ALKBH2 Antibody
-
中文名稱:ALKBH2兔多克隆抗體
-
貨號:CSB-PA761219ESR2HU
-
規格:¥440
-
圖片:
-
Western blot
All lanes: Alpha-ketoglutarate-dependent dioxygenase alkB homolog 2 antibody at 2μg/ml + Hela whole cell lysate
Secondary
Goat polyclonal to rabbit IgG at 1/10000 dilution
Predicted band size: 30, 18 kDa
Observed band size: 30 kDa -
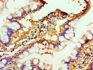
Immunohistochemistry of paraffin-embedded human small intestine tissue using CSB-PA761219ESR2HU at dilution of 1:100
-
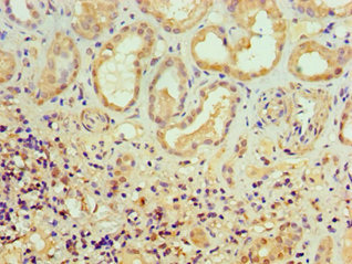
Immunohistochemistry of paraffin-embedded human kidney tissue using CSB-PA761219ESR2HU at dilution of 1:100
-
-
其他:
產品詳情
-
產品名稱:Rabbit anti-Homo sapiens (Human) ALKBH2 Polyclonal antibody
-
Uniprot No.:
-
基因名:ALKBH2
-
別名:2OG Fe(II) oxy DC1 antibody; 9530023G02 antibody; ABH 2 antibody; ABH2 antibody; alkB alkylation repair homolog 2 antibody; ALKB2_HUMAN antibody; ALKBH2 alkB antibody; ALKBH2 antibody; Alkylated DNA repair protein alkB homolog antibody; Alkylated DNA repair protein alkB homolog 2 antibody; Alkylation repair homolog 2 antibody; Alpha ketoglutarate dependent dioxygenase alkB homolog 2 antibody; Alpha-ketoglutarate-dependent dioxygenase alkB homolog 2 antibody; AU016977 antibody; DNA oxidative demethylase ALKBH2 antibody; EC 1.14.11. antibody; FLJ99103 antibody; hABH2 antibody; mABH2 antibody; MGC90512 antibody; Oxy DC1 antibody
-
宿主:Rabbit
-
反應種屬:Human
-
免疫原:Recombinant Human DNA oxidative demethylase ALKBH2 protein (1-261AA)
-
免疫原種屬:Homo sapiens (Human)
-
標記方式:Non-conjugated
-
克隆類型:Polyclonal
-
抗體亞型:IgG
-
純化方式:Antigen Affinity Purified
-
濃度:It differs from different batches. Please contact us to confirm it.
-
保存緩沖液:PBS with 0.02% sodium azide, 50% glycerol, pH7.3.
-
產品提供形式:Liquid
-
應用范圍:ELISA, WB, IHC
-
推薦稀釋比:
Application Recommended Dilution WB 1:200-1:1000 IHC 1:20-1:200 -
Protocols:
-
儲存條件:Upon receipt, store at -20°C or -80°C. Avoid repeated freeze.
-
貨期:Basically, we can dispatch the products out in 1-3 working days after receiving your orders. Delivery time maybe differs from different purchasing way or location, please kindly consult your local distributors for specific delivery time.
-
用途:For Research Use Only. Not for use in diagnostic or therapeutic procedures.
相關產品
靶點詳情
-
功能:Dioxygenase that repairs alkylated DNA and RNA containing 1-methyladenine and 3-methylcytosine by oxidative demethylation. Can also repair alkylated DNA containing 1-ethenoadenine (in vitro). Has strong preference for double-stranded DNA. Has low efficiency with single-stranded substrates. Requires molecular oxygen, alpha-ketoglutarate and iron.
-
基因功能參考文獻:
- These results revealed that N3-ethylthymidine , but not other DNA lesions, could be repaired by Alkbh2 and Alkbh3 in mammalian cells. PMID: 26930515
- studies reveal the ALKBH2 binding interface of PCNA and indicate that both germline and somatic ALKBH2 variants could have cellular effects on ALKBH2 function in DNA repair. PMID: 26408825
- It was shown for first time that DNA glycosylase ALKBH2 can repair DNA adduct 1,N2-ethenoguanine. PMID: 25797601
- ABH2 knockdown impairs rDNA transcription and leads to increased single-stranded and double-stranded DNA breaks in the rDNA genes. PMID: 23972994
- Overexpression of ALKBH2 is associated with enhanced resistance to temozolomide in glioblastoma. PMID: 23258843
- ALKBH2 is an upstream molecule of the oncoprotein, MUC1, and regulates cell cycle and EMT, resulting in progression of urothelial carcinomas. PMID: 23279696
- combination of duplex interrogation and oxidation chemistry allows ALKBH2 to detect and process diverse lesions efficiently and correctly PMID: 22659876
- The non-enzymatic binding of AAG to 3,N(4)-ethenocytosine specifically blocks ALKBH2-catalyzed repair of 3,N(4)-ethenocytosine but not that of methylated ALKBH2 substrates. PMID: 22079122
- X-ray absorption spectroscopy structural investigation of early intermediates in the mechanism of DNA repair by human ABH2 PMID: 21510633
- ABH2 is downregulated in a subset of gastric cancers, and might be involved in the molecular mechanism of gastric cancer through inhibiting the proliferation of gastric cancer cells. PMID: 21155885
- This work has provided a detailed understanding of the structural features of the single-stranded DNA and double-stranded DNA preferences of ABH2 and ABH3. PMID: 20714506
- Divergent sequences outside of the active site determine substrate specificities of ABH2. PMID: 20525795
- Tumour protein (TP53) is directly involved by binding to the promoter of ALKBH2 in mediating photofrin-mediaated photodynamic therapy in U87 glioma cells. PMID: 20661249
- first crystal structure of ABH2 PMID: 18432238
- ABH2 is active in the direct reversal of epsilon A lesions, and that ABH2, together with the alkyl-N-adenine-DNA glycosylase, which is the most effective enzyme for the repair of epsilon A, comprise the cellular defense against epsilon A lesions PMID: 18519673
- Mutations of ABH2 is associated with pediatric brain tumors. PMID: 19290481
顯示更多
收起更多
-
亞細胞定位:Nucleus. Note=Detected in replication foci during S-phase.
-
蛋白家族:AlkB family
-
組織特異性:Detected in colon, small intestine, ovary, testis, prostate, skeletal muscle, heart, liver and urinary bladder.
-
數據庫鏈接:
Most popular with customers
-
-
YWHAB Recombinant Monoclonal Antibody
Applications: ELISA, WB, IHC, IF, FC
Species Reactivity: Human, Mouse, Rat
-
Phospho-YAP1 (S127) Recombinant Monoclonal Antibody
Applications: ELISA, WB, IHC
Species Reactivity: Human
-
-
-
-
-















