AMACR Antibody
-
中文名稱:AMACR兔多克隆抗體
-
貨號:CSB-PA418436
-
規格:¥1100
-
圖片:
-
The image on the left is immunohistochemistry of paraffin-embedded Human thyroid cancer tissue using CSB-PA418436(AMACR Antibody) at dilution 1/30, on the right is treated with fusion protein. (Original magnification: ×200)
-
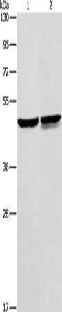
Gel: 8%SDS-PAGE, Lysate: 40 μg, Lane 1-2: A549 cells, Jurkat cells, Primary antibody: CSB-PA418436(AMACR Antibody) at dilution 1/350, Secondary antibody: Goat anti rabbit IgG at 1/8000 dilution, Exposure time: 15 seconds
-
-
其他:
產品詳情
-
Uniprot No.:
-
基因名:AMACR
-
別名:2 arylpropionyl CoA epimerase antibody; 2 methylacyl CoA racemase antibody; 2-methylacyl-CoA racemase antibody; Alpha methylacyl CoA racemase antibody; Alpha methylacyl Coenzyme A racemase antibody; Alpha methylacyl-CoA racemase deficiency; included antibody; Alpha-methylacyl-CoA racemase antibody; Amacr antibody; AMACR deficiency; included antibody; AMACR_HUMAN antibody; CBAS4 antibody; Da1-8 antibody; EC 5.1.99.4 antibody; Macr1 antibody; Methylacyl CoA racemase alpha antibody; RACE antibody; RM antibody
-
宿主:Rabbit
-
反應種屬:Human
-
免疫原:Fusion protein of Human AMACR
-
免疫原種屬:Homo sapiens (Human)
-
標記方式:Non-conjugated
-
抗體亞型:IgG
-
純化方式:Antigen affinity purification
-
濃度:It differs from different batches. Please contact us to confirm it.
-
保存緩沖液:-20°C, pH7.4 PBS, 0.05% NaN3, 40% Glycerol
-
產品提供形式:Liquid
-
應用范圍:ELISA,WB,IHC
-
推薦稀釋比:
Application Recommended Dilution ELISA 1:2000-1:5000 WB 1:500-1:2000 IHC 1:25-1:100 -
Protocols:
-
儲存條件:Upon receipt, store at -20°C or -80°C. Avoid repeated freeze.
-
貨期:Basically, we can dispatch the products out in 1-3 working days after receiving your orders. Delivery time maybe differs from different purchasing way or location, please kindly consult your local distributors for specific delivery time.
-
用途:For Research Use Only. Not for use in diagnostic or therapeutic procedures.
相關產品
靶點詳情
-
功能:Catalyzes the interconversion of (R)- and (S)-stereoisomers of alpha-methyl-branched-chain fatty acyl-CoA esters. Acts only on coenzyme A thioesters, not on free fatty acids, and accepts as substrates a wide range of alpha-methylacyl-CoAs, including pristanoyl-CoA, trihydroxycoprostanoyl-CoA (an intermediate in bile acid synthesis), and arylpropionic acids like the anti-inflammatory drug ibuprofen (2-(4-isobutylphenyl)propionic acid) but neither 3-methyl-branched nor linear-chain acyl-CoAs.
-
基因功能參考文獻:
- High expression of AMACR was not only a key adverse prognostic factor but also a potential therapeutic target in oral squamous cell carcinoma PMID: 29725255
- AMACR expression was studied in normal mucosa of the colon, adenomas with different degrees of dysplasia, colonic carcinomas, lymph nodes and liver metastases of colonic carcinomas. Expression was nearly absent in samples of normal mucosa, increased in both adenomas and carcinomas, decreased in lymph node metastases but was significantly increased in liver metastases. PMID: 29179959
- IMP3 has a similar specificity, but a better sensitivity, intensity, and extent of reactivity in comparison with AMACR, and may be used as an alternative to AMACR, in support of the diagnosis of BE-dysplasia and EAC PMID: 26766126
- As an adjunct to biopsy, AMACR and HMWCK have value for resolving diagnostically challenging cases PMID: 28508828
- Single nucleotide polymorphism in AMACR gene is associated with schizophrenia risk loci with potential implications for neurocognitive performance. PMID: 28902459
- Results show that AMACR expression is significantly high in patients with prostate cancer. PMID: 29277318
- High AMACR expression is associated with prostate cancer. PMID: 28741117
- AMACR staining was positively expressed in 86 of the prostate carcinoma cases and completely absent in remaining 12. PMID: 28384107
- Data show a significant association between Alpha-methylacyl-CoA racemase (AMACR) and ERG protein with prognostic implication in prostate cancer. PMID: 27271990
- AMACR is expressed in most of the chordomas but only in a minority of chondrosarcomas. AMACR may serve as IHC marker of chordoma with differentiating ability comparable to that of beta-catenin. PMID: 26888362
- AMACR transcripts were detected in all radical prostatectomy(RP)-prostate cancer and RP-Benign samples but not in non-cancerous cystoprostatectomy samples, which suggest a global increase of AMACR expression in cancerous prostates. PMID: 26928323
- AMACRwas not regulated in the white blood cells of multiple sclerosis patients PMID: 26648339
- study showed that 34betaE12 is the most appropriate negative marker to combine with alpha-methylacyl coenzyme A racemase as a positive marker for the diagnosis of prostate adenocarcinoma[34betaE12] PMID: 20189848
- The D175G and M9V polymorphisms of the AMACR gene are related to prostate cancer. The S201L polymorphism might be linked with prostate cancer risk. no association was observed between K277E or Q239H polymorphisms and susceptibility to prostate cancer. PMID: 25773837
- AMACR amplification is a mechanism driving increased mRNA and protein expression and conferring aggressiveness through heightened cell proliferation in gastrointestinal stromal tumors PMID: 25473890
- In diagnosis of ovarian clear cell carcinoma, AMACR is highly specific but suboptimally sensitive. PMID: 25551297
- Overexpressed AMACR in myxofibrosarcomas can be amplification-driven, associated with tumor aggressiveness, and may be relevant as a druggable target. PMID: 25384383
- Combination of p63 and AMACR is of great additional value in combating the morphologically suspicious cases and should be used on case to case basis especially in prostatic needle biopsies and small foci lesions. PMID: 25313761
- Our results suggest AMACR as an immunohistochemical marker for distinguishing malignant melanomas and dysplastic nevi from conventional melanocytic nevi. PMID: 25149154
- AMACR might be a potential prognostic marker for predicting early recurrence/metastasis of hepatocellular carcinoma after hepatectomy. PMID: 25092674
- The overexpression of AMACR in prostate cancer was not associated with dietary influences on phytanic acid. PMID: 25307752
- AMACR overexpression was identified as an important prognosticator and a potential therapeutic target in the future PMID: 24833092
- AMACR is a useful immunohistochemical marker for the differential diagnosis of solid pseudopapillary neoplasms of the pancreas. PMID: 24675392
- AMACR should be the first-line positive marker for confirmation of a diagnosis of minimal adenocarcinoma of the prostate. PMID: 24705308
- Genetic variations of AMACR are associated with the risk of sporadic prostate cancer that underwent radical prostatectomy in Koreans. PMID: 24383053
- Strong AMACR expression is associated with an increased risk of neoplastic progression in Barrett's esophagus. PMID: 24004067
- in the subgroup of papillary renal cell carcinoma both a higher grade and a presence of distant metastases were associated with a lower percentage of alpha-methylacyl CoA racemase (AMACR)expressing tumors. PMID: 22009118
- role of AMACR in drug metabolism, cancer and drug design PMID: 23376124
- Case Report: AMACR homozygous mutation responsible for adult onset alpha-methyl-acyl-CoA racemase deficiency. PMID: 20821052
- These findings indicate that AMACR expression is strongly associated with endometrial clear cell carcionma and displays a relatively robust diagnostic test performance. PMID: 24119561
- Overall disease-free survival tended to be worse in AMACR-positive patients, and in adenocarcinoma subgroup, it was significantly shorter PMID: 23235347
- ERG immunohistochemistry could be considered in a second round of immunostaining of select difficult cases of foamy gland carcinoma of the prostate with low AMACR expression. PMID: 23797726
- Of the cases of clear cell renal carcinoma there was immunoreactivity for alpha-methylacyl-CoA racemase and strong diffuse immuno-positivity for cytokeratin. PMID: 23434146
- Alpha methylacyl-COA racemase cannot discriminate hepatocellular carcinoma from liver cell dysplasiA, although it can separate both of them from nondysplastic lesions. PMID: 22542076
- The sensitivity and specificity of AMACR for the diagnosis of prostate adenocarcinoma and benign glands in Japanese patients are lower than those previously reported in Western countries. PMID: 22593005
- Our results indicate that alpha-methylacyl-coenzyme A racemase is a useful marker for distinguishing between grade 1 and grade 2 neuroendocrine tumours, and neuroendocrine carcinoma of the stomach PMID: 22782380
- High AMACR is associated with prostate cancer. PMID: 22248277
- Alpha-methylacyl-coenzyme A racemase expression is associated with mucin phenotypes of gastric neoplasia, particularly with the expression of CDX2 and MUC5AC. PMID: 22078291
- AMACR can be considered a more accurate marker than PTOV1 in the identification of high-grade prostatic intraepithelial neoplasia (HGPIN) and of prostate cancer. PMID: 22507319
- Our study showed that 34betaE12 is the most appropriate negative marker to combine with AMACR as a positive marker for the diagnosis of prostate adenocarcinoma. PMID: 20189848
- This report shows the first high-throughput screen for the discovery of novel AMACR inhibitors, characterizes the first nonsubstrate-based inhibitors, and validates that AMACR is a viable chemotherapeutic target in vitro. PMID: 21441411
- Overexpression of alpha-methylacyl-CoA racemase is associated with CTNNB1 mutations in hepatocellular carcinomas PMID: 21457159
- A combination of high molecular weight cytokeratin and alpha-methylacyl CoA racemase is of great value in combating the morphologically suspicious cases and significantly increasing the diagnostic accuracy in prostate cancer. PMID: 21176184
- The results suggest that AMACR may play a significant role in susceptibility to schizophrenia in male patients. PMID: 20875727
- Our data suggest that AMACR variants have better power than total AMACR in discriminating between CaP and adjacent normal tissue. These findings may be useful for the development of future diagnostic assays PMID: 21195844
- Examine P504S expressing circulating prostate cells as a marker for prostate cancer. PMID: 20664974
- AMACR shows promise as a marker to indicate indefinite dysplasia in Barrett's oesophagus. PMID: 20636793
- Results describe alpha-methylacyl CoA racemase (AMACR) expression in relation to various dysplasia phenotypes and clinicopathological parameters of sporadic colorectal adenomas. PMID: 20503447
- marker of differential diagnosis of kidney cancer PMID: 20102405
- The expression of AMACR is increased in benign sebaceous glands and sebaceous hyperplasia; with decreasing AMACR expression in tumors with less sebaceous differentiation PMID: 19638170
顯示更多
收起更多
-
相關疾病:Alpha-methylacyl-CoA racemase deficiency (AMACRD); Congenital bile acid synthesis defect 4 (CBAS4)
-
亞細胞定位:Peroxisome. Mitochondrion.
-
蛋白家族:CaiB/BaiF CoA-transferase family
-
數據庫鏈接:
Most popular with customers
-
-
Phospho-YAP1 (S127) Recombinant Monoclonal Antibody
Applications: ELISA, WB, IHC
Species Reactivity: Human
-
-
-
-
-
-















