APOOL Antibody
-
中文名稱:APOOL兔多克隆抗體
-
貨號:CSB-PA001949LA01HU
-
規格:¥440
-
圖片:
-
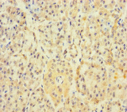
Immunohistochemistry of paraffin-embedded human pancreatic tissue using CSB-PA001949LA01HU at dilution of 1:100
-
Immunohistochemistry of paraffin-embedded human colon tissue using CSB-PA001949LA01HU at dilution of 1:100
-
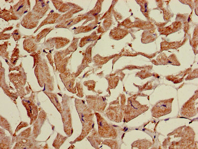
Immunohistochemistry of paraffin-embedded human heart tissue using CSB-PA001949LA01HU at dilution of 1:100
-
Immunofluorescence staining of U251 cells with CSB-PA001949LA01HU at 1:155,counter-stained with DAPI. The cells were fixed in 4% formaldehyde, permeabilized using 0.2% Triton X-100 and blocked in 10% normal Goat Serum. The cells were then incubated with the antibody overnight at 4°C.The secondary antibody was Alexa Fluor 488-congugated AffiniPure Goat Anti-Rabbit IgG (H+L).
-
-
其他:
產品詳情
-
產品名稱:Rabbit anti-Homo sapiens (Human) APOOL Polyclonal antibody
-
Uniprot No.:
-
基因名:APOOL
-
別名:AAIR8193 antibody; Apolipoprotein O-like antibody; APOOL antibody; APOOL_HUMAN antibody; CXorf33 antibody; FAM121A antibody; Family with sequence similarity 121A antibody; MGC129748 antibody; Protein FAM121A antibody; UNQ8193 antibody
-
宿主:Rabbit
-
反應種屬:Human
-
免疫原:Recombinant Human MICOS complex subunit MIC27 protein (163-268AA)
-
免疫原種屬:Homo sapiens (Human)
-
標記方式:Non-conjugated
本頁面中的產品,APOOL Antibody (CSB-PA001949LA01HU),的標記方式是Non-conjugated。對于APOOL Antibody,我們還提供其他標記。見下表:
-
克隆類型:Polyclonal
-
抗體亞型:IgG
-
純化方式:>95%, Protein G purified
-
濃度:It differs from different batches. Please contact us to confirm it.
-
保存緩沖液:Preservative: 0.03% Proclin 300
Constituents: 50% Glycerol, 0.01M PBS, PH 7.4 -
產品提供形式:Liquid
-
應用范圍:ELISA, IHC, IF
-
推薦稀釋比:
Application Recommended Dilution IHC 1:20-1:200 IF 1:50-1:200 -
Protocols:
-
儲存條件:Upon receipt, store at -20°C or -80°C. Avoid repeated freeze.
-
貨期:Basically, we can dispatch the products out in 1-3 working days after receiving your orders. Delivery time maybe differs from different purchasing way or location, please kindly consult your local distributors for specific delivery time.
-
用途:For Research Use Only. Not for use in diagnostic or therapeutic procedures.
相關產品
靶點詳情
-
功能:Component of the MICOS complex, a large protein complex of the mitochondrial inner membrane that plays crucial roles in the maintenance of crista junctions, inner membrane architecture, and formation of contact sites to the outer membrane. Specifically binds to cardiolipin (in vitro) but not to the precursor lipid phosphatidylglycerol. Plays a crucial role in crista junction formation and mitochondrial function,.
-
基因功能參考文獻:
- APOOL is a cardiolipin-binding component of the Mitofilin/MINOS protein complex. PMID: 23704930
-
亞細胞定位:Mitochondrion inner membrane; Multi-pass membrane protein. Mitochondrion.
-
蛋白家族:Apolipoprotein O/MICOS complex subunit Mic27 family
-
數據庫鏈接:
Most popular with customers
-
-
YWHAB Recombinant Monoclonal Antibody
Applications: ELISA, WB, IHC, IF, FC
Species Reactivity: Human, Mouse, Rat
-
Phospho-YAP1 (S127) Recombinant Monoclonal Antibody
Applications: ELISA, WB, IHC
Species Reactivity: Human
-
-
-
-
-















