 antibody; MK 1 antibody; Protein 289A antibody; TACD1 antibody; TACSTD1 antibody; TROP1 antibody; Tumor associated calcium signal transducer 1 antibody; Tumor associated calcium signal transducer 2 precursor antibody; Tumor-associated calcium signal transducer 1 antibody
-
宿主:Mouse
-
反應種屬:Human
-
免疫原:Synthesized peptide derived from human Ep-CAM
-
免疫原種屬:Homo sapiens (Human)
-
標記方式:Non-conjugated
-
克隆類型:Monoclonal
-
抗體亞型:IgG
-
純化方式:The antibody was affinity-purified from mouse ascites by affinity-chromatography using specific immunogen.
-
克隆號:8B5
-
濃度:It differs from different batches. Please contact us to confirm it.
-
保存緩沖液:Liquid in PBS containing 50% glycerol, 0.5% BSA and 0.02% sodium azide.
-
產品提供形式:Liquid
-
應用范圍:ELISA, IHC
-
推薦稀釋比:
Application Recommended Dilution IHC 1:20-1:200 -
Protocols:
-
儲存條件:Upon receipt, store at -20°C or -80°C. Avoid repeated freeze.
-
貨期:Basically, we can dispatch the products out in 1-3 working days after receiving your orders. Delivery time maybe differs from different purchasing way or location, please kindly consult your local distributors for specific delivery time.
-
用途:For Research Use Only. Not for use in diagnostic or therapeutic procedures.
相關產品
靶點詳情
-
功能:May act as a physical homophilic interaction molecule between intestinal epithelial cells (IECs) and intraepithelial lymphocytes (IELs) at the mucosal epithelium for providing immunological barrier as a first line of defense against mucosal infection. Plays a role in embryonic stem cells proliferation and differentiation. Up-regulates the expression of FABP5, MYC and cyclins A and E.
-
基因功能參考文獻:
- This study demonstrated a new approach using a combination of EpCAM and FRalpha as CTC-capture targets to increase the sensitivity of CTC detection in NSCLC efficiently, specifically, and quickly. PMID: 29352248
- Functions of EpCAM in physiological processes and diseases (Review). PMID: 30015855
- Our results suggest that GA733-2-Fc conjugated to ER-retention motif KDEL is a more efficient antigen to prevent tumor growth induced by colorectal carcinoma and minimize an allergic response. PMID: 30249898
- extracellular vesicles tend to localize in the intestinal tract associated with epithelial cell adhesion molecule PMID: 27721471
- Overexpression of EpCAM and melan-A is associated with malignant melanoma. PMID: 29076925
- Quercetin suppressed breast cancer stem cell proliferation, self-renewal, and invasiveness. It also lowered the expression levels of proteins related to tumorigenesis and cancer progression, such as aldehyde dehydrogenase 1A1, C-X-C chemokine receptor type 4, mucin 1, and epithelial cell adhesion molecules. PMID: 29353288
- Adenocarcinomas showed significantly higher staining scores of both VEGF and alphaSMA than squamous cell carcinomas did. In 42 cases of high CD31 score, five-year survival rate (87%) of patients with lung cancer showing mature tumor vessels was significantly better than that (69%) of patients with immature tumor vessels PMID: 29970536
- New EPCAM founder deletion causing Lynch Syndrome has been described in Polish population. PMID: 28369810
- The novel and updated insights in the EpCAM field by simplifying the understanding of the biological role of this fascinating molecule, and by showing the promising therapeutic tools that have been developed by various approaches which use antibodies and vaccines for different cancer types for the clear purpose of improving patient outcome. [review] PMID: 29759567
- This is the first demonstration that the low sensitivity of CellSearch(R) to detect circulating tumor cells in colorectal cancer patients is not due to the lack of EpCAM PMID: 28604994
- Findings indicate that epithelial cell adhesion molecule (EpCAM) can be used as an additional distinction-marker for cystic lesions of the sellar region. PMID: 27431859
- Data indicate that epithelial cell adhesion molecule (EpCAM) show high tumor distinctiveness. PMID: 28820475
- Low expressions of Oct4-EpCAM in IHC and CD133 in qPCR may reveal roles in gastric cancer PMID: 27557490
- EpCAM expression contributes to tumor resistance to chemotherapy in patients with ovarian cancer. PMID: 28574829
- The present findings suggest that Ep-CAM expression may be associated with CRC carcinogenesis, while the loss of Ep-CAM expression is correlated with the progression, metastasis, and poor prognosis of CRC. Ep-CAM expression may be a useful biomarker for the clinical diagnosis of CRC. PMID: 28558958
- the present study identified a positive correlation between EpCAM and COX-2 expression in breast cancer cell lines and tissue specimens. EpCAM and COX-2 were associated with the prognosis of breast cancer patients. PMID: 28393249
- CD133+ cells were genetically heterogeneous among patients without any defined profile compared to CD133-/EpCAM+ cells. PMID: 28347289
- Combining the targets E-cadherin, epithelial membrane antigen (EMA), human epidermal growth receptor type 2 (Her2/neu), carcinoembryonic antigen (CEA) resulted in nearly 100% detection of ductal ovarian metastases, whereas the combination of EMA, Her2/neu and epithelial cell adhesion molecule (EpCAM) was most suitable to detect lobular ovarian metastases. PMID: 28327103
- Whole-genome sequencing identified the homozygous intronic variant EPCAM c.556-14A>G, considered explanatory for the patient's intractable diarrhea and providing a diagnosis of congenital tufting enteropathy. PMID: 28701297
- Low EPCAM expression is associated with colorectal carcinoma. PMID: 26528695
- Our study provided clinical evidence for EpCAM intracellular domain as a predictor of cancer development in patients with oral dysplasia and recurrence in oral squamous cell carcinoma patients PMID: 27421772
- Elevated epithelial cell adhesion molecule EpCAM (mRNA+) CTC and Treg/CD4(+) levels were associated with early recurrence of hepatocellular carcinoma (HCC), indicative of poor clinical outcome. PMID: 27439521
- Observations provide important insights into the regulation of EpCAM expression during EMT, demonstrate an unexpected role for EpCAM in the regulation of ERK and define a novel double-negative feedback loop between EpCAM and ERK that contributes to the regulation of EMT. PMID: 28192403
- This study shows the potential of an EpCAM specific NIR-fluorescent agent in combination with a clinically validated intraoperative imaging system to visualize various tumours during surgery. PMID: 27842504
- The studies identified the characteristics and function of EpCAM glycosylation sites on breast cancer cell adhesion. PMID: 28315854
- These results identify EpCAM as a substrate of matriptase and link HAI-2, matriptase, EpCAM, and claudin-7 in a functionally important pathway that causes disease when it is dysregulated. PMID: 28094766
- The EpCAM aptamer conjugated NCS showed specificity to EpCAM-positive cells. PMID: 28668853
- Pseudomyxoma peritonei ubiquitously express CEA and EpCAM. PMID: 27038681
- relationship between EpCAM-regulated transcription and altered biophysical properties of cells that promoteepithelial-mesenchymal transition (EMT) in advanced endometrial cancer. PMID: 27569206
- used a next generation sequencing (NGS) approach. NY-SAR-35 expression induced growth, proliferation, metastasis, and stemness genes, as indicated by the up-regulations of CXCR4, EpCAM, CD133, and CD44, at the mRNA and protein levels PMID: 28126340
- These results indicate that adipocyte-secreted factors might regulate cancer stem cell behavior through several signaling molecules including c-Met, STAT3 and ERK1/2 and inhibition of these signaling pathways offer novel strategies in targeting the effect of adipose-derived cytokines in cancer. PMID: 27131739
- The meta-analysis demonstrated that the expression of EpCAM in the gastric cancer group was greater than that in the control group. Moreover, EpCAM overexpression was associated with larger tumour size, lymphnode metastasis and worse prognosis in gastric cancer. [review] PMID: 28403178
- expression of EpCAM(MT) is associated with a more aggressive phenotype and predicts poor survival in patients with colorectal cancer. PMID: 26996277
- Higher levels of epithelial cell adhesion molecule (EpCAM) in breast cancer may be associated with poor response to Neoadjuvant chemotherapy (NAC) via a potential chemoresistant effect. PMID: 27041736
- By monitoring the change of fluorescence signal, the target EpCAM protein could be detected sensitively and selectively with a linear detection range from 3nM to 54nM and limit of detection (LOD) around 450pM. In addition, this nanobiosensor has been successfully used for EpCAM-expressed breast cancer MCF-7 cell detection PMID: 27614683
- EpCAM, CD44 and CD133 expression could be candidate markers for Barrett esophagus disease progression PMID: 28216140
- These findings are important for a better understanding of epithelial cell adhesion molecule apoptosis regulation and suggest epithelial cell adhesion molecule as a potential target for the treatment of breast cancer. PMID: 28349835
- that epithelial cell adhesion molecule showed different expression pattern among salivary gland neoplasms and in different grades of mucoepidermoid carcinomas PMID: 27649957
- we concluded that the peptide could be a better supplement to the EpCAM antibody for capturing Circulating tumor cells (CTCs) in microfluidic system with broader spectrum PMID: 27818051
- This study presented a molecular characterization of congenital tufting enteropathy Italian patients, and identified three mutations in the EpCAM gene PMID: 26684320
- EpCAM serves as a potential biomarker of prognostic significance that could be used to identify oral squamous cell carcinoma patients at high risk and to predict patient survival PMID: 26401964
- Findings show that the EGF-like domain of EpCAM is cleaved off in cancer cells which have undergone epithelial-mesenchymal transition. PMID: 26775583
- Based on these results, it can be concluded that EpCAM is suitable for use as an EC biomarker, therapeutic target, and effective parameter for tumor transfer and prognosis evaluation by aptamer SYL3C staining PMID: 26687301
- CHD4 was abundantly expressed in EpCAM(+) hepatocellular carcinoma with expression of hepatic stem cell markers and poor prognosis in two independent cohorts. PMID: 26095183
- Flow cytometry assay showed doxorubicin exposure decreased EpCAM positive cell quantities in three HCC cell lines. EpCAM siRNA knock-down attenuated cell mortality after doxorubicin exposure PMID: 26984381
- EpCAM based capture detects and recovers circulating tumor cells from all subtypes of breast cancer except those low claudin expression. PMID: 26556851
- Increased Expression of EPCAM mRNA is associated with Recurrence After Curative Resection of Hepatocellular Carcinoma. PMID: 25791790
- We revealed a new molecular mechanism of MTA1-mediated invasion and metastasis in lung cancer through downstream target EpCAM, and interfering with EpCAM function may be a novel therapeutic strategy for treatment of MTA1-overexpressing lung carcinoma PMID: 26698569
- knockdown of EpCAM can inhibition breast cancer cell growth and metastasis via inhibition of the Ras/Raf/ERK signaling pathway and MMP-9 PMID: 26356670
- Results indicate that the anti-epithelial cell adhesion molecule (EpCAM) monoclonal antibodie can potentially be used for cancer-targeted therapy. PMID: 26317650
顯示更多
收起更多
-
相關疾病:Diarrhea 5, with tufting enteropathy, congenital (DIAR5); Hereditary non-polyposis colorectal cancer 8 (HNPCC8)
-
亞細胞定位:Lateral cell membrane; Single-pass type I membrane protein. Cell junction, tight junction.
-
蛋白家族:EPCAM family
-
組織特異性:Highly and selectively expressed by undifferentiated rather than differentiated embryonic stem cells (ESC). Levels rapidly diminish as soon as ESC's differentiate (at protein levels). Expressed in almost all epithelial cell membranes but not on mesodermal
-
數據庫鏈接:
Most popular with customers
-
YWHAB Recombinant Monoclonal Antibody
Applications: ELISA, WB, IHC, IF, FC
Species Reactivity: Human, Mouse, Rat
-
Phospho-YAP1 (S127) Recombinant Monoclonal Antibody
Applications: ELISA, WB, IHC
Species Reactivity: Human
-
-
-
-
-
-















