ACADS Antibody
-
中文名稱:ACADS兔多克隆抗體
-
貨號:CSB-PA957686
-
規格:¥1100
-
圖片:
-
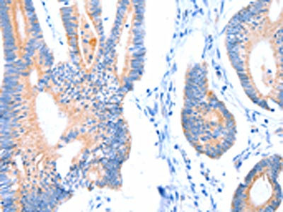
The image on the left is immunohistochemistry of paraffin-embedded Human colon cancer tissue using CSB-PA957686(ACADS Antibody) at dilution 1/20, on the right is treated with fusion protein. (Original magnification: ×200)
-
The image on the left is immunohistochemistry of paraffin-embedded Human thyroid cancer tissue using CSB-PA957686(ACADS Antibody) at dilution 1/20, on the right is treated with fusion protein. (Original magnification: ×200)
-
Gel: 10%SDS-PAGE, Lysate: 40 μg, Lane 1-3: Human liver cancer tissue, rat kidney tissue, human fetal liver tissue, Primary antibody: CSB-PA957686(ACADS Antibody) at dilution 1/400, Secondary antibody: Goat anti rabbit IgG at 1/8000 dilution, Exposure time: 90 seconds
-
-
其他:
產品詳情
-
Uniprot No.:
-
基因名:ACADS
-
別名:ACAD3 antibody; ACADS antibody; ACADS_HUMAN antibody; Acyl Coenzyme A dehydrogenase; C2 to C3 short chain antibody; Acyl-CoA dehydrogenase; C2 to C3 short chain antibody; Acyl-CoA dehydrogenase; short chain antibody; Acyl-Coenzyme A dehydrogenase; short chain antibody; AI196007 antibody; Bcd-1 antibody; Bcd1 antibody; Butyryl CoA dehydrogenase antibody; Butyryl-CoA dehydrogenase antibody; EC 1.3.99.2 antibody; mitochondrial antibody; SCAD antibody; Short chain acyl CoA dehydrogenase antibody; Short-chain specific acyl-CoA dehydrogenase antibody; Short-chain specific acyl-CoA dehydrogenase; mitochondrial antibody; Unsaturated acyl CoA reductase antibody
-
宿主:Rabbit
-
反應種屬:Human,Mouse,Rat
-
免疫原:Fusion protein of Human ACADS
-
免疫原種屬:Homo sapiens (Human)
-
標記方式:Non-conjugated
-
抗體亞型:IgG
-
純化方式:Antigen affinity purification
-
濃度:It differs from different batches. Please contact us to confirm it.
-
保存緩沖液:-20°C, pH7.4 PBS, 0.05% NaN3, 40% Glycerol
-
產品提供形式:Liquid
-
應用范圍:ELISA,WB,IHC
-
推薦稀釋比:
Application Recommended Dilution ELISA 1:1000-1:2000 WB 1:200-1:1000 IHC 1:25-1:100 -
Protocols:
-
儲存條件:Upon receipt, store at -20°C or -80°C. Avoid repeated freeze.
-
貨期:Basically, we can dispatch the products out in 1-3 working days after receiving your orders. Delivery time maybe differs from different purchasing way or location, please kindly consult your local distributors for specific delivery time.
-
用途:For Research Use Only. Not for use in diagnostic or therapeutic procedures.
相關產品
靶點詳情
-
功能:Short-chain specific acyl-CoA dehydrogenase is one of the acyl-CoA dehydrogenases that catalyze the first step of mitochondrial fatty acid beta-oxidation, an aerobic process breaking down fatty acids into acetyl-CoA and allowing the production of energy from fats. The first step of fatty acid beta-oxidation consists in the removal of one hydrogen from C-2 and C-3 of the straight-chain fatty acyl-CoA thioester, resulting in the formation of trans-2-enoyl-CoA. Among the different mitochondrial acyl-CoA dehydrogenases, short-chain specific acyl-CoA dehydrogenase acts specifically on acyl-CoAs with saturated 4 to 6 carbons long primary chains.
-
基因功能參考文獻:
- a link between ACADS susceptibility variants and abnormal beta-oxidation consistent with known altered kinetics of these variants PMID: 28532786
- Korean patients with Short-chain acyl-CoA dehydrogenase deficiency showed heterogenous clinical features and ACADS genotype. PMID: 27466294
- Thirteen proteins had significant alteration in protein levels in patients carrying variation c.319C>T in ACADS compared to controls and they belonged to various pathways, such as the antioxidant system and amino acid metabolism. PMID: 24485985
- Results show significant upregulation of LASP1 and SCAD protein levels in acute psychotic bipolar disorder samples. PMID: 24554194
- IVD mutations in Asian populations are distinct from these in Western populations. PMID: 22004070
- physiological concentrations of flavin adenine dinucleotide resulted in a spectacular enhancement of the thermal stabilities of SCAD and prevented enzymatic activity loss PMID: 21968293
- In glucose-tolerant individuals the minor C-allele of rs2014355 of ACADS was associated with reduced measures of glucose-stimulated insulin release during an oral glucose tolerance test. PMID: 21211036
- We therefore propose that SCAD misfolding leads to production of ROS, which in turn leads to fission and a grain-like structure of the mitochondrial reticulum. This finding indicates a toxic response elicited by misfolded p.Arg83Cys SCAD proteins PMID: 20371198
- Molecular pathogenesis of a novel mutation, G108D, in ACADS identified in subjects with ACADS deficiency. PMID: 20376488
- Reduction of catalytic activity and stability in polymorphic variant of SCAD (Gly185Ser) is caused by decreased flexibility in the tertiary conformation of the mutant enzyme. PMID: 12220177
- Replacement of the catalytic glutamate in either short-chain acyl-CoA dehydrogenase (SCAD) or isovaleryl-CoA dehydrogenase (IVD)with glycine resulted in a several-fold reduction in affinity for substrate. PMID: 16376132
- One of 220 SIDs cases was homozygous for the prevalent MCAD A985G mutation. PMID: 18045290
- The c.319C>T mutation can lead to wide clinical and biochemical phenotypic variability, suggesting a complex multifactorial/polygenic condition. This should be screened for in individuals with multicore myopathy, particularly among the Ashkenazim. PMID: 18054510
- A homozygous variant allele of the SCAD gene, 625G>A, was detected in new case of short-chain acyl-CoA dehydrogenase deficiency. PMID: 18175080
- Extensive laboratory investigations indicate that the short-chain acyl-CoA dehydrogenase gene variant is likely preventing or delaying the normal expression of the Prader-Willi syndrome phenotype. PMID: 18184946
- SCAD deficiency should be considered as a disorder of protein folding that can lead to clinical disease in combination with other genetic and environmental factors. PMID: 18523805
- A deoxyribonucleic analysis revealed the presence of a 625G>A (G-to-A substitution at nucleotide 625) variant short-chain acyl-coenzyme A dehydrogenase gene polymorphism. PMID: 18539996
- SCAD deficiency cause a disorder that leads to the accumulation of butyrylcarnitine and ethylmalonic acid in blood and urine. PMID: 18977676
顯示更多
收起更多
-
相關疾?。?/div>Acyl-CoA dehydrogenase short-chain deficiency (ACADSD)亞細胞定位:Mitochondrion matrix.蛋白家族:Acyl-CoA dehydrogenase family數據庫鏈接:
Most popular with customers
-
-
Phospho-YAP1 (S127) Recombinant Monoclonal Antibody
Applications: ELISA, WB, IHC
Species Reactivity: Human
-
-
-
-
-
-















