ARHGDIG Antibody
-
中文名稱:ARHGDIG兔多克隆抗體
-
貨號:CSB-PA858727LA01HU
-
規格:¥440
-
圖片:
-
Western blot
All lanes: ARHGDIG antibody at 2 μg/ml
Lane 1: Mouse brain tissue
Lane 2: Mouse lung tissue
Secondary
Goat polyclonal to rabbit IgG at 1/10000 dilution
Predicted band size: 25 kDa
Observed band size: 25, 50 kDa -
Immunohistochemistry of paraffin-embedded human brain tissue using CSB-PA858727LA01HU at dilution of 1:100
-
Immunohistochemistry of paraffin-embedded human placenta tissue using CSB-PA858727LA01HU at dilution of 1:100
-
Immunofluorescent analysis of MCF-7 cells using CSB-PA858727LA01HU at dilution of 1:100 and Alexa Fluor 488-congugated AffiniPure Goat Anti-Rabbit IgG(H+L)
-
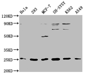
Western Blot
Positive WB detected in: Hela whole cell lysate, 293 whole cell lysate, MCF-7 whole cell lysate, SH-SY5Y whole cell lysate, K562 whole cell lysate, A549 whole cell lysate
All lanes: ARHGDIG antibody at 1:2000
Secondary
Goat polyclonal to rabbit IgG at 1/50000 dilution
Predicted band size: 26 kDa
Observed band size: 26 kDa
-
-
其他:
產品詳情
-
產品名稱:Rabbit anti-Homo sapiens (Human) ARHGDIG Polyclonal antibody
-
Uniprot No.:
-
基因名:
-
別名:Arhgdig antibody; GDIR3_HUMAN antibody; OTTHUMP00000067353 antibody; OTTHUMP00000194914 antibody; Rho GDI 3 antibody; Rho GDI gamma antibody; Rho GDP dissociation inhibitor (GDI) gamma antibody; Rho GDP dissociation inhibitor 3 antibody; Rho GDP dissociation inhibitor gamma antibody; Rho GDP-dissociation inhibitor 3 antibody; Rho-GDI gamma antibody; RHOGDI 3 antibody; RhoGDI gamma antibody; RHOGDI3 antibody
-
宿主:Rabbit
-
反應種屬:Human, Mouse
-
免疫原:Recombinant Human Rho GDP-dissociation inhibitor 3 protein (1-225AA)
-
免疫原種屬:Homo sapiens (Human)
-
標記方式:Non-conjugated
本頁面中的產品,ARHGDIG Antibody (CSB-PA858727LA01HU),的標記方式是Non-conjugated。對于ARHGDIG Antibody,我們還提供其他標記。見下表:
-
克隆類型:Polyclonal
-
抗體亞型:IgG
-
純化方式:>95%, Protein G purified
-
濃度:It differs from different batches. Please contact us to confirm it.
-
保存緩沖液:Preservative: 0.03% Proclin 300
Constituents: 50% Glycerol, 0.01M PBS, PH 7.4 -
產品提供形式:Liquid
-
應用范圍:ELISA, WB, IHC, IF
-
推薦稀釋比:
Application Recommended Dilution WB 1:1000-1:5000 IHC 1:20-1:200 IF 1:50-1:200 -
Protocols:
-
儲存條件:Upon receipt, store at -20°C or -80°C. Avoid repeated freeze.
-
貨期:Basically, we can dispatch the products out in 1-3 working days after receiving your orders. Delivery time maybe differs from different purchasing way or location, please kindly consult your local distributors for specific delivery time.
-
用途:For Research Use Only. Not for use in diagnostic or therapeutic procedures.
相關產品
靶點詳情
-
功能:Inhibits GDP/GTP exchange reaction of RhoB. Interacts specifically with the GDP- and GTP-bound forms of post-translationally processed Rhob and Rhog proteins, both of which show a growth-regulated expression in mammalian cells. Stimulates the release of the GDP-bound but not the GTP-bound RhoB protein. Also inhibits the GDP/GTP exchange of RhoB but shows less ability to inhibit the dissociation of prebound GTP.
-
亞細胞定位:Cytoplasm.
-
蛋白家族:Rho GDI family
-
組織特異性:Primarily expressed in pancreas and brain.
-
數據庫鏈接:
Most popular with customers
-
YWHAB Recombinant Monoclonal Antibody
Applications: ELISA, WB, IHC, IF, FC
Species Reactivity: Human, Mouse, Rat
-
Phospho-YAP1 (S127) Recombinant Monoclonal Antibody
Applications: ELISA, WB, IHC
Species Reactivity: Human
-
-
-
-
-
-















