AGR3 Antibody
-
中文名稱:AGR3兔多克隆抗體
-
貨號:CSB-PA461581
-
規格:¥1100
-
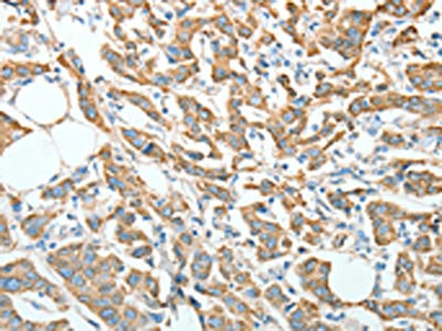
圖片:
-
The image on the left is immunohistochemistry of paraffin-embedded Human breast cancer tissue using CSB-PA461581(AGR3 Antibody) at dilution 1/10, on the right is treated with fusion protein. (Original magnification: ×200)
-
The image on the left is immunohistochemistry of paraffin-embedded Human thyroid cancer tissue using CSB-PA461581(AGR3 Antibody) at dilution 1/10, on the right is treated with fusion protein. (Original magnification: ×200)
-
-
其他:
產品詳情
-
Uniprot No.:
-
基因名:AGR3
-
別名:AG-3 antibody; AG3 antibody; Agr3 antibody; AGR3_HUMAN antibody; Anterior gradient 3; xenopus; homolog of antibody; Anterior gradient homolog 3 antibody; Anterior gradient homolog 3 (Xenopus laevis) antibody; anterior gradient protein 3 antibody; Anterior gradient protein 3 homolog antibody; BCMP11 antibody; Breast cancer membrane protein 11 antibody; Gm888 antibody; hAG 3 antibody; hAG-3 antibody; HAG3 antibody; OTTHUMP00000158512 antibody; PDIA18 antibody; Protein disulfide isomerase family A member 18 antibody
-
宿主:Rabbit
-
反應種屬:Human,Mouse
-
免疫原:Fusion protein of Human AGR3
-
免疫原種屬:Homo sapiens (Human)
-
標記方式:Non-conjugated
-
抗體亞型:IgG
-
純化方式:Antigen affinity purification
-
濃度:It differs from different batches. Please contact us to confirm it.
-
保存緩沖液:-20°C, pH7.4 PBS, 0.05% NaN3, 40% Glycerol
-
產品提供形式:Liquid
-
應用范圍:ELISA,IHC
-
推薦稀釋比:
Application Recommended Dilution ELISA 1:1000-1:2000 IHC 1:15-1:50 -
Protocols:
-
儲存條件:Upon receipt, store at -20°C or -80°C. Avoid repeated freeze.
-
貨期:Basically, we can dispatch the products out in 1-3 working days after receiving your orders. Delivery time maybe differs from different purchasing way or location, please kindly consult your local distributors for specific delivery time.
-
用途:For Research Use Only. Not for use in diagnostic or therapeutic procedures.
相關產品
靶點詳情
-
功能:Required for calcium-mediated regulation of ciliary beat frequency and mucociliary clearance in the airway. Might be involved in the regulation of intracellular calcium in tracheal epithelial cells.
-
基因功能參考文獻:
- Results show that AGR3 was highly upregulated in low-grade serous carcinoma (LGSC) compared to high-grade serous carcinoma (HGSC). It can be use along with p53 for differential diagnosis of HGSC and LGSC. PMID: 29620196
- transcriptionally activated in hepatitis C virus-infected cells by HCV NS5A PMID: 25868611
- Data show the potential usability of anterior gradient homolog 3 (AGR3) and anterior gradient homolog 2 (AGR2) as biomarkers for blood-based early detection of breast cancer. PMID: 25875093
- AGR3 is a specialized member of the PDI family that plays an unexpected role in the regulation of CBF and mucociliary clearance in the airway. PMID: 25751668
- Relying on available data and in silico analyses, study shows that AGR2 and AGR3 proteins are co-expressed or uncoupled in context-dependent manners in diverse carcinomas and healthy tissues. PMID: 25666661
- AGR3 was is predominantly expressed in liver cholangiocytes but not present in liver hepatocytes, making this protain a good marker for differential diagnosis of intrahepatic cholangiocarcinoma PMID: 24747240
- AGR3 expression in ovarian cancer is independent of oestrogen-receptor expression. PMID: 22361111
- AGR3 could serve as a prognostic marker for survival in patients with low grade and high grade serous ovarian carcinomas. PMID: 21451362
- hAG-2 and hAG-3, human homologues of genes involved in differentiation, are associated with oestrogen receptor-positive breast tumours and interact with metastasis gene C4.4a and dystroglycan [hAG-3 protein] PMID: 12592373
- specific induction of Hag2 and Hag3 during hormone-induced breast carcinomas further support developmental specificity for the PDI/ERp family members PMID: 15935701
顯示更多
收起更多
-
亞細胞定位:Endoplasmic reticulum.
-
蛋白家族:AGR family
-
組織特異性:Expressed in the lung, in the ciliated cells of the airway epithelium. Expression increased with differentiation of airway epithelial cells. Not detected in the mucous cells. Expressed in ciliated cells in the oviduct. Also detected in stomach, colon, pro
-
數據庫鏈接:
Most popular with customers
-
-
YWHAB Recombinant Monoclonal Antibody
Applications: ELISA, WB, IHC, IF, FC
Species Reactivity: Human, Mouse, Rat
-
Phospho-YAP1 (S127) Recombinant Monoclonal Antibody
Applications: ELISA, WB, IHC
Species Reactivity: Human
-
-
-
-
-
VDAC1 Recombinant Monoclonal Antibody
Applications: ELISA, WB, IHC
Species Reactivity: Human, Mouse, Rat















