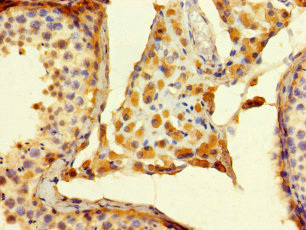
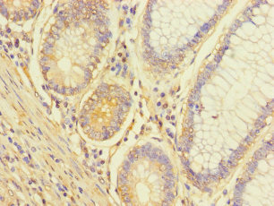
ALG14 Antibody
-
中文名稱:ALG14兔多克隆抗體
-
貨號:CSB-PA850291LA01HU
-
規格:¥440
-
圖片:
-
其他:
產品詳情
-
產品名稱:Rabbit anti-Homo sapiens (Human) ALG14 Polyclonal antibody
-
Uniprot No.:
-
基因名:ALG14
-
別名:ALG14 antibody; UDP-N-acetylglucosamine transferase subunit ALG14 homolog antibody
-
宿主:Rabbit
-
反應種屬:Human
-
免疫原:Recombinant Human UDP-N-acetylglucosamine transferase subunit ALG14 homolog protein (25-216AA)
-
免疫原種屬:Homo sapiens (Human)
-
標記方式:Non-conjugated
本頁面中的產品,ALG14 Antibody (CSB-PA850291LA01HU),的標記方式是Non-conjugated。對于ALG14 Antibody,我們還提供其他標記。見下表:
-
克隆類型:Polyclonal
-
抗體亞型:IgG
-
純化方式:>95%, Protein G purified
-
濃度:It differs from different batches. Please contact us to confirm it.
-
保存緩沖液:Preservative: 0.03% Proclin 300
Constituents: 50% Glycerol, 0.01M PBS, PH 7.4 -
產品提供形式:Liquid
-
應用范圍:ELISA, IHC
-
推薦稀釋比:
Application Recommended Dilution IHC 1:20-1:200 -
Protocols:
-
儲存條件:Upon receipt, store at -20°C or -80°C. Avoid repeated freeze.
-
貨期:Basically, we can dispatch the products out in 1-3 working days after receiving your orders. Delivery time maybe differs from different purchasing way or location, please kindly consult your local distributors for specific delivery time.
-
用途:For Research Use Only. Not for use in diagnostic or therapeutic procedures.
相關產品
靶點詳情
-
功能:Involved in protein N-glycosylation. May play a role in the second step of the dolichol-linked oligosaccharide pathway. May anchor the catalytic subunit ALG13 to the ER.
-
基因功能參考文獻:
- New ALG14 congenital disorder of glycosylation with early and lethal neurodegeneration with myasthenic and myopathic features. PMID: 28733338
-
相關疾病:Myasthenic syndrome, congenital, 15 (CMS15)
-
亞細胞定位:Endoplasmic reticulum membrane; Single-pass membrane protein. Nucleus membrane; Single-pass membrane protein.
-
蛋白家族:ALG14 family
-
數據庫鏈接:
Most popular with customers
-
YWHAB Recombinant Monoclonal Antibody
Applications: ELISA, WB, IHC, IF, FC
Species Reactivity: Human, Mouse, Rat
-
Phospho-YAP1 (S127) Recombinant Monoclonal Antibody
Applications: ELISA, WB, IHC
Species Reactivity: Human
-
-
-
-
-
-















