ANGPTL2 Antibody
-
中文名稱:ANGPTL2兔多克隆抗體
-
貨號:CSB-PA891539LA01HU
-
規格:¥440
-
圖片:
-
Western blot
All lanes: ANGPTL2 antibody at 8μg/ml
Lane 1: Mouse spleen tissue
Lane 2: K562 whole cell lysate
Lane 3: Hela whole cell lysate
Lane 4: A549 whole cell lysate
Secondary
Goat polyclonal to rabbit IgG at 1/10000 dilution
Predicted band size: 58, 23 kDa
Observed band size: 58 kDa -
Immunohistochemistry of paraffin-embedded human tonsil tissue using CSB-PA891539LA01HU at dilution of 1:100
-
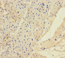
Immunohistochemistry of paraffin-embedded human heart tissue using CSB-PA891539LA01HU at dilution of 1:100
-
-
其他:
產品詳情
-
產品名稱:Rabbit anti-Homo sapiens (Human) ANGPTL2 Polyclonal antibody
-
Uniprot No.:
-
基因名:ANGPTL2
-
別名:AI593246 antibody; Angiopoietin like 2 antibody; Angiopoietin related protein 2 antibody; Angiopoietin-like protein 2 antibody; Angiopoietin-related protein 2 antibody; ANGL2_HUMAN antibody; Angptl2 antibody; Arp2 antibody; AW260363 antibody; HARP antibody; MGC8889 antibody; UNQ170/PRO196 antibody
-
宿主:Rabbit
-
反應種屬:Human, Mouse
-
免疫原:Recombinant Human Angiopoietin-related protein 2 protein (23-493AA)
-
免疫原種屬:Homo sapiens (Human)
-
標記方式:Non-conjugated
本頁面中的產品,ANGPTL2 Antibody (CSB-PA891539LA01HU),的標記方式是Non-conjugated。對于ANGPTL2 Antibody,我們還提供其他標記。見下表:
-
克隆類型:Polyclonal
-
抗體亞型:IgG
-
純化方式:>95%, Protein G purified
-
濃度:It differs from different batches. Please contact us to confirm it.
-
保存緩沖液:Preservative: 0.03% Proclin 300
Constituents: 50% Glycerol, 0.01M PBS, PH 7.4 -
產品提供形式:Liquid
-
應用范圍:ELISA, WB, IHC
-
推薦稀釋比:
Application Recommended Dilution WB 1:500-1:2000 IHC 1:20-1:200 -
Protocols:
-
儲存條件:Upon receipt, store at -20°C or -80°C. Avoid repeated freeze.
-
貨期:Basically, we can dispatch the products out in 1-3 working days after receiving your orders. Delivery time maybe differs from different purchasing way or location, please kindly consult your local distributors for specific delivery time.
-
用途:For Research Use Only. Not for use in diagnostic or therapeutic procedures.
相關產品
靶點詳情
-
功能:Induces sprouting in endothelial cells through an autocrine and paracrine action.
-
基因功能參考文獻:
- examination of the potential sources of circulating ANGPTL2 and its common pathological properties associated with various chronic inflammatory diseases (review). PMID: 29138671
- Results showed that ANGPTL2 was highly expressed in glioma tissues and cell lines. Knockdown of ANGPTL2 reduced the proliferative and invasive abilities of glioma cells. PMID: 28247845
- REVIEW: ANGPTL2 autocrine/paracrine signaling is a new factor in accelerating heart disease development in the aging. Here, we focus on current topics relevant to ANGPTL2 function in heart disease. PMID: 28867689
- ANGPTL2 is a biomarker for liver fibrosis in chronic hepatitis B patients with normal to minimally raised ALT. PMID: 28962551
- ANGPTL2 was positively associated with aortic stiffness after kidney transplantation. PMID: 28158589
- Serum ANGPTL2 levels were significantly increased in non-small cell lung carcinoma patients, which could serve as a novel potential diagnostic and prognostic biomarker for NSCLC. PMID: 28164488
- Results reveal a novel cascade comprising sequential P. gingivalis lipopolysaccharide --> ANGPTL2 --> integrin alpha5beta1 --> inflammatory cytokine induction, which might be responsible for inducing potent periodontal disorganization activity in gingival epithelial cells. Via this pathway, ANGPTL2 functions in the pathogenesis of periodontitis and contributes to prolonging chronic inflammation in patients with systemi... PMID: 28934245
- In patients with type 2 diabetes, serum ANGPTL2 concentrations were independently associated with death and MACE. PMID: 27491833
- Elevated serum ANGPTL2 levels are a novel risk factor for the development of CVD in the general population. This association is partially mediated by metabolic disorders and inflammation. PMID: 27365403
- Increased ANGPTL2 expression contributes to proliferation and invasion of gastric cancer cells. PMID: 28058016
- Aberrant expression of ANGPTL2 in cumulus cells is potentially associated with impaired oocyte developmental competence in polycystic ovary syndrome. PMID: 26829602
- Reduced leukocyte DNA methylation in the promoter region of ANGPTL2 is associated with the pro-inflammatory environment that characterizes patients with post-ACS differently from age-matched healthy controls. Methylation of different CpGs in ANGPTL2 gene may prove to be a reliable biomarker of coronary disease PMID: 27101308
- At 11-13 weeks in pregnancies that develop GDM, the serum concentration of ANGPTL2 is increased, and it can be combined with maternal factors to provide effective early screening for GDM. PMID: 27647189
- ANGPTL2 and TGF-beta1 positively regulate each other as renal fibrosis progresses. PMID: 26806834
- ANGPTL2 may be a useful marker for detecting early postoperative recurrence in patients with gastric cancer. PMID: 26254352
- In lumbar spinal stenosis, Angptl2 promotes inflammation in ligamentum flavum(LF) tissue by activating IL-6 expression, leading to LF degeneration and hypertrophy. PMID: 25735609
- ANGPTL2 promotes adipose tissue macrophage and T lymphocyte accumulation and leads to insulin resistance. PMID: 26132105
- Serum ANGPTL2 in GC patients was significantly higher than for healthy controls. PMID: 26420253
- Angptl2 induces proinflammatory responses in peritoneal macrophages and monocytes. PMID: 26435501
- Serum ANGPTL2 concentration was associated with carotid atherosclerosis in patients with type 2 diabetes. PMID: 25889082
- these findings are the first to suggest a considerable role for Angptl2 in the pathogenesis of unstable coronary disease in a clinical context PMID: 25999029
- These results suggested that ANGPTL2 was a potential biomarker for gastric cancer. PMID: 25484242
- Serum ANGPTL2 improves preoperative detection of LN metastasis in CRC PMID: 25964566
- Serum ANGPTL2 is a novel diagnostic and recurrence-predictive biomarker in patients with colorectal cancer. PMID: 25294915
- ANGPTL2 may be important in the acquisition of androgen independency and tumor progression of prostate cancer in an autocrine and/or paracrine manner via the integrin alpha5beta1 receptor. PMID: 25370833
- Serum ANGPTL2 levels in patients with metastatic breast cancer were significantly higher than those in healthy subjects or in patients with ductal carcinoma in situ or non-metastatic invasive ductal carcinoma. PMID: 24585434
- abnormal upregulation of ANGPTL2 in colorectal cancer is associated with miR-25 downregulation PMID: 25174582
- This review aims at presenting an updated description of both the beneficial and deleterious biological properties of angptl2, in addition to its molecular signalling pathways and transcriptional regulation PMID: 25417860
- Results show that ANGPTL2 antagonizes apoptosis by increasing Syk expression in colorectal cancer cells resistant to chemotherapy. PMID: 25287946
- ANGPTL2 positively regulates endothelial colony forming cell vascular lumen formation. PMID: 24563071
- findings demonstrate that preventing ANGPTL2 signaling stimulated by the tumor microenvironment could inhibit tumor cell migration and metastasis PMID: 24448647
- expression of Angptl2 induced by mechanical stress in ligamentus flavum (LF) fibroblasts promotes LF tissue degeneration. PMID: 24465594
- Endothelial cell-derived Angptl2 accelerates vascular inflammation by activating proinflammatory signaling in endothelial cells and increasing macrophage infiltration, leading to endothelial dysfunction and atherosclerosis progression. PMID: 24526691
- Elevated serum Angptl2 is associated with the likelihood of CKD in the general population. PMID: 23739531
- Angptl2 levels are elevated in patients with type 2 diabetes with an independent association between increasing Angptl2 levels and increasing levels of albuminuria. PMID: 23602322
- periodic expression of ANGPTL2 is regulated by a molecular clock PMID: 23469106
- In epicardial adipose tissue from coronary heart disease patients, ANGPTL2 expression was positively correlated with that of TNF-alpha. PMID: 23333801
- Elevated serum ANGPTL2 levels were positively associated with the development of T2DM in a general population, independent of other risk factors including hs-CRP levels. PMID: 22966088
- ANGPTL-2 and -3 have enhancing effect on human hematopoietic progenitor cell survival, effects requiring the CC domain of the ANGPTL molecules. PMID: 21983347
- Macrophage-derived Angptl2 contributes to abdominal aortic aneurysm development by inducing inflammation and degradation of extracellular matrix in the vessel wall. PMID: 22556334
- tumor cell-derived ANGPTL2 drives metastasis and provided an initial proof of concept for blockade of its action as a strategy to antagonize the metastatic process. PMID: 22345152
- keratinocyte-derived Angptl2 functions in dermatomyositis pathogenesis by inducing chronic inflammation in skin tissue. PMID: 22281496
- Angptl2 acts as an important rheumatoid synovium-derived inflammatory mediator in RA pathogenesis PMID: 20304962
- The upregulation of ANGPTL2 in diabetic glomerulopathy shows a close relationship to abnormal microvasculature and endothelial inflammation. PMID: 17347581
- epigenetic silencing by hypermethylation of the ANGPTL2 promoter leads to a loss of ANGPTL2 function, which may be a factor in the carcinogenesis of ovarian cancer in a stage-dependent manner. PMID: 18593905
- Angiopoietin-like protein 2 (Angptl2) was secreted by adipose tissue and that its circulating level was closely related to adiposity, systemic insulin resistance, and inflammation in humans. PMID: 19723494
顯示更多
收起更多
-
亞細胞定位:Secreted.
-
組織特異性:Widely expressed in heart, small intestine, spleen and stomach. Also found in lower levels in colon, ovary, adrenal gland, skeletal muscle and in prostate.
-
數據庫鏈接:
Most popular with customers
-
-
YWHAB Recombinant Monoclonal Antibody
Applications: ELISA, WB, IHC, IF, FC
Species Reactivity: Human, Mouse, Rat
-
Phospho-YAP1 (S127) Recombinant Monoclonal Antibody
Applications: ELISA, WB, IHC
Species Reactivity: Human
-
-
-
-
-















