AHI1 Antibody
-
中文名稱:AHI1兔多克隆抗體
-
貨號:CSB-PA836642LA01HU
-
規格:¥440
-
圖片:
-
Western Blot
Positive WB detected in: K562 whole cell lysate, SH-SY5Y whole cell lysate, HL-60 whole cell lysate, U251 whole cell lysate
All lanes: AHI1 antibody at 1:2000
Secondary
Goat polyclonal to rabbit IgG at 1/50000 dilution
Predicted band size: 138, 121, 71 kDa
Observed band size: 138 kDa -
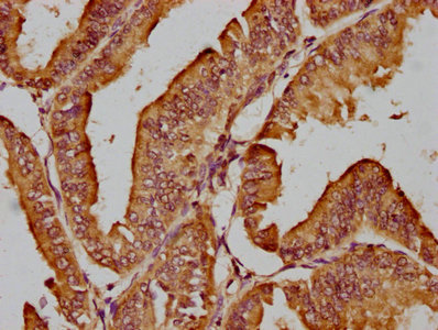
IHC image of CSB-PA836642LA01HU diluted at 1:200 and staining in paraffin-embedded human endometrial cancer performed on a Leica BondTM system. After dewaxing and hydration, antigen retrieval was mediated by high pressure in a citrate buffer (pH 6.0). Section was blocked with 10% normal goat serum 30min at RT. Then primary antibody (1% BSA) was incubated at 4°C overnight. The primary is detected by a biotinylated secondary antibody and visualized using an HRP conjugated SP system.
-
-
其他:
產品詳情
-
產品名稱:Rabbit anti-Homo sapiens (Human) AHI1 Polyclonal antibody
-
Uniprot No.:
-
基因名:
-
別名:Abelson helper integration site 1 antibody; Abelson helper integration site 1 protein homolog antibody; Abelson helper integration site antibody; AHI 1 antibody; AHI-1 antibody; Ahi1 antibody; AHI1_HUMAN antibody; Contatins SH3 and WD40 domains antibody; dJ71N10.1 antibody; DKFZp686J1653 antibody; FLJ14023 antibody; FLJ20069 antibody; JBTS3 antibody; Jouberin antibody; ORF1 antibody; OTTHUMP00000017263 antibody; OTTHUMP00000017265 antibody; OTTHUMP00000234456 antibody; OTTHUMP00000234654 antibody; OTTHUMP00000234656 antibody
-
宿主:Rabbit
-
反應種屬:Human
-
免疫原:Recombinant Human Jouberin protein (1-213AA)
-
免疫原種屬:Homo sapiens (Human)
-
標記方式:Non-conjugated
本頁面中的產品,AHI1 Antibody (CSB-PA836642LA01HU),的標記方式是Non-conjugated。對于AHI1 Antibody,我們還提供其他標記。見下表:
-
克隆類型:Polyclonal
-
抗體亞型:IgG
-
純化方式:>95%, Protein G purified
-
濃度:It differs from different batches. Please contact us to confirm it.
-
保存緩沖液:Preservative: 0.03% Proclin 300
Constituents: 50% Glycerol, 0.01M PBS, pH 7.4 -
產品提供形式:Liquid
-
應用范圍:ELISA, WB, IHC
-
推薦稀釋比:
Application Recommended Dilution WB 1:1000-1:5000 IHC 1:200-1:500 -
Protocols:
-
儲存條件:Upon receipt, store at -20°C or -80°C. Avoid repeated freeze.
-
貨期:Basically, we can dispatch the products out in 1-3 working days after receiving your orders. Delivery time maybe differs from different purchasing way or location, please kindly consult your local distributors for specific delivery time.
-
用途:For Research Use Only. Not for use in diagnostic or therapeutic procedures.
相關產品
靶點詳情
-
功能:Involved in vesicle trafficking and required for ciliogenesis, formation of primary non-motile cilium, and recruitment of RAB8A to the basal body of primary cilium. Component of the tectonic-like complex, a complex localized at the transition zone of primary cilia and acting as a barrier that prevents diffusion of transmembrane proteins between the cilia and plasma membranes. Involved in neuronal differentiation. As a positive modulator of classical Wnt signaling, may play a crucial role in ciliary signaling during cerebellum embryonic development.
-
基因功能參考文獻:
- Two copies of the MS risk allele within AHI1 (rs11154801) is associated with increased relapses among children and adults. PMID: 29409597
- Elevated ORF1p expression is associated with tumor progression. ROS experimentally induce ORF1p expression and promote migration in bladder cancer cells. PMID: 29496693
- Kidney disease occurs in up to one third of patients with Joubert syndrome, most commonly in those with mutations in CEP290, TMEM67, and AHI1. PMID: 29146704
- study determined that variants in the AHI1 gene can cause non-syndromic retinitis pigmentosa (RP) next to Joubert syndrome;, patients with RP and with pathogenic AHI1 variants have a late onset of disease and mild progression PMID: 28442542
- Jbn expression correlates with the proliferation, invasive potential and invasion strategy of the tested tumor cells, and that its downregulation reduces their capability of migrating and invading the extracellular matrix PMID: 28361800
- Results identified 74 somatic insertions in squamous cell carcinoma of the esophagus (SCC); 12 of them appeared to be somatic, not genetically inherited, and sub-clonal in the adjacent normal esophagus, while clonal in the tumor. These results indicate that L1 retrotransposition is active in SCC of the esophagus and that insertion events are present in histologically NE that expands clonally in the subsequent tumors. PMID: 27319353
- a new AHI-1-BCR-ABL-DNM2 protein complex was uncovered, which regulates leukemic properties of these cells through a unique mechanism of cellular endocytosis and ROS-mediated autophagy. Thus, targeting this complex may facilitate eradication of LSCs for curative therapies PMID: 28366933
- introduction of equivalent stop codons in the full-length human L1 sequence leads to the expression of truncated ORF1 proteins. PMID: 28431148
- Aicardi-Goutieres syndrome protein TREX1 suppresses L1 and maintains genome integrity through exonuclease-independent ORF1p depletion. PMID: 28334850
- We observed that a cis-eQTL of AHI1, rs11154801, showed significant association with AHI1 expression. Genetic evidence exhibited that rs11154801 was significantly associated with schizophrenia risk in both the discovery and the replication sample. These results suggested that AHI1 is likely a risk gene for schizophrenia, at least in European populations. PMID: 27585752
- We examined a Chinese strabismus pedigree with the parents unaffected and 2 offspring affected. Whole-exome sequencing and bioinformatics filtering identified 2 variants including Abelson helper integration site 1 (AHI1) gene and nebulin (NEB) gene. The variant in the AHI1 gene, c.A3257G (p.E1086G), and the altered amino acid had a damaging effect on the encoded protein predicted by Polyphen2. PMID: 28391287
- A homozygous mutation located in exon 7 was present in the three Joubert syndrome-affected Moroccan siblings. PMID: 26541515
- Homozygosity mapping and WES in the only other reported JBTS family with a homozygous C-terminal truncation (p.Trp1088Leufs*16) confirmed AHI1 as disease gene. PMID: 25616960
- Two SNPs of AHI1 (rs7750586 and rs9647635) were associated with clinical improvement of negative symptoms in the allelic analysis, although in the genotypic analysis, only trends of association were found for the same SNPs. PMID: 25622261
- Joubert syndrome-associated missense mutations alter the subcellular distribution and protein interactions of AHI1. PMID: 23532844
- The WD40-repeat domain of AHI-1 interacts with BCR-ABL, whereas the N-terminal region interacts with JAK2; loss of these interactions statistically significantly increased the IM sensitivity of CML cells. PMID: 23446755
- Downregulation of CDKN1C is associated with poor disease outcome in patients with cutaneous T-cell lymphoma, while upregulation of AHI1 shows a weak association with aggressive disease course. PMID: 23171462
- a role for AHI1 and CEP290 in multiple organs throughout development PMID: 23028714
- There was a significant linear trend for increasing AHI1 gene copy number frequencies with increasing body mass index. PMID: 22285701
- Data suggest that that the change in AHI1 expression during chronic myeloid leukemia (CML) therapy might be under the control of mechanisms independent from BCR-ABL1. PMID: 22183070
- Ahi1 mediates feeding behavior by interacting with 5-HT(2C)R to modulate the serotonin signaling pathway. PMID: 22123816
- Over-expression of exogenous Ahi-1 can not only inhibit the growth and colony formation potential of Jurkat cells, but also induce phosphorylation of c-myb. PMID: 19379585
- Our data demonstrate a key role for CEP290 in Leber Congenital Amaurosis (LCA) and identify 2 AHI1 mutations as neurological modifiers of the CEP290 related disease. PMID: 20683928
- the contribution of AHI1 to the susceptibility of schizophrenia PMID: 20805890
- This study provides further evidence for involvement of AHI1 in susceptibility to schizophrenia. PMID: 20452750
- role of AHI1 as a susceptibility gene for schizophrenia; confirm it has been subjected to positive selection PMID: 20371615
- These findings indicate a novel role for AHI1 in skeletal muscle and identify additional genetic links with metabolic syndrome phenotypes suggesting an involvement of AHI1 in the maintenance of glucose homeostasis and type 2 diabetes mellitus progression PMID: 20045148
- in both mice and humans, Ahi-1/AHI-1 expression is highest in the most primitive hematopoietic cells with specific patterns of down-regulation in different lineages. Cells from CML patients show elevated AHI-1 transcripts in all disease phases PMID: 14751929
- Here we identified a locus associated with Joubert syndrome, JBTS3, on chromosome 6q23.2-q23.3 and found three deleterious mutations in AHI1, the first gene to be associated with Joubert syndrome PMID: 15322546
- AHI1 is required for both cerebellar and cortical development in humans. Mutations associated with Joubert syndrome. PMID: 15467982
- Joubert syndrome patients with AHI1 mutations are at risk of developing both retinal dystrophy and progressive kidney disease. PMID: 16155189
- AHI1 mutations are a frequent cause of disease in patients with specific forms of Joubert syndrome-related disorders. PMID: 16453322
- Both, AHI1 and C6orf217 appear to be highly relevant candidate genes for schizophrenia. PMID: 16773125
- Epistatic effects that are provided by heterozygous NPHP6 and AHI1 mutations and variants may contribute to the appearance of extrarenal symptoms in patients with NPHP1 mutations. PMID: 17409309
- a case-control study showing that AHI1 contributes to schizophrenia PMID: 17473831
- AHI1 mutations are an important cause of JBS in Dutch patients, and should always be looked for in patients suspected of JBS, especially when retinal dystrophy is present. PMID: 18054307
- Putative association between AHI1 polymorphisms and type 2 diabetes or type 2 diabetes-related metabolic traits in Danish individuals have been disproved. PMID: 18227995
- Jouberin interacts with nephrocystin-1 in HEK293 cells PMID: 18633336
- A role is suggested for AHI1 in common disorders that affect human cognition and behavior, such as Joubert syndrome with autism spectrum disorder. PMID: 18782849
- Results describe spatiotemporal expression patterns of AHI1 and orthologs throughout development, in human, mouse, and zebrafish, and suggest roles for AHI1 in neurodevelopmental processes behind most of the neuroanatomical defects in Joubert syndrome. PMID: 18785627
- AHI-1 interacts with BCR-ABL and modulates BCR-ABL transforming activity and imatinib response of Chronic myeloid leukemia stem/progenitor cells. PMID: 18936234
- Data provide an important basis for further investigations on the transcriptional regulation of the AHI1 gene. PMID: 19191019
- The SH3 domain of human AHI1 was cloned and expressed in Escherichia coli. The protein was purified by affinity and size-exclusion chromatography and was crystallized. PMID: 19342780
顯示更多
收起更多
-
相關疾病:Joubert syndrome 3 (JBTS3)
-
亞細胞定位:Cytoplasm, cytoskeleton, cilium basal body. Cell junction, adherens junction. Cytoplasm, cytoskeleton, microtubule organizing center, centrosome, centriole.
-
組織特異性:Highly expressed in the most primitive normal hematopoietic cells. Expressed in brain, particularly in neurons that give rise to the crossing axons of the corticospinal tract and superior cerebellar peduncles. Expressed in kidney (renal collecting duct ce
-
數據庫鏈接:
Most popular with customers
-
YWHAB Recombinant Monoclonal Antibody
Applications: ELISA, WB, IHC, IF, FC
Species Reactivity: Human, Mouse, Rat
-
Phospho-YAP1 (S127) Recombinant Monoclonal Antibody
Applications: ELISA, WB, IHC
Species Reactivity: Human
-
-
-
-
-
-















