ADNP Antibody
-
中文名稱:ADNP兔多克隆抗體
-
貨號:CSB-PA887964HA01HU
-
規格:¥440
-
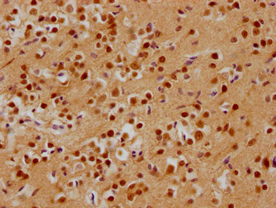
圖片:
-
IHC image of CSB-PA887964HA01HU diluted at 1:200 and staining in paraffin-embedded human brain tissue performed on a Leica BondTM system. After dewaxing and hydration, antigen retrieval was mediated by high pressure in a citrate buffer (pH 6.0). Section was blocked with 10% normal goat serum 30min at RT. Then primary antibody (1% BSA) was incubated at 4°C overnight. The primary is detected by a biotinylated secondary antibody and visualized using an HRP conjugated SP system.
-
Western Blot
Positive WB detected in: U251 whole cell lysate, HL60 whole cell lysate, 293T whole cell lysate
All lanes: ADNP antibody at 1:2000
Secondary
Goat polyclonal to rabbit IgG at 1/50000 dilution
Predicted band size: 124 kDa
Observed band size: 135 kDa
-
-
其他:
產品詳情
-
產品名稱:Rabbit anti-Homo sapiens (Human) ADNP Polyclonal antibody
-
Uniprot No.:
-
基因名:
-
別名:Activity dependent neuroprotective protein antibody; Activity dependent neuroprotector antibody; Activity-dependent neuroprotective protein antibody; Activity-dependent neuroprotector homeobox protein antibody; Adnp antibody; ADNP_HUMAN antibody; KIAA0784 antibody
-
宿主:Rabbit
-
反應種屬:Human
-
免疫原:Recombinant Human Activity-dependent neuroprotector homeobox protein (867-1102AA)
-
免疫原種屬:Homo sapiens (Human)
-
標記方式:Non-conjugated
本頁面中的產品,ADNP Antibody (CSB-PA887964HA01HU),的標記方式是Non-conjugated。對于ADNP Antibody,我們還提供其他標記。見下表:
-
克隆類型:Polyclonal
-
抗體亞型:IgG
-
純化方式:>95%, Protein G purified
-
濃度:It differs from different batches. Please contact us to confirm it.
-
保存緩沖液:Preservative: 0.03% Proclin 300
Constituents: 50% Glycerol, 0.01M PBS, pH 7.4 -
產品提供形式:Liquid
-
應用范圍:ELISA, WB, IHC
-
推薦稀釋比:
Application Recommended Dilution WB 1:1000-1:5000 IHC 1:200-1:500 -
Protocols:
-
儲存條件:Upon receipt, store at -20°C or -80°C. Avoid repeated freeze.
-
貨期:Basically, we can dispatch the products out in 1-3 working days after receiving your orders. Delivery time maybe differs from different purchasing way or location, please kindly consult your local distributors for specific delivery time.
-
用途:For Research Use Only. Not for use in diagnostic or therapeutic procedures.
相關產品
靶點詳情
-
功能:Potential transcription factor. May mediate some of the neuroprotective peptide VIP-associated effects involving normal growth and cancer proliferation.
-
基因功能參考文獻:
- in patients with intellectual disability, autism spectrum disorder and features suggestive of Noonan syndrome should have DNA analysis for the ADNP gene if the Noonan syndrome panel failed to identify a specific mutation. PMID: 29424797
- The role of ADNP in autophagy, and in autism, schizophrenia and Alzheimer's disease is described. PMID: 28940660
- Our findings indicate that ADNP is a tumor suppressor and promising prognostic marker, and that ketamine treatment with ADNP induction is a potential therapeutic approach that may add benefit to current treatment protocols for patients with colorectal cancer PMID: 27903678
- From a clinical standpoint, a differential diagnosis of patients with blepharophimosis should include ADNP mutations in addition to blepharophimosis ptosis epicanthus inversus syndrome, especially when intellectual disability is present PMID: 28407407
- The parents of 44/54 ADNP-mutated children reported an almost full erupted dentition by 1 year of age, including molars and only 10 of the children had teeth within the normal developmental time range. PMID: 28221363
- SHANK3, CHD8, and ADNP had distinctly higher scores than all other genes in the dataset describing the genes associated with autism spectrum disorders. PMID: 27790361
- The study identified intratumoral heterogeneity (ITH) of the ADNP mutations in colorectal cancers, suggesting that ADNP mutations occurred during tumor progression rather than as an early event. The generation of ITH may influence on clinical outcome of the cancer patients. PMID: 27308845
- These findings demonstrate that the down-regulation of protein ADNP is an early pathological alteration and may contribute to dopaminergic neurodegeneration in Parkinson's disease PMID: 27003787
- This review covers the myriad of important ADNP-protein interactions and glimpse at their potential meaning in autism, schizophrenia and Alzheimer's disease. [review] PMID: 25955282
- ADNP expression was increased in male hippocampus samples compared to female samples. PMID: 25646590
- Mutations in the ADNP gene cause syndromic autism.Ample evidence exists that ADNP is of key importance for proper functioning of the nBAF complex. PMID: 25169753
- This study showed ADNP that deregulated in postmortem hippocampal samples from schizophrenia patients, but that now showed a significantly increased expression in lymphocytes from related patients. PMID: 24365867
- Ten patients with autism spectrum disorders and other shared clinical characteristics, including intellectual disability and facial dysmorphisms caused by a mutation in ADNP, a transcription factor involved in the SWI/SNF remodeling complex. PMID: 24531329
- Chromatin immunoprecipitation demonstrates the ability of ADNP to bind to its own promoter, consistent with its action as a repressor of both promoter-supported and endogenous ADNP expression. PMID: 21647709
- Our results suggested that ADNP may play an important role in slowing the progression of clinical symptoms of AD. PMID: 22554909
- ADNP is expressed in many immune system cells. ADNP mRNA is reduced in PBMCs in MS. The peptide NAP, which plays an important role in neuroprotection, has potential immunomodulatory properties. PMID: 19923857
- Activity-dependent neuroprotective protein constitutes a novel element in the SWI/SNF chromatin remodeling complex. PMID: 17878164
顯示更多
收起更多
-
相關疾?。?/div>Helsmoortel-van der Aa syndrome (HVDAS)亞細胞定位:Nucleus.組織特異性:Widely expressed. Strong expression in heart, skeletal muscle, kidney and placenta. In brain, expression is stronger in the cerebellum and cortex regions. No expression detected in the colon. Strong increase of expression in colon and breast cancer tissue數據庫鏈接:
Most popular with customers
-
-
YWHAB Recombinant Monoclonal Antibody
Applications: ELISA, WB, IHC, IF, FC
Species Reactivity: Human, Mouse, Rat
-
Phospho-YAP1 (S127) Recombinant Monoclonal Antibody
Applications: ELISA, WB, IHC
Species Reactivity: Human
-
-
-
-
-















