AGRP Antibody
-
中文名稱:AGRP兔多克隆抗體
-
貨號:CSB-PA05699A0Rb
-
規格:¥440
-
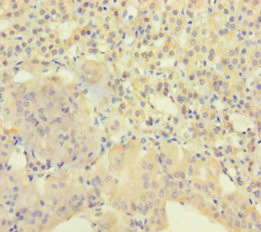
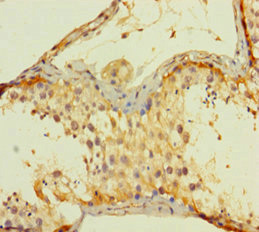
圖片:
-
其他:
產品詳情
-
產品名稱:Rabbit anti-Homo sapiens (Human) AGRP Polyclonal antibody
-
Uniprot No.:
-
基因名:
-
別名:Agouti related neuropeptide antibody; Agouti Related Protein Homolog antibody; Agouti-related protein antibody; Agrp antibody; AGRP_HUMAN antibody; AGRT antibody; ART antibody; ASIP2 antibody
-
宿主:Rabbit
-
反應種屬:Human
-
免疫原:Recombinant Human Agouti-related protein (83-132AA)
-
免疫原種屬:Homo sapiens (Human)
-
標記方式:Non-conjugated
本頁面中的產品,AGRP Antibody (CSB-PA05699A0Rb),的標記方式是Non-conjugated。對于AGRP Antibody,我們還提供其他標記。見下表:
-
克隆類型:Polyclonal
-
抗體亞型:IgG
-
純化方式:>95%, Protein G purified
-
濃度:It differs from different batches. Please contact us to confirm it.
-
保存緩沖液:Preservative: 0.03% Proclin 300
Constituents: 50% Glycerol, 0.01M PBS, PH 7.4 -
產品提供形式:Liquid
-
應用范圍:ELISA, IHC
-
推薦稀釋比:
Application Recommended Dilution IHC 1:20-1:200 -
Protocols:
-
儲存條件:Upon receipt, store at -20°C or -80°C. Avoid repeated freeze.
-
貨期:Basically, we can dispatch the products out in 1-3 working days after receiving your orders. Delivery time maybe differs from different purchasing way or location, please kindly consult your local distributors for specific delivery time.
-
用途:For Research Use Only. Not for use in diagnostic or therapeutic procedures.
相關產品
靶點詳情
-
功能:Plays a role in weight homeostasis. Involved in the control of feeding behavior through the central melanocortin system. Acts as alpha melanocyte-stimulating hormone antagonist by inhibiting cAMP production mediated by stimulation of melanocortin receptors within the hypothalamus and adrenal gland. Has very low activity with MC5R. Is an inverse agonist for MC3R and MC4R being able to suppress their constitutive activity. It promotes MC3R and MC4R endocytosis in an arrestin-dependent manner.
-
基因功能參考文獻:
- AgRP is not associated with changes in hunger or satiety, and can change without corresponding changes in leptin. This suggests that AgRP may not be involved in the episodic control of appetite and the release of AgRP may involve signals other than leptin. PMID: 27476955
- data provide compelling evidence that AgRP is a heparan sulfate-binding protein and localizes critical regions in the AgRP structure required for this interaction. PMID: 28264929
- The aim of this survey is to evaluate the association of genetic variants of melanocortin-4-receptor (MC4R), pro-opiomelanocortin (POMC), apolipoprotein E (APOE) and agouti-related protein (AGRP) with obesity in the North Indian population. PMID: 26226973
- CSF AgRP was not different in lean vs. overweight/obese subjects; however, plasma AgRP was higher in lean subjects. PMID: 26152765
- human agouti-related protein has a role in enhancing expression and stability of human melanocortin-4 receptor PMID: 25446108
- Variations in genes AGRP, CPE, GHRL, GLP1R, HTR2A, NPY1R, NPY5R, SOCS3 and STAT3 showed modest associations with BMI in European Americans. PMID: 23900445
- Elevations in AgRP also favor the diagnosis of ectopic ACTH syndrome, suggesting AgRP should be further evaluated as a potential neuroendocrine tumor marker. PMID: 25013995
- AGRP SNP (rs1338993) was not associated with antipsychotic-induced weight gain in schizophrenia patients. PMID: 24564533
- Data suggest that prolonged steady-state exercise/physical activity at moderate intensity elicits substantial increases in blood lactate and cortisol concentrations without a significant change in AgRP; study was pilot project involving men. PMID: 22477065
- Despite peripheral hyperleptinemia, positive energy balance is achieved during pregnancy by a relative decrease in central leptin concentrations and resistance to leptin's effects on target neuropeptides that regulate energy balance. PMID: 23118421
- AgRP and NPY are correlated with body weight changes, rather than the presence of type 2 diabetes, whereas changes in alphaMSH immunoreactivity are related to the presence of type 2 diabetes, indicating separate hypothalamic mechanisms. PMID: 22492775
- Cognitive flexibility plays an important role in anorexia nervosa and may be modulated by abnormal levels of the appetite-regulating peptide AGRP. PMID: 21531082
- This review defines how peripheral signals (particularly leptin, insulin and glucose) converge on a molecular level in proopiomelanocortin (POMC)- and agouti-related protein (AgRP)-expressing arcuate nucleus neurons to control energy homeostasis. PMID: 19770186
- Only the patients with nonalcoholic fatty liver presented a positive correlation between the saturated fatty acids intake and the orexigenic neuropeptides NPY and agouti related protein, and carbohydrate with NPY PMID: 20164781
- AgRP may provide an important signal in the immune environment and the lymphocyte may be considered as an extra-hypothalamic source of plasma AgRP following exercise stress PMID: 20404050
- Agouti-related protein is neatively correlated with nonalcolic fatty liver disease in obese adolescents. PMID: 19942238
- A polymorphism, 199G>A, resulted in substitution of the amino acid at position 67 from alanine to threonine. PMID: 11602360
- NMR structural studies show that the loop in the first 16 residues of the C-terminal domain of AGRP confers distinct selectivity for melanocortin receptors MC3R and MC4R. PMID: 11747427
- the c.199G-->A polymorphism in hAGRP could play a role in the development of human obesity in an age-dependent fashion PMID: 12213871
- Ala67Thr polymorphism in the Agouti-related peptide gene is associated with inherited leanness in humans PMID: 15054840
- Two single nucleotide polymorphisms in the AGRP promotor showed opposite effects on promotor activity. PMID: 15121772
- Serum levels could serve as useful peripheral markers of changes in energy homeostasis. PMID: 15546902
- the C-terminus of AgRP can participate in the insulin secretion in pancreatic beta cells, through the modulation of calcium release PMID: 15978665
- Single-nucleotide polymorphisms found in anorexia nervosa. PMID: 16314751
- AgRP may have a novel inhibitory paracrine role in the human adrenal gland PMID: 16320160
- analysis of molecular basis of melanocortin-4 receptor for AGRP inverse agonism PMID: 16820227
- Plasma Agouti-related protein (AGRP)elevation may be related to energy homeostasis disturbance in anorexia nervosa, and in addition to leptin, peripheral AGRP levels could be used as a nutritional marker in AN patients. PMID: 16904835
- in addition to its inverse agonistic activities, Agrp exhibits agonistic properties on the endocytosis pathway of melanocortin-3 and -4 receptors PMID: 17041250
- a rare mutation, +79G>A, was identified in the AGRP minimal promoter; the +79G>A mutation could predispose to body weight gain PMID: 17180153
- two adjacent enhancers inside the first intron of the neighboring (1.4 kb downstream) ATPase gene (ATP6V0D1) modulate the human AgRP promoter with profound spatiotemporal variation PMID: 19285986
- This study presents an association of rare allele of AGRP polymorphism in heterozygous state with increased body mass index PMID: 19602223
- The high expressing C/C genotype of AGRP was significantly associated with high BMI and type 2 diabetes in Africans. PMID: 11554767
顯示更多
收起更多
-
相關疾?。?/div>Obesity (OBESITY)亞細胞定位:Secreted. Golgi apparatus lumen.組織特異性:Expressed primarily in the adrenal gland, subthalamic nucleus, and hypothalamus, with a lower level of expression occurring in testis, lung, and kidney.數據庫鏈接:
Most popular with customers
-
-
YWHAB Recombinant Monoclonal Antibody
Applications: ELISA, WB, IHC, IF, FC
Species Reactivity: Human, Mouse, Rat
-
Phospho-YAP1 (S127) Recombinant Monoclonal Antibody
Applications: ELISA, WB, IHC
Species Reactivity: Human
-
-
-
-
-















