ARL11 Antibody
-
中文名稱:ARL11兔多克隆抗體
-
貨號:CSB-PA054255
-
規格:¥1100
-
圖片:
-
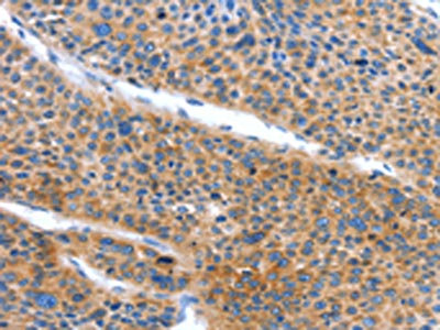
The image on the left is immunohistochemistry of paraffin-embedded Human liver cancer tissue using CSB-PA054255(ARL11 Antibody) at dilution 1/50, on the right is treated with fusion protein. (Original magnification: ×200)
-
The image on the left is immunohistochemistry of paraffin-embedded Human lung cancer tissue using CSB-PA054255(ARL11 Antibody) at dilution 1/50, on the right is treated with fusion protein. (Original magnification: ×200)
-
-
其他:
產品詳情
-
Uniprot No.:
-
基因名:ARL11
-
別名:ADP ribosylation factor like 11 antibody; ADP ribosylation factor like protein 11 antibody; ADP ribosylation factor like tumor suppressor protein 1 antibody; ADP-ribosylation factor-like protein 11 antibody; ADP-ribosylation factor-like tumor suppressor protein 1 antibody; ARL11 antibody; ARL11_HUMAN antibody; ARLTS1 antibody
-
宿主:Rabbit
-
反應種屬:Human
-
免疫原:Fusion protein of Human ARL11
-
免疫原種屬:Homo sapiens (Human)
-
標記方式:Non-conjugated
-
抗體亞型:IgG
-
純化方式:Antigen affinity purification
-
濃度:It differs from different batches. Please contact us to confirm it.
-
保存緩沖液:-20°C, pH7.4 PBS, 0.05% NaN3, 40% Glycerol
-
產品提供形式:Liquid
-
應用范圍:ELISA,IHC
-
推薦稀釋比:
Application Recommended Dilution ELISA 1:1000-1:5000 IHC 1:50-1:200 -
Protocols:
-
儲存條件:Upon receipt, store at -20°C or -80°C. Avoid repeated freeze.
-
貨期:Basically, we can dispatch the products out in 1-3 working days after receiving your orders. Delivery time maybe differs from different purchasing way or location, please kindly consult your local distributors for specific delivery time.
-
用途:For Research Use Only. Not for use in diagnostic or therapeutic procedures.
相關產品
靶點詳情
-
功能:May play a role in apoptosis. May act as a tumor suppressor.
-
基因功能參考文獻:
- ARLTS1 gene mutations can be considered as a potential predisposing factor in familial hematological malignancies PMID: 27866680
- A statistically significant (p = 0.0037) decrease of ARLTS1 expression in prostate cancer cases was detected. PMID: 23940804
- the important role of ARLTS1 Cys148Arg variant as a contributor in prostate cancer predisposition PMID: 22028916
- A significantly increased risk was observed for young ovarian cancer patients with ARLTS1 Cys148Arg variant. PMID: 20067102
- The role of the allelic variants in ARLTS1, RAD51 and MDM2 acting in the tumor suppressor, DNA repair and p53 pathways as risk factors for familial breast cancer in 147 patients displaying characteristics of familial disease, was investigated. PMID: 20358297
- A novel tumor suppressor gene [ARLTS1 (ADP-ribosylation factor-like tumor suppressor gene 1)]is found to be altered in human carcinogenesis. It is located in Chromosome 13q14.3. PMID: 18375053
- A genetic variant of ARLTS1 predisposes patients to familial cancer. PMID: 15843669
- the G446A in ARLTS1 gene is probably not associated with an increased risk of sporadic breast cancer, prostate cancer, melanoma, thyroid papillary cancer or laryngeal cancer PMID: 16570116
- The study does not support the postulate that variants of ARLTS1 influence the risk of chronic lymphocytic leukemia(CLL). PMID: 16581122
- While ARLTS1 Trp149Stop did not influence melanoma risk (OR = 0.83, 95% CI = 0.37-1.88, p = 0.65), Cys148Arg revealed a statistically significant association with an increased risk for heterozygous carriers (OR = 1.43, 95% CI = 1.05-1.95, p = 0.02) PMID: 16646072
- we found no association of ARLTS1 polymorphisms and risk for familial chronic lymphocytic leukaemia PMID: 17391501
- Cysteine148Arginine variant is associated with a moderately increased risk of colorectal cancer, both in sporadic and familial cases. PMID: 17449901
- 650 transcripts expressed after restoration of ARLTS1 expression were identified in A549 cells, suggesting that pathways involved in cell survival, proliferation, signaling, and development mediate the effects of wild-type ARLTS1 in lung cancer. PMID: 17699778
- ARLTS1 germline variants are not associated with breast, prostate, and colorectal cancer PMID: 18337727
- Data show a significantly increased risk of familial OC for ARLTS1 Cys148Arg variant, which indicate that ARLTS1 may play a role in familial ovarian cancer. PMID: 19509554
顯示更多
收起更多
-
相關疾病:Leukemia, chronic lymphocytic (CLL)
-
蛋白家族:Small GTPase superfamily, Arf family
-
組織特異性:Expressed in lung and leukocytes.
-
數據庫鏈接:
Most popular with customers
-
-
YWHAB Recombinant Monoclonal Antibody
Applications: ELISA, WB, IHC, IF, FC
Species Reactivity: Human, Mouse, Rat
-
Phospho-YAP1 (S127) Recombinant Monoclonal Antibody
Applications: ELISA, WB, IHC
Species Reactivity: Human
-
-
-
-
-















