ARHGAP15 Antibody
-
中文名稱:ARHGAP15兔多克隆抗體
-
貨號:CSB-PA681513LA01HU
-
規格:¥440
-
圖片:
-
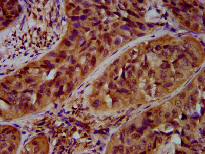
IHC image of CSB-PA681513LA01HU diluted at 1:600 and staining in paraffin-embedded human cervical cancer performed on a Leica BondTM system. After dewaxing and hydration, antigen retrieval was mediated by high pressure in a citrate buffer (pH 6.0). Section was blocked with 10% normal goat serum 30min at RT. Then primary antibody (1% BSA) was incubated at 4°C overnight. The primary is detected by a biotinylated secondary antibody and visualized using an HRP conjugated SP system.
-
IHC image of CSB-PA681513LA01HU diluted at 1:600 and staining in paraffin-embedded human melanoma performed on a Leica BondTM system. After dewaxing and hydration, antigen retrieval was mediated by high pressure in a citrate buffer (pH 6.0). Section was blocked with 10% normal goat serum 30min at RT. Then primary antibody (1% BSA) was incubated at 4°C overnight. The primary is detected by a biotinylated secondary antibody and visualized using an HRP conjugated SP system.
-
Immunofluorescence staining of A549 cells with CSB-PA681513LA01HU at 1:200, counter-stained with DAPI. The cells were fixed in 4% formaldehyde, permeabilized using 0.2% Triton X-100 and blocked in 10% normal Goat Serum. The cells were then incubated with the antibody overnight at 4°C. The secondary antibody was Alexa Fluor 488-congugated AffiniPure Goat Anti-Rabbit IgG(H+L).
-
-
其他:
產品詳情
-
產品名稱:Rabbit anti-Homo sapiens (Human) ARHGAP15 Polyclonal antibody
-
Uniprot No.:
-
基因名:ARHGAP15
-
別名:ARHGAP15 antibody; BM-024 antibody; BM-030 antibody; BM-046 antibody; Rho GTPase-activating protein 15 antibody; ArhGAP15 antibody; Rho-type GTPase-activating protein 15 antibody
-
宿主:Rabbit
-
反應種屬:Human
-
免疫原:Recombinant Human Rho GTPase-activating protein 15 protein (1-154AA)
-
免疫原種屬:Homo sapiens (Human)
-
標記方式:Non-conjugated
本頁面中的產品,ARHGAP15 Antibody (CSB-PA681513LA01HU),的標記方式是Non-conjugated。對于ARHGAP15 Antibody,我們還提供其他標記。見下表:
-
克隆類型:Polyclonal
-
抗體亞型:IgG
-
純化方式:>95%, Protein G purified
-
濃度:It differs from different batches. Please contact us to confirm it.
-
保存緩沖液:Preservative: 0.03% Proclin 300
Constituents: 50% Glycerol, 0.01M PBS, pH 7.4 -
產品提供形式:Liquid
-
應用范圍:ELISA, IHC, IF
-
推薦稀釋比:
Application Recommended Dilution IHC 1:500-1:1000 IF 1:200-1:500 -
Protocols:
-
儲存條件:Upon receipt, store at -20°C or -80°C. Avoid repeated freeze.
-
貨期:Basically, we can dispatch the products out in 1-3 working days after receiving your orders. Delivery time maybe differs from different purchasing way or location, please kindly consult your local distributors for specific delivery time.
-
用途:For Research Use Only. Not for use in diagnostic or therapeutic procedures.
相關產品
靶點詳情
-
功能:GTPase activator for the Rho-type GTPases by converting them to an inactive GDP-bound state. Has activity toward RAC1. Overexpression results in an increase in actin stress fibers and cell contraction.
-
基因功能參考文獻:
- ARHGAP15 rs4662344-T ssociation with diverticular disease in Iceland and Denmark population. PMID: 28585551
- ARHGAP15 immunoreactivity correlated with decreased risk of recurrence and improved prognosis in breast carcinoma. ARHGA15 overexpression suppressed cell proliferation and migration of MCF-7 cells. PMID: 29534468
- FOXP3 can regulate the expression of ARHGAP15 and affects migration of glioma cells through the Rac1 signaling pathway PMID: 27862679
- ArhGAP15 plays a dual negative role in regulating small GTPase signaling, by acting at the level of the GTPase itself, as well interacting with its effector, Pak kinase. PMID: 23760270
- ARHGAP15 is associated with acute lung injury in mice PMID: 21297076
- a potential regulator of Rac1 PMID: 12650940
顯示更多
收起更多
-
亞細胞定位:Cytoplasm. Membrane; Peripheral membrane protein.
-
組織特異性:Expressed in lung, liver and lymphoid cells.
-
數據庫鏈接:
Most popular with customers
-
-
YWHAB Recombinant Monoclonal Antibody
Applications: ELISA, WB, IHC, IF, FC
Species Reactivity: Human, Mouse, Rat
-
Phospho-YAP1 (S127) Recombinant Monoclonal Antibody
Applications: ELISA, WB, IHC
Species Reactivity: Human
-
-
-
-
-















