AKAP5 Antibody
-
中文名稱:AKAP5兔多克隆抗體
-
貨號:CSB-PA001527ESR2HU
-
規格:¥440
-
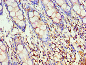
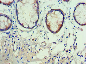
圖片:
-
其他:
產品詳情
-
產品名稱:Rabbit anti-Homo sapiens (Human) AKAP5 Polyclonal antibody
-
Uniprot No.:
-
基因名:AKAP5
-
別名:A kinase (PRKA) anchor protein 5 antibody; A kinase anchor protein 5 antibody; A kinase anchor protein 79kDa antibody; A kinase anchoring protein 75/79 antibody; A-kinase anchor protein 5 antibody; A-kinase anchor protein 79 kDa antibody; AKAP 5 antibody; AKAP 75 antibody; AKAP 79 antibody; AKAP-5 antibody; Akap5 antibody; AKAP5_HUMAN antibody; AKAP75 antibody; AKAP79 antibody; cAMP dependent protein kinase regulatory subunit II high affinity binding protein antibody; cAMP-dependent protein kinase regulatory subunit II high affinity-binding protein antibody; H21 antibody
-
宿主:Rabbit
-
反應種屬:Human
-
免疫原:Recombinant Human A-kinase anchor protein 5 protein (1-270AA)
-
免疫原種屬:Homo sapiens (Human)
-
標記方式:Non-conjugated
-
克隆類型:Polyclonal
-
抗體亞型:IgG
-
純化方式:Antigen Affinity Purified
-
濃度:It differs from different batches. Please contact us to confirm it.
-
保存緩沖液:PBS with 0.02% sodium azide, 50% glycerol, pH7.3.
-
產品提供形式:Liquid
-
應用范圍:ELISA, IHC
-
推薦稀釋比:
Application Recommended Dilution IHC 1:20-1:200 -
Protocols:
-
儲存條件:Upon receipt, store at -20°C or -80°C. Avoid repeated freeze.
-
貨期:Basically, we can dispatch the products out in 1-3 working days after receiving your orders. Delivery time maybe differs from different purchasing way or location, please kindly consult your local distributors for specific delivery time.
-
用途:For Research Use Only. Not for use in diagnostic or therapeutic procedures.
相關產品
靶點詳情
-
功能:Multivalent scaffold protein that anchors the cAMP-dependent protein kinase/PKA to cytoskeletal and/or organelle-associated proteins, targeting the signal carried by cAMP to specific intracellular effectors. Association with the beta2-adrenergic receptor (beta2-AR) not only regulates beta2-AR signaling pathway, but also the activation by PKA by switching off the beta2-AR signaling cascade. Plays a role in long term synaptic potentiation by regulating protein trafficking from the dendritic recycling endosomes to the plasma membrane and controlling both structural and functional plasticity at excitatory synapses.
-
基因功能參考文獻:
- results provide the first direct evidence for a function of the well-described AKAP79/150 trafficking in regulating LTD-induced spine shrinkage. PMID: 29196604
- We determined a crystal structure of CaM bound to a peptide encompassing its binding site in AKAP79. CaM adopts a highly compact conformation in which its open Ca(2+)-activated C-lobe and closed N-lobe cooperate to recognize a mixed alpha/310 helix in AKAP79. PMID: 29162807
- A short-linear interaction motif between residues 337-343 of AKAP79 is the sole PP2B-anchoring determinant sustaining these diverse topologies. PMID: 28967377
- Studies indicate the importance of the AKAP79/PP2B/protein kinase A complex's role in synaptic long-term depression in the CA1 region of the hippocampus. PMID: 27911714
- Cigarette smoke-induced changes in AKAP5 and AKAP12 in patients with COPD may affect efficacy of pharmacotherapy. PMID: 25637608
- human AKAP79-anchored PKC selectively phosphorylates the Robo3.1 receptor subtype on serine 1330 PMID: 25882844
- GPR30 interacted with membrane-associated guanylate kinases and protein kinase A-anchoring protein (AKAP) 5 in the plasma membrane in a PDZ-dependent manner. PMID: 24962572
- a significant role for the AKAP5 scaffold in signaling and trafficking of the beta1-AR in cardiac myocytes and mammalian cells. PMID: 24121510
- Patients with bipolar disorder have higher density of AKAP5-expressing neurons in the anterior cingulate cortex compared with controls. PMID: 23462372
- AKAP79, PKC, PKA and PDE4 participate in a Gq-linked muscarinic receptor and adenylate cyclase 2 cAMP signalling complex. PMID: 23889134
- AKAP5 Pro100Leu effects on emotion processing might be task-dependent with Pro homozygotes showing lower control of emotional interference, but more efficient processing of task-relevant emotional stimuli. PMID: 23383244
- Antagonizing the interaction between AKAP79 and TRPV1 inhibits inflammatory hyperalgesia. PMID: 23616546
- AKAP79 directly interacts with Cav1.2 c-terminus and modulates Cav1.2 membrane targeting. PMID: 22677788
- results reveal novel roles for the AKAP79/150 signaling complex in dendritic endosomes. PMID: 22623657
- show that an IAIIIT anchoring site in human AKAP79 binds the same surface of calcineurin as the PxIxIT recognition peptide of NFAT, albeit more strongly PMID: 22343722
- Mutation of the two critical cysteines results in exclusion of AKAP79 from lipid rafts and alterations in its membrane diffusion behavior and is accompanied by a loss of the ability of AKAP79 to regulate AC8. PMID: 21771783
- AKAP79 may be the key AKAPs responsible for regulating antigen presentation. PMID: 21221125
- dimeric AKAP79 concentrates pockets of second messenger responsive enzyme activities at the plasma membrane. PMID: 21464287
- by favoring apoCaM binding to AKAP79, KN-62 and KN-93 derail the ability of AKAP79 to efficiently recruit PKC for regulation of GluA1. Thus, AKAP79 endows PKC with a pharmacological profile that overlaps with CaMKII. PMID: 21156788
- Studies indicate that the cAMP signaling pathway is organized by A-kinase anchoring proteins and AKAP79 remainis the best-understood anchoring protein. PMID: 20883492
- Data reveal that an association of the Ca(2+)-stimulable AC8 with AKAP79/150 that limits the sensitivity of AC8 to intracellular Ca(2+) events. PMID: 20410303
- that during prenatal development AKAP79 expression increased gradually in the red nucleus PMID: 12077483
- Trafficking of L-type calcium channels is mediated by the postsynaptic scaffolding protein AKAP79. PMID: 12114507
- AKAP79 has a role in organizing large signalling complexes PMID: 12507994
- there is a 13-amino acid region within CN that is essential for the interaction with NFAT and with two other CN-binding proteins, AKAP79 and Cabin-1 PMID: 15671033
- AKAP79 provides cyclic AMP-dependent protein kinase to phosphorylate the beta1-adrenergic receptor and thereby dictate the recycling and resensitization itineraries of the beta1-adrenergic receptor PMID: 16940053
- AKAP79 interacts with adenylyl cyclase V and adenylyl cyclase VI in a complex that associates with protein kinase A forming a negative feedback loop that termporally regulates cAMP production. PMID: 16973443
- AKAP150 and the protein phosphatase calcineurin are binding proteins to ASIC2a, and calcineurin regulates ASIC1a and ASIC2a activity PMID: 17548344
- AKAP79 provides a mechanism to overcome limitations in kinase abundance thereby ensuring faithful signal propagation and efficient modification of AMPA receptor-mediated responses PMID: 18305116
- AKAP5 protein is associated with its G-protein-coupled receptor, at the cell membrane, docked with the receptor during agonist-induced internalization and later receptor recycling after agonist wash-out. PMID: 18950703
顯示更多
收起更多
-
亞細胞定位:Postsynaptic recycling endosome membrane; Lipid-anchor.
-
組織特異性:Predominantly in the cerebral cortex and the postsynaptic densities of the forebrain, and to a lesser extent in adrenal medulla, lung and anterior pituitary.
-
數據庫鏈接:
Most popular with customers
-
-
YWHAB Recombinant Monoclonal Antibody
Applications: ELISA, WB, IHC, IF, FC
Species Reactivity: Human, Mouse, Rat
-
Phospho-YAP1 (S127) Recombinant Monoclonal Antibody
Applications: ELISA, WB, IHC
Species Reactivity: Human
-
-
-
-
-















