PLA2G7 Monoclonal Antibody
-
中文名稱:PLA2G7鼠單克隆抗體
-
貨號:CSB-MA089171A0m
-
規格:¥1320
-
圖片:
-
All lanes: Mouse anti-human Platelet-activating factor acetylhydrolase monoclonal Antibody at 1μg/ml
Lane 1:mouse spleen tissue
Secondary:HRP labeled Goat polyclonal to Mouse IgG at 1/3000 dilution
Predicted band size : 48kd
Observed band size : 48kd
Additional bands at: 85kd -
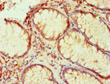
Immunohistochemical of paraffin-embedded human colon cancer using CSB-MA089171A0m at dilution of 1:200.
-
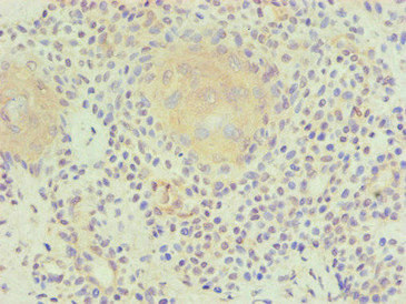
Immunohistochemical of paraffin-embedded human breast cancer using CSB-MA089171A0m at dilution of 1:200.
-
Immunohistochemical of paraffin-embedded human kidney tissue using CSB-MA089171A0m at dilution of 1:200.
-
-
其他:
產品詳情
-
產品描述:PLA2G7單克隆抗體(CUSABIO貨號:CSB-MA089171A0m)是針對脂蛋白關聯磷脂酶A2(PLA2G7/Lp-PLA2)研發的高特異性科研工具,該靶點作為炎癥調控和脂質代謝的關鍵酶,在動脈粥樣硬化、神經退行性疾病等病理機制研究中具有重要價值。本品采用雜交瘤技術制備,經抗原親和純化,適用于人源及小鼠樣本的ELISA定量檢測、Western Blot蛋白表達分析以及組織切片免疫組化實驗,其高批次穩定性和低交叉反應性保障了實驗數據的可靠性。產品廣泛應用于心血管疾病模型構建、炎癥信號通路探索及生物標志物篩選等基礎研究領域,為解析PLA2G7在氧化應激和細胞膜磷脂重構中的生物學功能提供精準檢測支持。
-
Uniprot No.:
-
宿主:mouse
-
反應種屬:Human,Mouse
-
免疫原:Recombinant LP-PLA2 Protein
-
免疫原種屬:Homo sapiens (Human)
-
標記方式:Non-conjugated
-
克隆類型:monoclonal
-
抗體亞型:IgG1
-
純化方式:>95%,Protein G purified
-
克隆號:2A1B6
-
濃度:It differs from different batches. Please contact us to confirm it.
-
保存緩沖液:Preservative: 0.03% Proclin 300Constituents: 50% Glycerol, 0.01M PBS, PH 7.4
-
產品提供形式:liquid
-
應用范圍:ELISA,WB,IHC
-
推薦稀釋比:
Application Recommended Dilution WB 1:500-1:5000 IHC 1:50-1:500 -
Protocols:
-
儲存條件:Upon receipt, store at -20°C or -80°C. Avoid repeated freeze.
-
貨期:Basically, we can dispatch the products out in 1-3 working days after receiving your orders. Delivery time maybe differs from different purchasing way or location, please kindly consult your local distributors for specific delivery time.
-
用途:For Research Use Only. Not for use in diagnostic or therapeutic procedures.
Most popular with customers
-
-
YWHAB Recombinant Monoclonal Antibody
Applications: ELISA, WB, IHC, IF, FC
Species Reactivity: Human, Mouse, Rat
-
Phospho-YAP1 (S127) Recombinant Monoclonal Antibody
Applications: ELISA, WB, IHC
Species Reactivity: Human
-
-
-
-
-















