AP1B1 Antibody
-
中文名稱:AP1B1兔多克隆抗體
-
貨號:CSB-PA070672
-
規格:¥1100
-
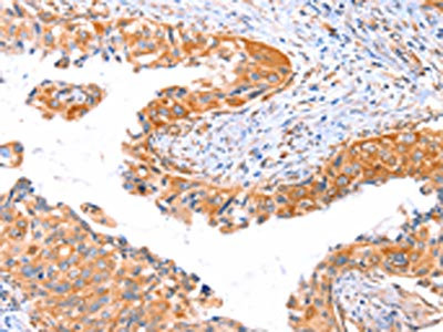
圖片:
-
The image on the left is immunohistochemistry of paraffin-embedded Human cervical cancer tissue using CSB-PA070672(AP1B1 Antibody) at dilution 1/70, on the right is treated with synthetic peptide. (Original magnification: ×200)
-
The image on the left is immunohistochemistry of paraffin-embedded Human thyroid cancer tissue using CSB-PA070672(AP1B1 Antibody) at dilution 1/70, on the right is treated with synthetic peptide. (Original magnification: ×200)
-
-
其他:
產品詳情
-
Uniprot No.:
-
基因名:AP1B1
-
別名:Adaptin; beta 2 (beta) antibody; Adaptor protein complex AP-1 subunit beta-1 antibody; Adaptor related protein complex 1; beta 1 subunit antibody; Adaptor related protein complex 2; beta 1 subunit antibody; Adaptor-related protein complex 1 subunit beta-1 antibody; ADTB1 antibody; ADTB2 antibody; AP 1 complex subunit beta 1 antibody; AP 2 complex subunit beta 1 antibody; AP-1 complex subunit beta-1 antibody; AP1 Beta antibody; AP1B1 antibody; AP1B1_HUMAN antibody; AP2 Beta antibody; AP2B1 antibody; Beta-1-adaptin antibody; Beta-adaptin 1 antibody; Beta1 adaptin antibody; Beta2 adaptin antibody; CLAPB1 antibody; CLAPB2 antibody; Clathrin assembly protein complex 1 beta large chain antibody; Golgi adaptor HA1/AP1 adaptin beta subunit antibody
-
宿主:Rabbit
-
反應種屬:Human,Mouse,Rat
-
免疫原:Synthetic peptide of Human AP1B1
-
免疫原種屬:Homo sapiens (Human)
-
標記方式:Non-conjugated
-
抗體亞型:IgG
-
純化方式:Antigen affinity purification
-
濃度:It differs from different batches. Please contact us to confirm it.
-
保存緩沖液:-20°C, pH7.4 PBS, 0.05% NaN3, 40% Glycerol
-
產品提供形式:Liquid
-
應用范圍:ELISA,IHC
-
推薦稀釋比:
Application Recommended Dilution ELISA 1:2000-1:10000 IHC 1:100-1:300 -
Protocols:
-
儲存條件:Upon receipt, store at -20°C or -80°C. Avoid repeated freeze.
-
貨期:Basically, we can dispatch the products out in 1-3 working days after receiving your orders. Delivery time maybe differs from different purchasing way or location, please kindly consult your local distributors for specific delivery time.
-
用途:For Research Use Only. Not for use in diagnostic or therapeutic procedures.
相關產品
靶點詳情
-
功能:Subunit of clathrin-associated adaptor protein complex 1 that plays a role in protein sorting in the late-Golgi/trans-Golgi network (TGN) and/or endosomes. The AP complexes mediate both the recruitment of clathrin to membranes and the recognition of sorting signals within the cytosolic tails of transmembrane cargo molecules.
-
基因功能參考文獻:
- both ubiquitous (AP-1A) and epithelium-specific (AP-1B) forms of the tetrameric clathrin adaptor AP-1 are capable of carrying out basolateral sorting of ClC-2. PMID: 25739457
- AP1B regulates basolateral EGFR membrane delivery predominantly in the biosynthetic route in MDCK cells monolayers. PMID: 23205726
- The conclude that in addition to its role in endocytosis, ARH cooperates with AP-1B in basolateral exocytosis of LDLR from recycling endosomes. PMID: 21444685
-
亞細胞定位:Golgi apparatus. Cytoplasmic vesicle, clathrin-coated vesicle membrane; Peripheral membrane protein; Cytoplasmic side. Note=Component of the coat surrounding the cytoplasmic face of coated vesicles located at the Golgi complex.
-
蛋白家族:Adaptor complexes large subunit family
-
組織特異性:Widely expressed.
-
數據庫鏈接:
Most popular with customers
-
-
YWHAB Recombinant Monoclonal Antibody
Applications: ELISA, WB, IHC, IF, FC
Species Reactivity: Human, Mouse, Rat
-
Phospho-YAP1 (S127) Recombinant Monoclonal Antibody
Applications: ELISA, WB, IHC
Species Reactivity: Human
-
-
-
-
-















