ACP6 Antibody
-
中文名稱:ACP6兔多克隆抗體
-
貨號:CSB-PA889072LA01HU
-
規格:¥440
-
圖片:
-
Western Blot
Positive WB detected in: PC-3 whole cell lysate, Mouse kidney tissue, Mouse liver tissue, Rat brain tissue
All lanes: ACP6 antibody at 3μg/ml
Secondary
Goat polyclonal to rabbit IgG at 1/50000 dilution
Predicted band size: 49, 31 kDa
Observed band size: 49 kDa -
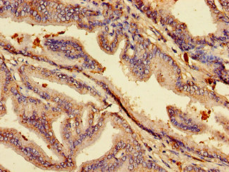
Immunohistochemistry of paraffin-embedded human prostate tissue using CSB-PA889072LA01HU at dilution of 1:100
-
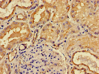
Immunohistochemistry of paraffin-embedded human kidney tissue using CSB-PA889072LA01HU at dilution of 1:100
-
-
其他:
產品詳情
-
產品名稱:Rabbit anti-Homo sapiens (Human) ACP6 Polyclonal antibody
-
Uniprot No.:
-
基因名:ACP6
-
別名:Acid phosphatase 6 antibody; Acid phosphatase 6; lysophosphatidic antibody; Acid phosphatase like 1 antibody; Acid phosphatase like protein 1 antibody; Acid phosphatase-like protein 1 antibody; ACP6 antibody; ACPL1 antibody; LPAP antibody; Lysophosphatidic acid phosphatase 6 antibody; Lysophosphatidic acid phosphatase type 6 antibody; Lysophosphatidic acid phosphatase type 6 precursor antibody; lysophosphatidic antibody; PACPL1 antibody; PPA6_HUMAN antibody
-
宿主:Rabbit
-
反應種屬:Human, Mouse, Rat
-
免疫原:Recombinant Human Lysophosphatidic acid phosphatase type 6 protein (35-324AA)
-
免疫原種屬:Homo sapiens (Human)
-
標記方式:Non-conjugated
本頁面中的產品,ACP6 Antibody (CSB-PA889072LA01HU),的標記方式是Non-conjugated。對于ACP6 Antibody,我們還提供其他標記。見下表:
-
克隆類型:Polyclonal
-
抗體亞型:IgG
-
純化方式:>95%, Protein G purified
-
濃度:It differs from different batches. Please contact us to confirm it.
-
保存緩沖液:Preservative: 0.03% Proclin 300
Constituents: 50% Glycerol, 0.01M PBS, pH 7.4 -
產品提供形式:Liquid
-
應用范圍:ELISA, WB, IHC
-
推薦稀釋比:
Application Recommended Dilution WB 1:500-1:5000 IHC 1:20-1:200 -
Protocols:
-
儲存條件:Upon receipt, store at -20°C or -80°C. Avoid repeated freeze.
-
貨期:Basically, we can dispatch the products out in 1-3 working days after receiving your orders. Delivery time maybe differs from different purchasing way or location, please kindly consult your local distributors for specific delivery time.
-
用途:For Research Use Only. Not for use in diagnostic or therapeutic procedures.
相關產品
靶點詳情
-
功能:Hydrolyzes lysophosphatidic acid (LPA) containing a medium length fatty acid chain to the corresponding monoacylglycerol. Has highest activity with lysophosphatidic acid containing myristate (C14:0), monounsaturated oleate (C18:1) or palmitate (C16:0), and lower activity with C18:0 and C6:0 lysophosphatidic acid.
-
基因功能參考文獻:
- structures and biochemical studies of human lysophosphatidic acid phosphatase type 6 PMID: 23807634
- acid phosphatase-like protein 1 from human intestinal tissue could be associated with interstitial cells of Cajal function ACPL1 PMID: 12010880
- Human seminal plasma contains this enzyme which converts lysophospholipids to lysophosphatidic acid. PMID: 15280042
-
亞細胞定位:Mitochondrion.
-
蛋白家族:Histidine acid phosphatase family
-
組織特異性:Highly expressed in kidney, heart, small intestine, muscle, liver, prostate, testis, ovary and weakly expressed in thymus and colon.
-
數據庫鏈接:
Most popular with customers
-
-
YWHAB Recombinant Monoclonal Antibody
Applications: ELISA, WB, IHC, IF, FC
Species Reactivity: Human, Mouse, Rat
-
-
-
-
-
-















