ARSK Antibody
-
中文名稱:ARSK兔多克隆抗體
-
貨號:CSB-PA906091
-
規格:¥1100
-
圖片:
-
The image on the left is immunohistochemistry of paraffin-embedded Human cervical cancer tissue using CSB-PA906091(ARSK Antibody) at dilution 1/20, on the right is treated with fusion protein. (Original magnification: ×200)
-
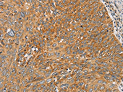
The image on the left is immunohistochemistry of paraffin-embedded Human liver cancer tissue using CSB-PA906091(ARSK Antibody) at dilution 1/20, on the right is treated with fusion protein. (Original magnification: ×200)
-
-
其他:
產品詳情
-
Uniprot No.:
-
基因名:ARSK
-
別名:arsk antibody; ARSK_HUMAN antibody; arylsulfatase family member K antibody; Arylsulfatase K antibody; Arylsulfatase K precursor antibody; ASK antibody; DKFZp313G1735 antibody; OTTHUMP00000149978 antibody; Telethon sulfatase antibody; TSULF antibody
-
宿主:Rabbit
-
反應種屬:Human,Mouse,Rat
-
免疫原:Fusion protein of Human ARSK
-
免疫原種屬:Homo sapiens (Human)
-
標記方式:Non-conjugated
-
抗體亞型:IgG
-
純化方式:Antigen affinity purification
-
濃度:It differs from different batches. Please contact us to confirm it.
-
保存緩沖液:-20°C, pH7.4 PBS, 0.05% NaN3, 40% Glycerol
-
產品提供形式:Liquid
-
應用范圍:ELISA,IHC
-
推薦稀釋比:
Application Recommended Dilution ELISA 1:2000-1:5000 IHC 1:25-1:100 -
Protocols:
-
儲存條件:Upon receipt, store at -20°C or -80°C. Avoid repeated freeze.
-
貨期:Basically, we can dispatch the products out in 1-3 working days after receiving your orders. Delivery time maybe differs from different purchasing way or location, please kindly consult your local distributors for specific delivery time.
-
用途:For Research Use Only. Not for use in diagnostic or therapeutic procedures.
相關產品
靶點詳情
-
功能:Catalyzes the hydrolysis of pseudosubstrates such as p-nitrocatechol sulfate and p-nitrophenyl sulfate. Catalyzes the hydrolysis of the 2-sulfate groups of the 2-O-sulfo-D-glucuronate residues of chondroitin sulfate, heparin and heparitin sulfate. Acts selectively on 2-sulfoglucuronate and lacks activity against 2-sulfoiduronate.
-
基因功能參考文獻:
- Arylsulfatase K, a novel lysosomal sulfatase. PMID: 23986440
-
亞細胞定位:Secreted. Lysosome.
-
蛋白家族:Sulfatase family
-
組織特異性:Expressed at high levels in the placenta and pancreas. Expressed at intermediate levels in the lung, brain, heart, liver and kidney and at low levels in the muscle.
-
數據庫鏈接:
Most popular with customers
-
YWHAB Recombinant Monoclonal Antibody
Applications: ELISA, WB, IHC, IF, FC
Species Reactivity: Human, Mouse, Rat
-
Phospho-YAP1 (S127) Recombinant Monoclonal Antibody
Applications: ELISA, WB, IHC
Species Reactivity: Human
-
-
-
-
-
-















