AMY2B Antibody
-
中文名稱:AMY2B兔多克隆抗體
-
貨號:CSB-PA001690ESR2HU
-
規格:¥440
-
圖片:
-
Western blot
All lanes: Alpha-amylase 2B antibody at 8μg/ml
Lane 1: Mouse skeletal muscle tissue
Lane 2: HL60 whole cell lysate
Lane 3: K562 whole cell lysate
Secondary
Goat polyclonal to rabbit IgG at 1/10000 dilution
Predicted band size: 58, 43 kDa
Observed band size: 58 kDa -
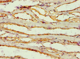
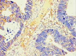
Immunohistochemistry of paraffin-embedded human ovarian cancer using CSB-PA001690ESR2HU at dilution of 1:100
-
Immunohistochemistry of paraffin-embedded human kidney tissue using CSB-PA001690ESR2HU at dilution of 1:100
-
-
其他:
產品詳情
-
產品名稱:Rabbit anti-Homo sapiens (Human) AMY2B Polyclonal antibody
-
Uniprot No.:
-
基因名:
-
別名:AMY2B antibody; Alpha-amylase 2B antibody; EC 3.2.1.1 antibody; 1,4-alpha-D-glucan glucanohydrolase 2B antibody; Carcinoid alpha-amylase antibody
-
宿主:Rabbit
-
反應種屬:Human, Mouse
-
免疫原:Recombinant Human Alpha-amylase 2B protein (16-320AA)
-
免疫原種屬:Homo sapiens (Human)
-
標記方式:Non-conjugated
-
克隆類型:Polyclonal
-
抗體亞型:IgG
-
純化方式:Antigen Affinity Purified
-
濃度:It differs from different batches. Please contact us to confirm it.
-
保存緩沖液:PBS with 0.02% sodium azide, 50% glycerol, pH7.3.
-
產品提供形式:Liquid
-
應用范圍:ELISA, WB, IHC
-
推薦稀釋比:
Application Recommended Dilution WB 1:200-1:1000 IHC 1:20-1:200 -
Protocols:
-
儲存條件:Upon receipt, store at -20°C or -80°C. Avoid repeated freeze.
-
貨期:Basically, we can dispatch the products out in 1-3 working days after receiving your orders. Delivery time maybe differs from different purchasing way or location, please kindly consult your local distributors for specific delivery time.
-
用途:For Research Use Only. Not for use in diagnostic or therapeutic procedures.
相關產品
靶點詳情
-
亞細胞定位:Secreted.
-
蛋白家族:Glycosyl hydrolase 13 family
-
數據庫鏈接:
Most popular with customers
-
-
YWHAB Recombinant Monoclonal Antibody
Applications: ELISA, WB, IHC, IF, FC
Species Reactivity: Human, Mouse, Rat
-
Phospho-YAP1 (S127) Recombinant Monoclonal Antibody
Applications: ELISA, WB, IHC
Species Reactivity: Human
-
-
-
-
-















