AKR7A2 Antibody
-
中文名稱:AKR7A2兔多克隆抗體
-
貨號:CSB-PA001550ESR2HU
-
規格:¥440
-
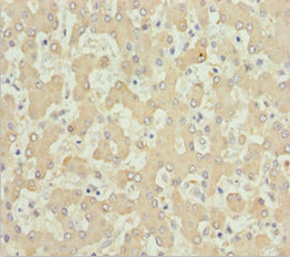
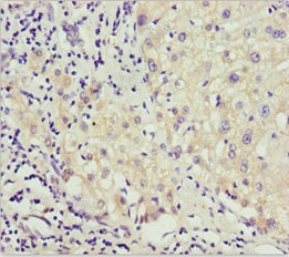
圖片:
-
其他:
產品詳情
-
產品名稱:Rabbit anti-Homo sapiens (Human) AKR7A2 Polyclonal antibody
-
Uniprot No.:
-
基因名:AKR7A2
-
別名:AFAR antibody; AFAR1 antibody; AFB1 aldehyde reductase 1 antibody; AFB1 AR1 antibody; AFB1-AR 1 antibody; AFB1AR1 antibody; Aflatoxin aldehyde reductase antibody; Aflatoxin B1 aldehyde reductase member 2 antibody; Aflatoxin beta1 aldehyde reductase antibody; Aiar antibody; AKR7 antibody; Akr7a2 antibody; Aldo keto reductase family 7 antibody; Aldo keto reductase family 7 member A2 aflatoxin aldehyde reductase antibody; Aldo keto reductase family 7 member A2 antibody; Aldo keto reductase family 7; member A2 (aflatoxin aldehyde reductase) antibody; Aldoketoreductase 7 antibody; ARK72_HUMAN antibody; SSA reductase antibody; Succinic semialdehyde reductase antibody
-
宿主:Rabbit
-
反應種屬:Human
-
免疫原:Recombinant Human Aflatoxin B1 aldehyde reductase member 2 protein (100-359AA)
-
免疫原種屬:Homo sapiens (Human)
-
標記方式:Non-conjugated
-
克隆類型:Polyclonal
-
抗體亞型:IgG
-
純化方式:Antigen Affinity Purified
-
濃度:It differs from different batches. Please contact us to confirm it.
-
保存緩沖液:PBS with 0.02% sodium azide, 50% glycerol, pH7.3.
-
產品提供形式:Liquid
-
應用范圍:ELISA, IHC
-
推薦稀釋比:
Application Recommended Dilution IHC 1:20-1:200 -
Protocols:
-
儲存條件:Upon receipt, store at -20°C or -80°C. Avoid repeated freeze.
-
貨期:Basically, we can dispatch the products out in 1-3 working days after receiving your orders. Delivery time maybe differs from different purchasing way or location, please kindly consult your local distributors for specific delivery time.
-
用途:For Research Use Only. Not for use in diagnostic or therapeutic procedures.
相關產品
靶點詳情
-
功能:Catalyzes the NADPH-dependent reduction of succinic semialdehyde to gamma-hydroxybutyrate. May have an important role in producing the neuromodulator gamma-hydroxybutyrate (GHB). Has broad substrate specificity. Has NADPH-dependent aldehyde reductase activity towards 2-carboxybenzaldehyde, 2-nitrobenzaldehyde and pyridine-2-aldehyde (in vitro). Can reduce 1,2-naphthoquinone and 9,10-phenanthrenequinone (in vitro). Can reduce the dialdehyde protein-binding form of aflatoxin B1 (AFB1) to the non-binding AFB1 dialcohol. May be involved in protection of liver against the toxic and carcinogenic effects of AFB1, a potent hepatocarcinogen.
-
基因功能參考文獻:
- AKR7A2 physically interacts with CYGB. PMID: 28536627
- induced expression in human monocytes following exposure to Aflatoxin B1 PMID: 25027672
- AKR7A2 contributes to protection against MG-induced toxicity. PMID: 25451587
- structure and tissue-related expression of AFAR genes on chromosome 1 PMID: 12879023
- The human aldo-keto reductase AKR7A2 has been proposed previously to catalyze the NADPH-dependent reduction of succinic semialdehyde (SSA) to gamma-Hydroxybutyrate in human brain PMID: 17591773
- The human AFAR gene family maps to a genomic region in 1p36 of frequent hemizygous deletions in various human cancers. PMID: 18752886
- Aflatoxin B(1) aldehyde reductase (AKR7A2) was confirmed to be only highly expressed in pancreatic cancer, not in normal adjacent pancreas and benign tumors. PMID: 19077459
顯示更多
收起更多
-
亞細胞定位:Golgi apparatus. Cytoplasm.
-
蛋白家族:Aldo/keto reductase family, Aldo/keto reductase 2 subfamily
-
組織特異性:Detected in brain, liver, small intestine and testis, and at lower levels in heart, prostate, skeletal muscle and spleen. Detected in kidney proximal and distal tubules, endothelial cells lining the Bowman's capsules and some cysts. Detected at low levels
-
數據庫鏈接:
Most popular with customers
-
-
YWHAB Recombinant Monoclonal Antibody
Applications: ELISA, WB, IHC, IF, FC
Species Reactivity: Human, Mouse, Rat
-
-
-
-
-
-















