ADAMTSL4 Antibody
-
中文名稱:ADAMTSL4兔多克隆抗體
-
貨號:CSB-PA761506ESR1HU
-
規格:¥440
-
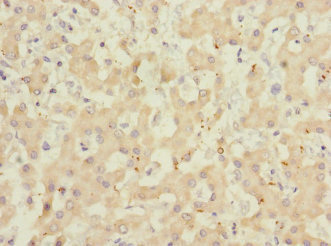
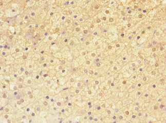
圖片:
-
其他:
產品詳情
-
產品名稱:Rabbit anti-Homo sapiens (Human) ADAMTSL4 Polyclonal antibody
-
Uniprot No.:
-
基因名:ADAMTSL4
-
別名:ADAMTSL4 antibody; TSRC1 antibody; PP1396 antibody; UNQ2803/PRO34012ADAMTS-like protein 4 antibody; ADAMTSL-4 antibody; Thrombospondin repeat-containing protein 1 antibody
-
宿主:Rabbit
-
反應種屬:Human
-
免疫原:Recombinant Human ADAMTS-like protein 4 protein (795-1074AA)
-
免疫原種屬:Homo sapiens (Human)
-
標記方式:Non-conjugated
-
克隆類型:Polyclonal
-
抗體亞型:IgG
-
純化方式:Antigen Affinity Purified
-
濃度:It differs from different batches. Please contact us to confirm it.
-
保存緩沖液:PBS with 0.02% sodium azide, 50% glycerol, pH7.3.
-
產品提供形式:Liquid
-
應用范圍:ELISA, IHC
-
推薦稀釋比:
Application Recommended Dilution IHC 1:20-1:200 -
Protocols:
-
儲存條件:Upon receipt, store at -20°C or -80°C. Avoid repeated freeze.
-
貨期:Basically, we can dispatch the products out in 1-3 working days after receiving your orders. Delivery time maybe differs from different purchasing way or location, please kindly consult your local distributors for specific delivery time.
-
用途:For Research Use Only. Not for use in diagnostic or therapeutic procedures.
相關產品
靶點詳情
-
功能:Positive regulation of apoptosis. May facilitate FBN1 microfibril biogenesis.
-
基因功能參考文獻:
- A recurrent pathogenic ADAMTSL4 variant is a major cause of early onset autosomal recessive ectopia lentis in a Cook Island Maori population and associated with a common haplotype, suggesting a founder effect. PMID: 28394649
- study reports a novel founder mutation in ADAMTSL4 gene in children of Bukharian Jewish origin presenting with early-onset bilateral ectopia lentis PMID: 26653794
- ADAMTSL4 mutations are the main cause for isolated ectopia lentis with an early onset of symptoms and possible severe ocular complications. PMID: 25975359
- Compound heterozygous c.1783dupT and c. 2594G>A mutations of ADAMTSL4 gene were causative mutations for this family with isolated non-syndromic ectopia lentis PMID: 24802351
- We have confirmed the gene and protein expression of ADAMTSL4 in human ocular tissue. The pattern of expression may suggest further functions of this gene beyond those suggested by its causative role in isolated ectopia lentis. PMID: 23846871
- This is the first detailed report of a possible genetic determinant of craniosynostosis with ectopia lentis. PMID: 22871183
- Patients from a family with ectopia lentis et pupillae (ELP) in four generations have autosomal recessive ELP caused by novel mutations in ADAMTSL4. PMID: 23426735
- Mutations in ADAMTSL4 appear to cause earlier manifestation of ectopia lentis and are associated with increased axial length. PMID: 22736615
- Enhanced fibrillin-1 deposition in the presence of ADAMTSL4 and colocalization of ADAMTSL4 with fibrillin-1 in the ECM of cultured fibroblasts suggest a potential role for ADAMTSL4 in the formation or maintenance of the zonule. PMID: 21989719
- The results emphasize the association of ADAMTSL4 null mutations with isolated ectopia lentis and the presence of a founder mutation in the European population. PMID: 21051722
- Ectopia lentis et pupillae is associated with a number of malformations primarily in the anterior segment of the eye. PMID: 20702823
- This study confirms that homozygous mutations in ADAMTSL4 are associated with autosomal-recessive ectopia lentis in British families. PMID: 20564469
- Herein we show a consanguineous family that carries a novel homozygous splice mutation IVS4-1G>A/IVS4-1G>A in ADAMTSL4 responsible for isolated autosomal recessive ectopia lentis. PMID: 20141359
- Mutations in ADAMTSL4 are responsible for autosomal-recessive simple ectopia lentis and this proteins affectsthe development of the zonular fibers. PMID: 19200529
顯示更多
收起更多
-
相關疾病:Ectopia lentis 2, isolated, autosomal recessive (ECTOL2); Ectopia lentis et pupillae (ECTOLP)
-
亞細胞定位:Secreted, extracellular space, extracellular matrix. Note=Colocalizes with FMN1 microfibrils in the eye ECM.
-
組織特異性:Expressed in colon, heart, leukocyte, liver, lung, skeletal muscle, spleen, testis and placenta. Weaker expression in bone marrow, brain tissue, kidney and pancreas. Expression studies in fetal tissues reveal strong expression in heart, kidney, liver, lun
-
數據庫鏈接:
Most popular with customers
-
-
YWHAB Recombinant Monoclonal Antibody
Applications: ELISA, WB, IHC, IF, FC
Species Reactivity: Human, Mouse, Rat
-
Phospho-YAP1 (S127) Recombinant Monoclonal Antibody
Applications: ELISA, WB, IHC
Species Reactivity: Human
-
-
-
-
-















