ART3 Antibody
-
中文名稱:ART3兔多克隆抗體
-
貨號:CSB-PA278026
-
規格:¥1100
-
圖片:
-
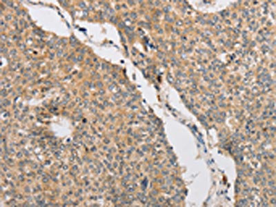
The image on the left is immunohistochemistry of paraffin-embedded Human thyroid cancer tissue using CSB-PA278026(ART3 Antibody) at dilution 1/40, on the right is treated with fusion protein. (Original magnification: ×200)
-
The image on the left is immunohistochemistry of paraffin-embedded Human lung cancer tissue using CSB-PA278026(ART3 Antibody) at dilution 1/40, on the right is treated with fusion protein. (Original magnification: ×200)
-
-
其他:
產品詳情
-
Uniprot No.:
-
基因名:ART3
-
別名:ADP ribosyltransferase 3 antibody; ART 3 antibody; Art3 antibody; Ecto-ADP-ribosyltransferase 3 antibody; FLJ26404 antibody; mono ADP ribosyltransferase antibody; Mono(ADP-ribosyl)transferase 3 antibody; NAD(P)(+)--arginine ADP-ribosyltransferase 3 antibody; NAR3_HUMAN antibody; OTTHUMP00000160603 antibody; OTTHUMP00000160604 antibody; OTTHUMP00000219067 antibody; OTTHUMP00000219069 antibody; OTTHUMP00000219070 antibody; TMART antibody
-
宿主:Rabbit
-
反應種屬:Human
-
免疫原:Fusion protein of Human ART3
-
免疫原種屬:Homo sapiens (Human)
-
標記方式:Non-conjugated
-
抗體亞型:IgG
-
純化方式:Antigen affinity purification
-
濃度:It differs from different batches. Please contact us to confirm it.
-
保存緩沖液:-20°C, pH7.4 PBS, 0.05% NaN3, 40% Glycerol
-
產品提供形式:Liquid
-
應用范圍:ELISA,IHC
-
推薦稀釋比:
Application Recommended Dilution ELISA 1:1000-1:5000 IHC 1:50-1:200 -
Protocols:
-
儲存條件:Upon receipt, store at -20°C or -80°C. Avoid repeated freeze.
-
貨期:Basically, we can dispatch the products out in 1-3 working days after receiving your orders. Delivery time maybe differs from different purchasing way or location, please kindly consult your local distributors for specific delivery time.
-
用途:For Research Use Only. Not for use in diagnostic or therapeutic procedures.
相關產品
靶點詳情
-
基因功能參考文獻:
- knockdown of ART3 in breast cancer cells inhibited cell proliferation and invasion. PMID: 27374177
- ART3 protein is expressed in testes in particular on spermatocytes, indicating that ART3 exerts a specific function only required at a particular stage of spermatogenesis. PMID: 16625277
- ART3 expression appears to be governed by a combination of differential splicing and tissue-preferential use of two alternative promoters. PMID: 16934346
- genome-wide gene expression analyses were used to identify genes involved in the pathogenesis of non-obstructive azoospermia, and ART3 was subsequently identified as a susceptibility gene PMID: 18266473
-
亞細胞定位:Cell membrane; Lipid-anchor, GPI-anchor.
-
蛋白家族:Arg-specific ADP-ribosyltransferase family
-
組織特異性:Testis specific.
-
數據庫鏈接:
Most popular with customers
-
-
YWHAB Recombinant Monoclonal Antibody
Applications: ELISA, WB, IHC, IF, FC
Species Reactivity: Human, Mouse, Rat
-
Phospho-YAP1 (S127) Recombinant Monoclonal Antibody
Applications: ELISA, WB, IHC
Species Reactivity: Human
-
-
-
-
-















