ARSE Antibody
-
中文名稱:ARSE兔多克隆抗體
-
貨號:CSB-PA002146LA01HU
-
規格:¥440
-
圖片:
-
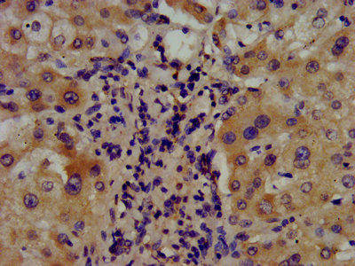
IHC image of CSB-PA002146LA01HU diluted at 1:400 and staining in paraffin-embedded human liver tissue performed on a Leica BondTM system. After dewaxing and hydration, antigen retrieval was mediated by high pressure in a citrate buffer (pH 6.0). Section was blocked with 10% normal goat serum 30min at RT. Then primary antibody (1% BSA) was incubated at 4°C overnight. The primary is detected by a biotinylated secondary antibody and visualized using an HRP conjugated SP system.
-
IHC image of CSB-PA002146LA01HU diluted at 1:400 and staining in paraffin-embedded human pancreatic tissue performed on a Leica BondTM system. After dewaxing and hydration, antigen retrieval was mediated by high pressure in a citrate buffer (pH 6.0). Section was blocked with 10% normal goat serum 30min at RT. Then primary antibody (1% BSA) was incubated at 4°C overnight. The primary is detected by a biotinylated secondary antibody and visualized using an HRP conjugated SP system.
-
-
其他:
產品詳情
-
產品名稱:Rabbit anti-Homo sapiens (Human) ARSE Polyclonal antibody
-
Uniprot No.:
-
基因名:ARSE
-
別名:ARSL antibody; ARSE antibody; Arylsulfatase L antibody; EC 3.1.6.- antibody; Arylsulfatase E antibody; ASE antibody
-
宿主:Rabbit
-
反應種屬:Human
-
免疫原:Recombinant Human Arylsulfatase E protein (352-494AA)
-
免疫原種屬:Homo sapiens (Human)
-
標記方式:Non-conjugated
本頁面中的產品,ARSE Antibody (CSB-PA002146LA01HU),的標記方式是Non-conjugated。對于ARSE Antibody,我們還提供其他標記。見下表:
-
克隆類型:Polyclonal
-
抗體亞型:IgG
-
純化方式:>95%, Protein G purified
-
濃度:It differs from different batches. Please contact us to confirm it.
-
保存緩沖液:Preservative: 0.03% Proclin 300
Constituents: 50% Glycerol, 0.01M PBS, pH 7.4 -
產品提供形式:Liquid
-
應用范圍:ELISA, IHC
-
推薦稀釋比:
Application Recommended Dilution IHC 1:200-1:500 -
Protocols:
-
儲存條件:Upon receipt, store at -20°C or -80°C. Avoid repeated freeze.
-
貨期:Basically, we can dispatch the products out in 1-3 working days after receiving your orders. Delivery time maybe differs from different purchasing way or location, please kindly consult your local distributors for specific delivery time.
-
用途:For Research Use Only. Not for use in diagnostic or therapeutic procedures.
相關產品
靶點詳情
-
功能:Exhibits arylsulfatase activity towards the artifical substrate 4-methylumbelliferyl sulfate. May be essential for the correct composition of cartilage and bone matrix during development. Has no activity toward steroid sulfates.
-
基因功能參考文獻:
- Data indicate that the neonatal detection test sensitivity obtained was 95% with a positive predictive value of 1 in the analyses for both the arylsulfatase E (ARSE) and melanoma antigen family H1 (MAGEH1) genes. PMID: 25366798
- Results show that Around 40 perdcent of male patients with brachytelephalangic chondrodysplasia punctata do not have detectable ARSE mutations or known maternal etiological factors. PMID: 23470839
- Clinical and molecular analysis of ARSE in CDPX1 patients supports heterogeneity for CDPX1-like phenotypes and sorting these out will help to define the biological pathway and genetic contributors. [ARSE] PMID: 18348268
-
相關疾病:Chondrodysplasia punctata 1, X-linked recessive (CDPX1)
-
亞細胞定位:Golgi apparatus, Golgi stack.
-
蛋白家族:Sulfatase family
-
組織特異性:Expressed in the pancreas, liver and kidney.
-
數據庫鏈接:
Most popular with customers
-
-
YWHAB Recombinant Monoclonal Antibody
Applications: ELISA, WB, IHC, IF, FC
Species Reactivity: Human, Mouse, Rat
-
Phospho-YAP1 (S127) Recombinant Monoclonal Antibody
Applications: ELISA, WB, IHC
Species Reactivity: Human
-
-
-
-
-















