OCT4 Monoclonal Antibody
-
中文名稱:OCT4鼠單克隆抗體
-
貨號:CSB-MA018403A0m
-
規格:¥1320
-
圖片:
-
Western Blot
Positive WB detected in: HepG2 whole cell lysate
All lanes: OCT4 antibody at 1:500
Secondary
Goat polyclonal to Mouse IgG at 1/10000 dilution
Predicted band size: 39, 31 kDa
Observed band size: 45 kDa -
Western Blot
Positive WB detected in: Mouse brain tissue, Rat brain tissue
All lanes: OCT4 antibody at 1:1000, 1:5000, 1:8000
Secondary
Goat polyclonal to Mouse IgG at 1/10000 dilution
Predicted band size: 39, 31 kDa
Observed band size: 45 kDa -
IHC image of CSB-MA018403A0m diluted at 1:100 and staining in paraffin-embedded human lung cancer performed on a Leica BondTM system. After dewaxing and hydration, antigen retrieval was mediated by high pressure in a citrate buffer (pH 6.0). Section was blocked with 10% normal goat serum 30min at RT. Then primary antibody (1% BSA) was incubated at 4°C overnight. The primary is detected by a biotinylated secondary antibody and visualized using an HRP conjugated SP system.
-
IHC image of CSB-MA018403A0m diluted at 1:100 and staining in paraffin-embedded human testis tissue performed on a Leica BondTM system. After dewaxing and hydration, antigen retrieval was mediated by high pressure in a citrate buffer (pH 6.0). Section was blocked with 10% normal goat serum 30min at RT. Then primary antibody (1% BSA) was incubated at 4°C overnight. The primary is detected by a biotinylated secondary antibody and visualized using an HRP conjugated SP system.
-
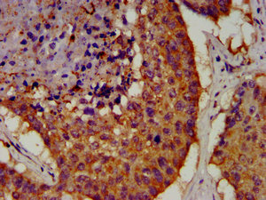
IHC image of CSB-MA018403A0m diluted at 1:100 and staining in paraffin-embedded human colon cancer performed on a Leica BondTM system. After dewaxing and hydration, antigen retrieval was mediated by high pressure in a citrate buffer (pH 6.0). Section was blocked with 10% normal goat serum 30min at RT. Then primary antibody (1% BSA) was incubated at 4°C overnight. The primary is detected by a biotinylated secondary antibody and visualized using an HRP conjugated SP system.
-
IHC image of CSB-MA018403A0m diluted at 1:100 and staining in paraffin-embedded human endometrial cancer performed on a Leica BondTM system. After dewaxing and hydration, antigen retrieval was mediated by high pressure in a citrate buffer (pH 6.0). Section was blocked with 10% normal goat serum 30min at RT. Then primary antibody (1% BSA) was incubated at 4°C overnight. The primary is detected by a biotinylated secondary antibody and visualized using an HRP conjugated SP system.
-
Immunofluorescence staining of A549 cells with CSB-MA018403A0m at 1:100, counter-stained with DAPI. The cells were blocked in 10% normal Goat Serum and then incubated with the primary antibody overnight at 4°C. The secondary antibody was Alexa Fluor 488-congugated AffiniPure Goat Anti-Mouse IgG(H+L).
-
Immunofluorescence staining of Ntera-2 cells with CSB-MA018403A0m at 1:100, counter-stained with DAPI. The cells were blocked in 10% normal Goat Serum and then incubated with the primary antibody overnight at 4°C. The secondary antibody was Alexa Fluor 488-congugated AffiniPure Goat Anti-Mouse IgG(H+L).
-
Overlay histogram showing A549 cells stained with CSB-MA018403A0m (red line) at 1:100. The cells were incubated in 1x PBS /10% normal goat serum to block non-specific protein-protein interactions followed by primary antibody for 1 h at 4°C. The secondary antibody used was FITC goat anti-mouse IgG(H+L) at 1/200 dilution for 1 h at 4°C. Isotype control antibody (green line) was used under the same conditions. Acquisition of >10,000 events was performed.
-
Overlay histogram showing Ntera-2 cells stained with CSB-MA018403A0m (red line) at 1:100. The cells were incubated in 1x PBS /10% normal goat serum to block non-specific protein-protein interactions followed by primary antibody for 1 h at 4°C. The secondary antibody used was FITC goat anti-mouse IgG(H+L) at 1/200 dilution for 1 h at 4°C. Isotype control antibody (green line) was used under the same conditions. Acquisition of >10,000 events was performed.
-
-
其他:
產品詳情
-
產品描述:OCT4單克隆抗體(CUSABIO貨號:CSB-MA018403A0m)是針對多能性關鍵調控因子OCT4研發的高特異性檢測工具。OCT4作為POU家族轉錄因子,在維持胚胎干細胞多能性、調控細胞命運決定及腫瘤發生發展中起重要作用,是干細胞生物學研究與再生醫學領域的重要分子標記物。本產品采用雜交瘤技術制備,具有優異的批間一致性,可同時識別人類、小鼠和大鼠來源的OCT4蛋白,適用于Western Blot、免疫組化、免疫熒光、流式細胞術及ELISA等多種實驗平臺。在干細胞特性鑒定實驗中,該抗體可精準檢測多能性細胞中OCT4的表達定位;在體細胞重編程研究中,能夠有效追蹤多能性標志物的動態變化;在腫瘤微環境分析方面,可用于腫瘤干細胞亞群的表型鑒定。經多種樣本驗證,該抗體在293T細胞過表達體系、小鼠胚胎干細胞等模型中均展現出清晰的檢測信號,為發育生物學、癌癥機制研究及藥物篩選等科研項目提供可靠支持,滿足多維度實驗設計需求。
-
產品名稱:Mouse anti-Homo sapiens (Human) POU5F1 Monoclonal antibody
-
Uniprot No.:
-
基因名:
-
別名:Octamer binding transcription factor 4 antibody; MGC22487 antibody; Oct 3 antibody; Oct 4 antibody; Oct-3 antibody; Oct-4 antibody; OCT3 antibody; Oct4 antibody; Octamer binding protein 3 antibody; Octamer binding protein 4 antibody; Octamer binding transcription factor 3 antibody; Octamer-binding protein 3 antibody; Octamer-binding protein 4 antibody; Octamer-binding transcription factor 3 antibody; OTF 3 antibody; OTF 4 antibody; OTF-3 antibody; OTF3 antibody; OTF4 antibody; PO5F1_HUMAN antibody; POU class 5 homeobox 1 antibody; POU domain class 5 transcription factor 1 antibody; POU domain transcription factor OCT4 antibody; POU domain, class 5, transcription factor 1 antibody; POU-type homeodomain-containing DNA-binding protein antibody; POU5F1 antibody
-
宿主:Mouse
-
反應種屬:Human, Mouse, Rat
-
免疫原:Recombinant Human POU domain, class 5, transcription factor 1 protein (1-360AA)
-
免疫原種屬:Homo sapiens (Human)
-
標記方式:Non-conjugated
-
克隆類型:Monoclonal
-
抗體亞型:IgG2b
-
純化方式:>95%, Protein G purified
-
克隆號:2H41D8
-
濃度:It differs from different batches. Please contact us to confirm it.
-
保存緩沖液:Preservative: 0.03% Proclin 300
Constituents: 50% Glycerol, 0.01M PBS, PH 7.4 -
產品提供形式:Liquid
-
應用范圍:ELISA, WB, IHC, IF, FC
-
推薦稀釋比:
Application Recommended Dilution WB 1:500-1:10000 IHC 1:50-1:200 IF 1:50-1:200 -
Protocols:
-
儲存條件:Upon receipt, store at -20°C or -80°C. Avoid repeated freeze.
-
貨期:Basically, we can dispatch the products out in 1-3 working days after receiving your orders. Delivery time maybe differs from different purchasing way or location, please kindly consult your local distributors for specific delivery time.
-
用途:For Research Use Only. Not for use in diagnostic or therapeutic procedures.
相關產品
靶點詳情
-
功能:Transcription factor that binds to the octamer motif (5'-ATTTGCAT-3'). Forms a trimeric complex with SOX2 or SOX15 on DNA and controls the expression of a number of genes involved in embryonic development such as YES1, FGF4, UTF1 and ZFP206. Critical for early embryogenesis and for embryonic stem cell pluripotency.
-
基因功能參考文獻:
- Study established a relationship between OCT4 and SMAD3 heterodimers formation and Snail, Slug, and CXCL13 transcription promotion mediating breast cancer progression. PMID: 29526821
- Metastatic double primary endometrioid endometrial and ovarian carcinoma sections expressed a higher level of OCT4 compared to the corresponding DPEEOC tissues. PMID: 29569698
- Cripto-1 expression is increased by OCT4 overexpression, but decreased by shRNA-mediated OCT4 knockdown. OCT4 overexpression significantly activates Cripto-1 transcriptional activity. A 5'-upstream minimal promoter sequence in the gene-encoding Cripto-1 is significantly activated by OCT4 overexpression. PMID: 29223130
- Multivariate Cox's proportional hazards regression analyses revealed that OCT4 mRNA high expression was an independent predictive factor for shorter EFS and OS in AML patients. Conclusion OCT4 correlates with presence of CK, FLT3-ITD mutation and poorer risk stratification, and it could be served as a convincing biomarker for predicting unfavourable prognosis in AML patients. PMID: 29950146
- GCNF acts as a transcriptional repressor in the regulation of OCT4 gene expression through cooperative interaction with three NR binding elements in pluripotent NCCIT cells. PMID: 29057499
- Study shows that irrespective of tumor type or clinicopathological status, breast cancer cells expressed high levels of Oct3/4 at mRNA and protein levels. PMID: 29620155
- Tumor tissue OCT4 expression was positively correlated with histologic grade, pathological tumor size and prognosis in surgical patients with triple-negative breast cancer. PMID: 29536377
- Radiation resistance tumors have upregulated Onzin and POU5F1 expression. PMID: 29596836
- verification of the presence of stem cell-like cells in the epithelial component through the immunopositivity to Oct-4 and CD44 in benign odontogenic lesions of variable biological behaviors PMID: 29971493
- Oct4 plays a vital role in the malignant progression of HCC cells through the survivin/STAT3 signaling pathway. PMID: 29901157
- Secretome analysis revealed that Oct4 upregulated interleukin 24 (IL24) expression through STAT3 and NFkappaB signaling, and siRNA against IL24 increased IRinduced senescence, whereas recombinant human IL24 suppressed it. The results of the present study indicated that Oct4 confers IR resistance on breast cancer cells by suppressing IRinduced premature senescence through STAT3- and NFkappaB-mediated IL24 production. PMID: 29749438
- BEX4 positively regulated the expression of OCT4, silencing of which reduced the proliferation of A549 and H1975cells with over-expressed BEX4. PMID: 29660335
- Oct4 transcriptionally activates NEAT1 via promoter and MALAT1 via enhancer binding to promote cell proliferation and motility, and led to lung tumorigenesis and poor prognosis. PMID: 28615056
- POU5F1 expression is suggested to be a prognostic factor in patients with colorectal cancer. PMID: 29488015
- that OCT4 is implicated in the differentiation arrest at least in some types of acute myeloid leukemia PMID: 28911263
- Overexpressed TWIST1 can be correlated with upregulation of the cancer stem cell marker OCT4 and the protein may play critical regulatory role in OCT4 gene expression. PMID: 29299035
- rs2394882 in cancer stem cells gene POU5F1 is associated with prostate cancer recurrence. PMID: 29104488
- The emerging roles of OCT4 in coordinating the cell cycle progression, the maintenance of pluripotency and the glycolytic metabolism in embryonic stem cells have been discussed. (Review) PMID: 28901500
- Link between embryonic stem cell pluripotency and homologous allelic pairing of Oct4 loci. PMID: 28967672
- Chicken egg-white extracts promote OCT4 and NANOG expression and telomeres growth in 293T cells. PMID: 28838341
- OCT4 and SOX2 work as transcriptional activators in reprogramming human fibroblasts. PMID: 28813671
- Low expressions of Oct4-EpCAM in IHC and CD133 in qPCR may reveal roles in gastric cancer PMID: 27557490
- The prevalence of Oct-3/4 and D2-40-positive staining of germ cells in testicular biopsies of boys with cryptorchidism were in age groups less than 6 months, 100% and 50%; 6-12 months, 60% and 17%; and 1-2 years, 12% and 4%. In all cases, the Oct-3/4 and D2-40 positive germ cells turned negative and the histological pattern normalized completely with age. PMID: 27606906
- Our results indicate that Oct4 expression is associated with aggressive features, ALDH1 expression, tamoxifen resistance and poor clinical outcomes in hormone receptor-positive breast cancer, and thus may be useful as a predictive and prognostic marker in this subgroup of breast cancer. PMID: 28422735
- Rectal tumor tissue OCT4 (p<0.001), SOX2 (p=0.003), and NANOG (p<0.001) expressions were higher than those in adjacent tissue. PMID: 29214774
- Novel spliced variants of OCT4, OCT4C and OCT4C1, with distinct expression patterns and functions in pluripotent and tumor cell lines have been described. PMID: 28476334
- we have provided evidence that Oct4 expression is enhanced in bladder cancer cells after treatment with various chemotherapeutic agents, rendering bladder cancer chemoresistant. PMID: 27244887
- our study describes the relationship between ABCG2 and OCT-4 expression and the clinicopathological characteristics of RCC patients. ABCG2 and OCT-4 expression was significantly correlated with RCC recurrence, which has a poor prognosis. PMID: 28212529
- we confirmed that up-regulated KPNA2 and OCT4 expression is a common feature of bladder cancer that is correlated with increased aggressive tumor behavior. Also, we propose that KPNA2 regulates the process of OCT4 nuclear transportation in bladder cancer. PMID: 27611951
- Knockdown of OCT4 in NSCLC cells could decrease cell proliferation, and potentiate apoptosis induced by gefitinib, suggesting OCT4 may contribute to gefitinib resistance in NSCLC. PMID: 27816965
- Data show that lung adenocarcinoma SPC-A1 cell differentiated by a two-stage induction (TSI) method lost stem cell characteristics, including absent expression of OCT4 and Nanog. PMID: 27588392
- Overexpression of OCT4 is associated with neoplasms. PMID: 28235715
- The survival rate was increased by 11.1% in Oct4/Sox2-hAT-MSC-injected mice. PMID: 28438862
- OCT4B1 plays an essential role in inflammation and apoptosis of dental pulp cells . OCT4B might operate synergistically with OCT4B1 to reduce apoptosis. PMID: 28473980
- OCT4 is over-expressed in both of the breast cancer cell lines; MCF7 and MDA-MB-231 and its inhibition resulted in drastic decrease in rate of cell proliferation, metastatic ability and induced apoptosis. PMID: 29203199
- The positive feedback regulation of OCT4 and c-JUN, resulting in the continuous expression of oncogenes such as c-JUN, seems to play a critical role in the determination of the cell fate decision from induced pluripotent stem cells to cancer stem cells in liver cancer. PMID: 27341307
- MACC1-induced tumor progression in colorectal cancer acts, at least in part, via the newly discovered MACC1/Nanog/Oct4 axis. PMID: 26758557
- Lymphatic/vascular invasion (LVI) in the spermatic cord of patients with pure seminoma may be obscured by prominent lymphohistiocytic inflammation (LHI), and staining of such foci with OCT4 may increase the detection of LVI by 45%. PMID: 27020494
- The findings of this study suggested that Oct4B1 has a potential role in tumorigenesis of brain cancer and can be considered as a new tumor marker with potential value in diagnosis and treatment of brain cancer. PMID: 27585657
- High OCT4 expression is associated with enhancement of angiogenesis in lung cancer. PMID: 26871601
- Logistic regression analysis revealed that OCT4 rs1265163 showed the most significant association signal for the risk of chronic hepatitis B (CHB). Linkage disequilibrium and conditional analysis confirmed rs1265163 in OCT4 as a novel genetic marker for CHB susceptibility. PMID: 27596359
- the pluripotency transcription factor OCT4 can serve as a metabolic-redox sensor in human embryonic stem cells and that metabolic cues can act in concert with growth factor signaling to orchestrate stem cell differentiation. PMID: 27346346
- High OCT4 expression is associated with brain neoplasms. PMID: 28933914
- The quadruplex acts as a strong, positive regulator of Oct4 expression. PMID: 27863263
- these findings demonstrated that HIF-2alpha in vselMSCs cooperated with Oct4 in survival and function. The identification of the cooperation between HIF-2alpha and Oct4 will lead to deeper characterization of the downstream targets of this interaction in vselMSCs and will have novel pathophysiological implications for the repair of infarcted myocardium. PMID: 28079892
- gene editing reveals a role for OCT4 in human embryogenesis PMID: 28953884
- we are reporting a new variant of OCT4, which is expressed under different physiological conditions. The finding shed more light on complexity of OCT4 expression and functions. PMID: 29022482
- High Oct4 expression is associated with breast cancer. PMID: 28423536
- The expression of Oct4A may be crucial to promote and sustain integrin-mediated extracellular matrix (ECM) remodeling requisite for tumor metastasis in ovarian cancer patients. PMID: 27390927
- High OCT4A expression is associated with metastasis in medulloblastoma . PMID: 28186969
顯示更多
收起更多
-
亞細胞定位:Cytoplasm. Nucleus.
-
蛋白家族:POU transcription factor family, Class-5 subfamily
-
組織特異性:Expressed in developing brain. Highest levels found in specific cell layers of the cortex, the olfactory bulb, the hippocampus and the cerebellum. Low levels of expression in adult tissues.
-
數據庫鏈接:
Most popular with customers
-
YWHAB Recombinant Monoclonal Antibody
Applications: ELISA, WB, IHC, IF, FC
Species Reactivity: Human, Mouse, Rat
-
Phospho-YAP1 (S127) Recombinant Monoclonal Antibody
Applications: ELISA, WB, IHC
Species Reactivity: Human
-
-
-
-
-
-















