ADCY6 Antibody
-
中文名稱:ADCY6兔多克隆抗體
-
貨號:CSB-PA001342LA01HU
-
規格:¥440
-
圖片:
-
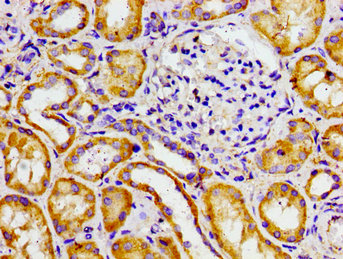
Immunohistochemistry of paraffin-embedded human kidney tissue using CSB-PA001342LA01HU at dilution of 1:100
-
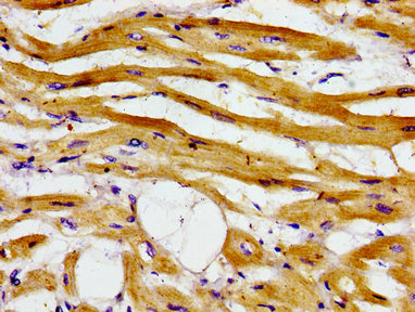
Immunohistochemistry of paraffin-embedded human heart tissue using CSB-PA001342LA01HU at dilution of 1:100
-
Immunofluorescence staining of Hela cells with CSB-PA001342LA01HU at 1:133, counter-stained with DAPI. The cells were fixed in 4% formaldehyde, permeabilized using 0.2% Triton X-100 and blocked in 10% normal Goat Serum. The cells were then incubated with the antibody overnight at 4°C. The secondary antibody was Alexa Fluor 488-congugated AffiniPure Goat Anti-Rabbit IgG(H+L).
-
-
其他:
產品詳情
-
產品名稱:Rabbit anti-Homo sapiens (Human) ADCY6 Polyclonal antibody
-
Uniprot No.:
-
基因名:
-
別名:AC6 antibody; ACVI antibody; ADCY 6 antibody; Adcy6 antibody; ADCY6_HUMAN antibody; ADCYB antibody; Adenylate cyclase 6 antibody; Adenylate cyclase type 6 antibody; Adenylate cyclase type VI antibody; Adenylyl cyclase 6 antibody; ATP pyrophosphate lyase 6 antibody; ATP pyrophosphate-lyase 6 antibody; Ca(2+) inhibitable adenylyl cyclase antibody; Ca(2+)-inhibitable adenylyl cyclase antibody; DKFZp779F075 antibody; EC 4.6.1.1 antibody; KIAA0422 antibody
-
宿主:Rabbit
-
反應種屬:Human
-
免疫原:Recombinant Human Adenylate cyclase type 6 protein (9-118AA)
-
免疫原種屬:Homo sapiens (Human)
-
標記方式:Non-conjugated
本頁面中的產品,ADCY6 Antibody (CSB-PA001342LA01HU),的標記方式是Non-conjugated。對于ADCY6 Antibody,我們還提供其他標記。見下表:
-
克隆類型:Polyclonal
-
抗體亞型:IgG
-
純化方式:>95%, Protein G purified
-
濃度:It differs from different batches. Please contact us to confirm it.
-
保存緩沖液:Preservative: 0.03% Proclin 300
Constituents: 50% Glycerol, 0.01M PBS, pH 7.4 -
產品提供形式:Liquid
-
應用范圍:ELISA, IHC, IF
-
推薦稀釋比:
Application Recommended Dilution IHC 1:20-1:200 IF 1:50-1:200 -
Protocols:
-
儲存條件:Upon receipt, store at -20°C or -80°C. Avoid repeated freeze.
-
貨期:Basically, we can dispatch the products out in 1-3 working days after receiving your orders. Delivery time maybe differs from different purchasing way or location, please kindly consult your local distributors for specific delivery time.
-
用途:For Research Use Only. Not for use in diagnostic or therapeutic procedures.
相關產品
靶點詳情
-
功能:Catalyzes the formation of the signaling molecule cAMP downstream of G protein-coupled receptors. Functions in signaling cascades downstream of beta-adrenergic receptors in the heart and in vascular smooth muscle cells. Functions in signaling cascades downstream of the vasopressin receptor in the kidney and has a role in renal water reabsorption. Functions in signaling cascades downstream of PTH1R and plays a role in regulating renal phosphate excretion. Functions in signaling cascades downstream of the VIP and SCT receptors in pancreas and contributes to the regulation of pancreatic amylase and fluid secretion. Signaling mediates cAMP-dependent activation of protein kinase PKA. This promotes increased phosphorylation of various proteins, including AKT. Plays a role in regulating cardiac sarcoplasmic reticulum Ca(2+) uptake and storage, and is required for normal heart ventricular contractibility. May contribute to normal heart function. Mediates vasodilatation after activation of beta-adrenergic receptors by isoproterenol. Contributes to bone cell responses to mechanical stimuli.
-
基因功能參考文獻:
- rs3730071G/T and rs77913913G/T of ADCY6 were non-polymorphic with respect to HAPE. PMID: 29443612
- model suggests Cys1004 in AC6 (subunit C2) and Cys174 in Galphas present at the AC-Galphas interface as the possible residues that might undergo reversible nitrosylation. Docking analysis predicted novel ligands of AC6 that include forskolin-based compounds and its derivatives. PMID: 29327289
- Sickle cell anemia patients carrying at least one allele of adcy6 rs3730070-G exhibited lower hemolytic rate than non-carriers in univariate analysis (p=0.006). PMID: 27067484
- Mutations in CNTNAP1 and ADCY6 are responsible for severe arthrogryposis multiplex congenita with axoglial defects PMID: 24319099
- AC6 localizes in lipid raft fractions of bronchial airway smooth muscle where it is stimulated by beta2 adrenergic- and prostacyclin receptors and inhibited by divalent calcium ions. PMID: 21228062
- In addition to its direct effect on renin gene transcription, PPARgamma "sensitizes" renin gene to cAMP via trans-activation of AC6 gene. PMID: 20861226
- identified a single nucleotide polymorphism that may play a role in developing left ventricular hypertrophy PMID: 14871025
- Raf1 potentiates drug-stimulated cyclic AMP accumulation in cells expressing adenyl cyclcase 6 after activation of multiple signaling pathways. PMID: 15470083
- A2bR signals through adenylate cyclase (AC) 6 isoform in intestinal epithelial cells PMID: 16631311
- AC6 overexpression in endothelial cells may have use as a means to enhance prostacyclin function and reduce endothelial barrier permeability. PMID: 16885208
- These data show that, in an animal model that mimics key aspects of clinical congestive heart failure, cardiac gene transfer of ACVI increases function of the failing heart. PMID: 17007567
- Expression of a novel, relatively common variant of ADCY6 parallels an increase in adenylyl cyclase activity and adenylyl cyclase-mediated function in humans. PMID: 17916776
- Parathyroid hormone communicates with IP(3)R via "cAMP junctions" that allow local delivery of a supramaximal concentration of cAMP to IP(3)R, directly increasing their sensitivity to IP(3). PMID: 18936250
- The catalytic domains (C1 and C2) of adenylate cyclase 6 play a role in targeting adenylate cyclase 6 to lipid rafts. PMID: 19007881
- Instead the knock down of the predominant subtype AC6 in HUVECs provided the first direct evidence that the Ca(2+)-mediated inhibition of AC6 accounts for the thrombin-induced decrease in cAMP levels. PMID: 19546162
顯示更多
收起更多
-
相關疾病:Lethal congenital contracture syndrome 8 (LCCS8)
-
亞細胞定位:Cell membrane; Multi-pass membrane protein. Cell projection, cilium. Cell projection, stereocilium.
-
蛋白家族:Adenylyl cyclase class-4/guanylyl cyclase family
-
組織特異性:Detected in peripheral blood mononuclear leukocytes (at protein level). Detected in thyroid.
-
數據庫鏈接:
Most popular with customers
-
-
YWHAB Recombinant Monoclonal Antibody
Applications: ELISA, WB, IHC, IF, FC
Species Reactivity: Human, Mouse, Rat
-
Phospho-YAP1 (S127) Recombinant Monoclonal Antibody
Applications: ELISA, WB, IHC
Species Reactivity: Human
-
-
-
-
-















