-
中文名稱:AANAT兔多克隆抗體
-
貨號:CSB-PA231814
-
規格:¥1100
-
圖片:
-
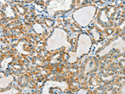
The image on the left is immunohistochemistry of paraffin-embedded Human thyroid cancer tissue using CSB-PA231814(AANAT Antibody) at dilution 1/40, on the right is treated with fusion protein. (Original magnification: ×200)
-
The image on the left is immunohistochemistry of paraffin-embedded Human cervical cancer tissue using CSB-PA231814(AANAT Antibody) at dilution 1/40, on the right is treated with fusion protein. (Original magnification: ×200)
-
-
其他:
產品詳情
-
Uniprot No.:
-
基因名:AANAT
-
別名:AA-NAT antibody; Aanat antibody; Aralkylamine N-acetyltransferase antibody; Arylalkylamine N acetyltransferase antibody; Serotonin acetylase antibody; Serotonin N-acetyltransferase antibody; SNAT antibody; SNAT_HUMAN antibody
-
宿主:Rabbit
-
反應種屬:Human,Mouse,Rat
-
免疫原:Fusion protein of Human AANAT
-
免疫原種屬:Homo sapiens (Human)
-
標記方式:Non-conjugated
-
抗體亞型:IgG
-
純化方式:Antigen affinity purification
-
濃度:It differs from different batches. Please contact us to confirm it.
-
保存緩沖液:-20°C, pH7.4 PBS, 0.05% NaN3, 40% Glycerol
-
產品提供形式:Liquid
-
應用范圍:ELISA,IHC
-
推薦稀釋比:
Application Recommended Dilution ELISA 1:1000-1:5000 IHC 1:50-1:200 -
Protocols:
-
儲存條件:Upon receipt, store at -20°C or -80°C. Avoid repeated freeze.
-
貨期:Basically, we can dispatch the products out in 1-3 working days after receiving your orders. Delivery time maybe differs from different purchasing way or location, please kindly consult your local distributors for specific delivery time.
-
用途:For Research Use Only. Not for use in diagnostic or therapeutic procedures.
引用文獻
- Upregulated Expression and Shifted Distribution of Melatonin and Its Synthesizing Enzymes From Postnatal to Young Adult Rat Cochleae M Orsolic, M Diensthuber, T St?ver,Developmental Neurobiology,2025
相關產品
靶點詳情
-
功能:Controls the night/day rhythm of melatonin production in the pineal gland. Catalyzes the N-acetylation of serotonin into N-acetylserotonin, the penultimate step in the synthesis of melatonin.
-
基因功能參考文獻:
- Aggregate genetic variation in circadian rhythm and melatonin pathways were significantly associated with the risk of prostate cancer in data combining GAME-ON and PLCO, after Bonferroni correction (ppathway < 0.00625). The two most significant genes were NPAS2 (pgene = 0.0062) and AANAT (pgene = 0.00078); the latter being significant after Bonferroni correction. PMID: 28699174
- Data show that arylalkymine N-acetyltransferase (AANAT) levels and melatonin synthesis change after transient receptor potential channel 4 (TRPV4 channel) stimulation in ciliary body epithelial cells. PMID: 28368307
- these and related results indicate both a major involvement of the N-end rule pathway in the control of rodent AANATs and substantial differences in the regulation of rodent and human AANATs that stem from differences in their N-terminal sequences. PMID: 27339900
- There is dysregulation of the AANAT/ASMT/melatonin --> melatonin receptor axis in cholangiocarcinoma, which inhibited melatonin secretion and subsequently enhanced CCA growth. PMID: 21778461
- The expression of AANAT in epithelial cells of striated ducts in human submandibular glands. PMID: 21437622
- The functional expression of human SNA protein was closely associated with the elevated synthesis of N-acetylserotonin and melatonin in transgenic rice plants. PMID: 20586889
- Identified 17 sequence changes in AANAT gene of patients with major depression. Show evidence of the association of genetic variability in the AANAT gene with susceptibility to major depression. PMID: 20459461
- There is a significant increase in AANAT allele positivity at the single nucleotide polymorphism (alanine 129--> threonine) at between patients with DSPS & controls. AA-NAT could be a susceptibility gene for DSPS. PMID: 12736803
- Data suggest that the -263G/C single nucleotide polymorphism of arylalkylamine-N-acetyl-transferase (AA-NAT) may be an important determinant of the late/short sleep pattern. PMID: 15332344
- Single nucleotide polymorphisms in the AANAT gene identified thus far cannot explain the observed interindividual differences for nocturnal melatonin profiles in the subjects investigated. PMID: 18569588
- AANAT polymorphisms were not associated with adolescent idiopathic scoliosis. PMID: 18794762
- Observational study of genotype prevalence and gene-disease association. (HuGE Navigator) PMID: 17503170
顯示更多
收起更多
-
亞細胞定位:Cytoplasm.
-
蛋白家族:Acetyltransferase family, AANAT subfamily
-
組織特異性:Highly expressed in pineal gland and at lower levels in the retina. Weak expression in several brain regions and in the pituitary gland.
-
數據庫鏈接:
Most popular with customers
-
-
YWHAB Recombinant Monoclonal Antibody
Applications: ELISA, WB, IHC, IF, FC
Species Reactivity: Human, Mouse, Rat
-
Phospho-YAP1 (S127) Recombinant Monoclonal Antibody
Applications: ELISA, WB, IHC
Species Reactivity: Human
-
-
-
-
-















