ART4 Antibody
-
中文名稱:ART4兔多克隆抗體
-
貨號:CSB-PA060806
-
規格:¥1100
-
圖片:
-
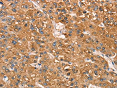
The image on the left is immunohistochemistry of paraffin-embedded Human liver cancer tissue using CSB-PA060806(ART4 Antibody) at dilution 1/50, on the right is treated with synthetic peptide. (Original magnification: ×200)
-
The image on the left is immunohistochemistry of paraffin-embedded Human thyroid cancer tissue using CSB-PA060806(ART4 Antibody) at dilution 1/50, on the right is treated with synthetic peptide. (Original magnification: ×200)
-
Gel: 10%SDS-PAGE, Lysate: 40 μg, Lane: Human placenta tissue, Primary antibody: CSB-PA060806(ART4 Antibody) at dilution 1/1000, Secondary antibody: Goat anti rabbit IgG at 1/8000 dilution, Exposure time: 2 minutes
-
-
其他:
產品詳情
-
Uniprot No.:
-
基因名:ART4
-
別名:ART4 antibody; DO antibody; DOK1 antibody; Ecto-ADP-ribosyltransferase 4 antibody; EC 2.4.2.31 antibody; ADP-ribosyltransferase C2 and C3 toxin-like 4 antibody; ARTC4 antibody; Dombrock blood group carrier molecule antibody; Mono(ADP-ribosyl)transferase 4 antibody; NAD(P)(+)--arginine ADP-ribosyltransferase 4 antibody; CD antigen CD297 antibody
-
宿主:Rabbit
-
反應種屬:Human
-
免疫原:Synthetic peptide of Human ART4
-
免疫原種屬:Homo sapiens (Human)
-
標記方式:Non-conjugated
-
抗體亞型:IgG
-
純化方式:Antigen affinity purification
-
濃度:It differs from different batches. Please contact us to confirm it.
-
保存緩沖液:-20°C, pH7.4 PBS, 0.05% NaN3, 40% Glycerol
-
產品提供形式:Liquid
-
應用范圍:ELISA,WB,IHC
-
推薦稀釋比:
Application Recommended Dilution ELISA 1:2000-1:10000 WB 1:1000-1:5000 IHC 1:50-1:200 -
Protocols:
-
儲存條件:Upon receipt, store at -20°C or -80°C. Avoid repeated freeze.
-
貨期:Basically, we can dispatch the products out in 1-3 working days after receiving your orders. Delivery time maybe differs from different purchasing way or location, please kindly consult your local distributors for specific delivery time.
-
用途:For Research Use Only. Not for use in diagnostic or therapeutic procedures.
相關產品
靶點詳情
-
基因功能參考文獻:
- Characterization of two novel DO*B alleles highlights the value of testing selected ethnic groups in understanding DO allele diversity. PMID: 25988428
- The production, serologic evaluation, and epitope mapping of ten murine monoclonal Dombrock antibodies. PMID: 23421541
- Dombrock genotyping in a native Congolese cohort reveals two novel alleles. PMID: 19413734
- The Dombrock blood group system PMID: 20932078
- Expression of ART4 was analyzed in mononuclear leukocytes. PMID: 16140404
顯示更多
收起更多
-
亞細胞定位:Cell membrane; Lipid-anchor, GPI-anchor.
-
蛋白家族:Arg-specific ADP-ribosyltransferase family
-
組織特異性:Expressed in spleen and T-cells.
-
數據庫鏈接:
Most popular with customers
-
-
YWHAB Recombinant Monoclonal Antibody
Applications: ELISA, WB, IHC, IF, FC
Species Reactivity: Human, Mouse, Rat
-
Phospho-YAP1 (S127) Recombinant Monoclonal Antibody
Applications: ELISA, WB, IHC
Species Reactivity: Human
-
-
-
-
-















