ACOX2 Antibody
-
中文名稱:ACOX2兔多克隆抗體
-
貨號:CSB-PA246246
-
規格:¥1100
-
圖片:
-
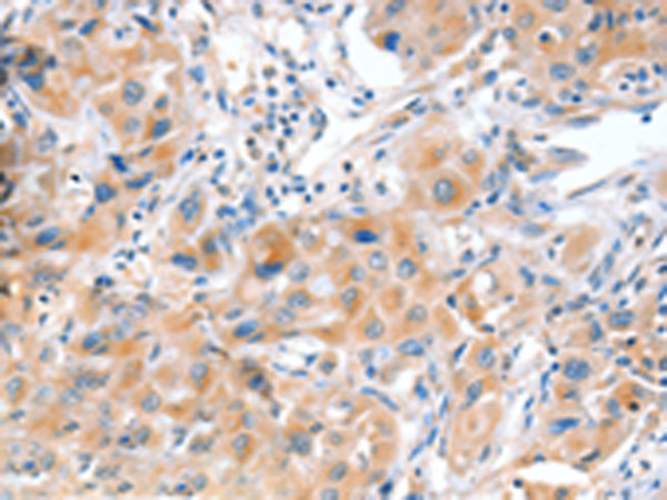
The image on the left is immunohistochemistry of paraffin-embedded Human lung cancer tissue using CSB-PA246246(ACOX2 Antibody) at dilution 1/20, on the right is treated with fusion protein. (Original magnification: ×200)
-
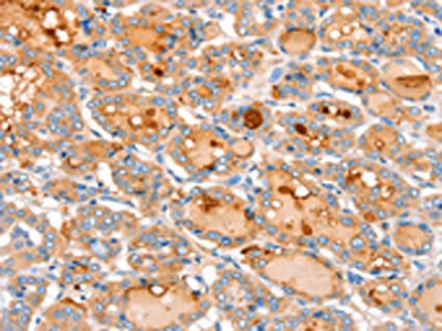
The image on the left is immunohistochemistry of paraffin-embedded Human thyroid cancer tissue using CSB-PA246246(ACOX2 Antibody) at dilution 1/20, on the right is treated with fusion protein. (Original magnification: ×200)
-
Gel: 8%SDS-PAGE, Lysate: 40 μg, Lane 1-2: Mouse liver tissue, Mouse kidney tissue, Primary antibody: CSB-PA246246(ACOX2 Antibody) at dilution 1/350, Secondary antibody: Goat anti rabbit IgG at 1/8000 dilution, Exposure time: 2 minutes
-
-
其他:
產品詳情
-
Uniprot No.:
-
基因名:
-
別名:12-alpha-trihydroxy-5-beta-cholestanoyl-CoA 24-hydroxylase antibody; 12-alpha-trihydroxy-5-beta-cholestanoyl-CoA oxidase antibody; 3 alpha 7 alpha 12 alpha trihydroxy 5 beta cholestanoyl CoA oxidase antibody; 3 alpha 7 alpha12 alpha trihydroxy 5 beta cholestanoyl CoA 24 hydroxylase antibody; 3-alpha antibody; 7-alpha antibody; ACOX 2 antibody; ACOX2 antibody; ACOX2_HUMAN antibody; Acyl CoA oxidase 2 antibody; Acyl Coenzyme A oxidase 2 antibody; Acyl Coenzyme A oxidase 2 branched chain antibody; Acyl coenzyme A oxidase 2 peroxisomal antibody; BCOX antibody; BRCACOX antibody; BRCOX antibody; Peroxisomal acyl-coenzyme A oxidase 2 antibody; Peroxisomal branched chain acyl CoA oxidase antibody; THCA CoA oxidase antibody; THCA-CoA oxidase antibody; THCCox antibody; Trihydroxycoprostanoyl CoA oxidase antibody; Trihydroxycoprostanoyl-CoA oxidase antibody
-
宿主:Rabbit
-
反應種屬:Human,Mouse
-
免疫原:Fusion protein of Human ACOX2
-
免疫原種屬:Homo sapiens (Human)
-
標記方式:Non-conjugated
-
抗體亞型:IgG
-
純化方式:Antigen affinity purification
-
濃度:It differs from different batches. Please contact us to confirm it.
-
保存緩沖液:-20°C, pH7.4 PBS, 0.05% NaN3, 40% Glycerol
-
產品提供形式:Liquid
-
應用范圍:ELISA,WB,IHC
-
推薦稀釋比:
Application Recommended Dilution ELISA 1:1000-1:2000 WB 1:200-1:1000 IHC 1:25-1:100 -
Protocols:
-
儲存條件:Upon receipt, store at -20°C or -80°C. Avoid repeated freeze.
-
貨期:Basically, we can dispatch the products out in 1-3 working days after receiving your orders. Delivery time maybe differs from different purchasing way or location, please kindly consult your local distributors for specific delivery time.
-
用途:For Research Use Only. Not for use in diagnostic or therapeutic procedures.
相關產品
靶點詳情
-
功能:Oxidizes the CoA esters of the bile acid intermediates di- and tri-hydroxycholestanoic acids. Capable of oxidizing short as well as long chain 2-methyl branched fatty acids.
-
基因功能參考文獻:
- We have identified by the first time in a young patient and his only sister a familiar genetic defect of an enzyme called ACOX2, which participates in the transformation of cholesterol into bile acids as a cause of increased serum transaminases in the absence of any other symptomatology. PMID: 27884763
- Results found an ACOX2 variant present in a subset of human breast cancers and associated with improved outcome ER+ tumors suggesting it as a potential novel therapeutic biomarker in ER+ breast tumors. PMID: 26183823
- Our results suggest that downregulation of ACOX2 is a shared risk factor for PE and CVD. PMID: 21343950
-
相關疾?。?/div>Congenital bile acid synthesis defect 6 (CBAS6)亞細胞定位:Peroxisome.蛋白家族:Acyl-CoA oxidase family組織特異性:Present in all tissues tested: heart, brain, placenta, lung, liver, skeletal muscle, kidney and pancreas. Most abundant in heart, liver and kidney.數據庫鏈接:
Most popular with customers
-
-
YWHAB Recombinant Monoclonal Antibody
Applications: ELISA, WB, IHC, IF, FC
Species Reactivity: Human, Mouse, Rat
-
Phospho-YAP1 (S127) Recombinant Monoclonal Antibody
Applications: ELISA, WB, IHC
Species Reactivity: Human
-
-
-
-
-















