ALG1 Antibody
-
中文名稱:ALG1兔多克隆抗體
-
貨號:CSB-PA887118ESR1HU
-
規格:¥440
-
圖片:
-
Western blot
All lanes: ALG1 antibody at 10μg/ml + Hela whole cell lysate
Secondary
Goat polyclonal to rabbit IgG at 1/10000 dilution
Predicted band size: 53, 41 kDa
Observed band size: 53 kDa -
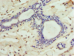
Immunohistochemistry of paraffin-embedded human breast cancer using CSB-PA887118ESR1HU at dilution of 1:100
-
Immunohistochemistry of paraffin-embedded human lung tissue using CSB-PA887118ESR1HU at dilution of 1:100
-
-
其他:
產品詳情
-
產品名稱:Rabbit anti-Homo sapiens (Human) ALG1 Polyclonal antibody
-
Uniprot No.:
-
基因名:ALG1
-
別名:4-mannosyltransferase antibody; Alg1 antibody; ALG1_HUMAN antibody; asparagine-linked glycosylation 1 homolog (yeast; beta-1,4-mannosyltransferase) antibody; asparagine-linked glycosylation 1; beta-1,4-mannosyltransferase homolog (S. cerevisiae) antibody; Asparagine-linked glycosylation protein 1 homolog antibody; Beta 1 4 mannosyltransferase antibody; Beta-1 antibody; CDG1K antibody; Chitobiosyldiphosphodolichol beta-mannosyltransferase antibody; GDP Man GlcNAc2 PP dolichol mannosyltransferase antibody; GDP-Man:GlcNAc2-PP-dolichol mannosyltransferase antibody; GDP-mannose-dolichol diphosphochitobiose mannosyltransferase antibody; Hmat-1 antibody; HMAT1 antibody; HMT 1 antibody; HMT1 antibody; Mannosyltransferase 1 antibody; Mannosyltransferase-1 antibody; MT 1 antibody; MT-1 antibody; MT1 antibody
-
宿主:Rabbit
-
反應種屬:Human
-
免疫原:Recombinant Human Chitobiosyldiphosphodolichol beta-mannosyltransferase protein (215-464AA)
-
免疫原種屬:Homo sapiens (Human)
-
標記方式:Non-conjugated
-
克隆類型:Polyclonal
-
抗體亞型:IgG
-
純化方式:Antigen Affinity Purified
-
濃度:It differs from different batches. Please contact us to confirm it.
-
保存緩沖液:PBS with 0.02% sodium azide, 50% glycerol, pH7.3.
-
產品提供形式:Liquid
-
應用范圍:ELISA, WB, IHC
-
推薦稀釋比:
Application Recommended Dilution WB 1:500-1:2000 IHC 1:20-1:200 -
Protocols:
-
儲存條件:Upon receipt, store at -20°C or -80°C. Avoid repeated freeze.
-
貨期:Basically, we can dispatch the products out in 1-3 working days after receiving your orders. Delivery time maybe differs from different purchasing way or location, please kindly consult your local distributors for specific delivery time.
-
用途:For Research Use Only. Not for use in diagnostic or therapeutic procedures.
相關產品
靶點詳情
-
功能:Participates in the formation of the lipid-linked precursor oligosaccharide for N-glycosylation. Involved in assembling the dolichol-pyrophosphate-GlcNAc(2)-Man(5) intermediate on the cytoplasmic surface of the ER.
-
基因功能參考文獻:
- evaluated the genetic association of WDR3 and ALG1 in schizophrenia. We examined 21 single nucleotide polymorphisms [SNPs; W1 (rs1812607)-W16 (rs6656360), A1 (rs8053916)-A10 (rs9673733)] from these genes using the Japanese case-control sample (1,808 schizophrenics and 2,170 matched controls). No significant genetic associations of these SNPs were identified. However, we detected a significant association of W4 (rs319471) PMID: 29309433
- Study presents molecular, clinical and biochemical findings in the largest collection of ALG1-CDG cases ever reported at a single time with 39 cases, bringing the total number to 57. This ranks it the third most common CDG type behind PMM2-CDG and ALG6-CDG. In addition, highly lethal genotype were identified and confirm the presence of a unique xeno-tetrasaccharide in ALG1-CDG patients. PMID: 26931382
- In title. PMID: 25649379
- Was detected in the patient's ALG1-coding sequence. PMID: 24157261
- Family study defining the phenotype of deficiency of beta-1,4 mannosyltransferase (MT-1) congenital disorder of glycosylation (CDG), due to ALG1 gene mutations. Four novel ALG1 mutations were identified. PMID: 22966035
- DNA sequencing of ALG1 revealed nine different mutations, seven of which have not been previously reported. Clinical presentations of deficiency are severe, with dysmorphias, CNS involvement and ocular disturbances PMID: 20679665
顯示更多
收起更多
-
相關疾病:Congenital disorder of glycosylation 1K (CDG1K)
-
亞細胞定位:Endoplasmic reticulum membrane; Single-pass type II membrane protein.
-
蛋白家族:Glycosyltransferase group 1 family, Glycosyltransferase 33 subfamily
-
數據庫鏈接:
Most popular with customers
-
-
YWHAB Recombinant Monoclonal Antibody
Applications: ELISA, WB, IHC, IF, FC
Species Reactivity: Human, Mouse, Rat
-
Phospho-YAP1 (S127) Recombinant Monoclonal Antibody
Applications: ELISA, WB, IHC
Species Reactivity: Human
-
-
-
-
-















