ARX Antibody
-
中文名稱:ARX兔多克隆抗體
-
貨號:CSB-PA850418LA01HU
-
規格:¥440
-
圖片:
-
Western Blot
Positive WB detected in: Jurkat whole cell lysate, HL60 whole cell lysate, Rat brain tissue, Mouse brain tissue
All lanes: ARX antibody at 2.7μg/ml
Secondary
Goat polyclonal to rabbit IgG at 1/50000 dilution
Predicted band size: 59 kDa
Observed band size: 59 kDa -
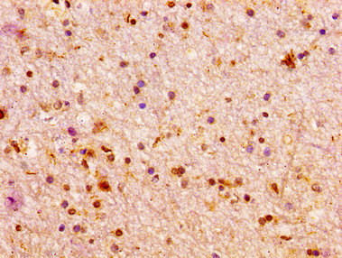
IHC image of CSB-PA850418LA01HU diluted at 1:100 and staining in paraffin-embedded human brain tissue performed on a Leica BondTM system. After dewaxing and hydration, antigen retrieval was mediated by high pressure in a citrate buffer (pH 6.0). Section was blocked with 10% normal goat serum 30min at RT. Then primary antibody (1% BSA) was incubated at 4°C overnight. The primary is detected by a biotinylated secondary antibody and visualized using an HRP conjugated SP system.
-
Western Blot
Positive WB detected in: PC-3 whole cell lysate, A549 whole cell lysate
All lanes: ARX antibody at 1:2000
Secondary
Goat polyclonal to rabbit IgG at 1/50000 dilution
Predicted band size: 59 kDa
Observed band size: 59 kDa
-
-
其他:
產品詳情
-
產品描述:
The ARX antibody CSB-PA850418LA01HU is an unconjugated rabbit polyclonal antibody against the ARX protein. It is produced in the rabbit immunized with a partial recombinant protein mapping within amino acids 381-460 of human ARX. It is reactive with human, rat, and mouse samples. This ARX antibody has been validated for use in ELISA, IHC, and WB applications. It is available as the IgG isoform. And it undergoes protein G purification, and its purity is greater than 95%.
ARX is a transcription factor that plays a critical role in the development and function of the nervous system. During development, ARX controls the differentiation and migration of neuronal progenitor cells, the formation and patterning of neural circuits, and the specification of neuronal subtypes. Its dysregulation can lead to several developmental disorders and neurological abnormalities.
-
產品名稱:Rabbit anti-Homo sapiens (Human) ARX Polyclonal antibody
-
Uniprot No.:
-
基因名:ARX
-
別名:Aristaless related homeobox gene antibody; Aristaless-related homeobox antibody; Arx antibody; ARX_HUMAN antibody; Homeobox protein ARX antibody; ISSX antibody; MRX29 antibody; MRX32 antibody; MRX33 antibody; MRX36 antibody; MRX38 antibody; MRX43 antibody; MRX54 antibody; MRXS1 antibody; phox2a antibody; PRTS antibody
-
宿主:Rabbit
-
反應種屬:Human, Rat, Mouse
-
免疫原:Recombinant Human Homeobox protein ARX protein (381-460AA)
-
免疫原種屬:Homo sapiens (Human)
-
標記方式:Non-conjugated
本頁面中的產品,ARX Antibody (CSB-PA850418LA01HU),的標記方式是Non-conjugated。對于ARX Antibody,我們還提供其他標記。見下表:
-
克隆類型:Polyclonal
-
抗體亞型:IgG
-
純化方式:>95%, Protein G purified
-
濃度:It differs from different batches. Please contact us to confirm it.
-
保存緩沖液:Preservative: 0.03% Proclin 300
Constituents: 50% Glycerol, 0.01M PBS, pH 7.4 -
產品提供形式:Liquid
-
應用范圍:ELISA, WB, IHC
-
推薦稀釋比:
Application Recommended Dilution WB 1:500-1:5000 IHC 1:20-1:200 -
Protocols:
-
儲存條件:Upon receipt, store at -20°C or -80°C. Avoid repeated freeze.
-
貨期:Basically, we can dispatch the products out in 1-3 working days after receiving your orders. Delivery time maybe differs from different purchasing way or location, please kindly consult your local distributors for specific delivery time.
-
用途:For Research Use Only. Not for use in diagnostic or therapeutic procedures.
相關產品
靶點詳情
-
功能:Transcription factor required for normal brain development. May be important for maintenance of specific neuronal subtypes in the cerebral cortex and axonal guidance in the floor plate.
-
基因功能參考文獻:
- ARX gene mutation c.88G>T is associated with X-Linked intellectual disability. PMID: 29896742
- ARX is not associated with endometriosis and cannot be used as a biomarker for ovarian endometriosis. ARX is present in ovarian stroma and cells derived from ovarian stroma as well as in all types of sex cord-stromal tumors of the ovary. PMID: 29275192
- Arx and Dnmt1 that are sufficient for achieving targeted generation of beta cells from adult pancreatic alpha cells. PMID: 28215845
- We review the reported phenotypes of females with mutations in ARX and highlight the importance of screening ARX in male and female patients with ID, seizures, and in particular with complete ACC. PMID: 28150386
- We propose a core pathway of transcription regulators, including Hdac4, involved in chromatin condensation and transcriptional repression, and one of its targets, the transcription factor Twist1, as potential drivers of the ID and infantile spasms in patients with ARX polyalanine expansion mutations PMID: 27798109
- ARX inhibition in expanded alpha-cell-derived cells treated with RC did not cause their transdifferentiation into insulin-producing cells. PMID: 26856418
- Novel c.34G>T (p.(E12*)) variant was identified in the ARX gene in two male patients with early-onset infantile spasms. This variant reinitiated mRNA translation at the next AUG codon. PMID: 26306640
- ARX plays a key role in pancreatic endocrine fate specification of pancreatic polypeptide, somatostatin, glucagon and insulin positive cells from human embryonic stem cells. PMID: 26633894
- The data of this study suggested that some of the structural and behavioral anomalies, common in patients with ARX mutations, are specifically due to alterations in pallial progenitor function. PMID: 24794919
- Neurodevelopmental disturbances in the patients may not simply arise from increased dosage due to ARX duplication. PMID: 26337422
- an expansion of 7 alanines in the first polyalanine tract of both human ARX and mouse Arx altered enteroendocrine differentiation; conclude ARX/Arx is required for the specification of a subset of enteroendocrine cells in both humans and mice PMID: 25171319
- ARX duplication does not inevitably have detrimental effects on brain development, in contrast with the effects of ARX haploinsufficiency. PMID: 25044608
- indings suggest that the ARX c.429_452dup24 mutation may be a developmental model for Limb Kinetic Apraxia PMID: 24528893
- nonmalformation phenotype with intellectual disability and dystonia is caused by a ARX missense mutation located outside the regions coding polyA tracts PMID: 23657928
- This study demonistrated that ARX polyalanine expansion modifies glutamatergic neurons excitability and morphology without affecting GABAergic neurons development. PMID: 22628459
- aberrations of CDKL5 and ARX combined are an important consideration in the genetic forms of early-onset epilepsy in boys PMID: 23583054
- a novel and conserved role of Arx in mammalian endocrine cell development PMID: 22387004
- We found a significant deviation from the expected Mendelian 1:1 ratio of transmission in favour of the c.429_452dup ARX mutation. PMID: 22490986
- A spectrum of mutations in the Aristaless-Related Homeobox gene (ARX) has been linked to -linked Infantile Spasms Syndrome. PMID: 22565167
- Novel ARX mutation in 3 brothers associates with mild developmental delay and early hand preference. PMID: 22922607
- One patient in a Turkish family representing non-syndromic X-linked mental retardation shows an abnormal band pattern on agarose gel; sequence analysis of exon 2 of ARX reveals that the patient has the c.428_451 dup(24bp) mutation. PMID: 23072184
- The missense mutations in the ARX homeodomain represent loss-of-function mutations, which lead to a reduced or complete loss of DNA binding and as a consequence, a loss of transcriptional repression. PMID: 22194193
- The authors suggest that molecular analysis of ARX mutations as a second cause of X-linked intellectual disability (XLID) should be considered as a routine diagnostic procedure in any male who presents with either nonsyndromic or syndromic XLID. PMID: 22642246
- These data indicate that mutations in the ARX homeodomain result in not only a loss of DNA binding activity but also loss of transcriptional repression activity. PMID: 22252899
- protein mislocalization of the homeodomain mutations correlated with clinical severity of non-syndromic intellectual disability PMID: 21496008
- This study confirmed the pivotal role of the aristaless related homeobox in the pathogenesis of epileptic encephalopathies PMID: 21482751
- study described a novel ARX mutation in a family, leading to Ohtahara syndrome with abnormal genital and psychomotor development (OAGPD) in a male infant, and neurocognitive/psychiatric phenomena in heterozygous, carrier females PMID: 21426321
- ARX polyA expansions are primarily associated with syndromic mental retardation. PMID: 21204215
- Contractions in the second polyA tract of ARX are rare, non-pathogenic polymorphisms. PMID: 21204226
- 2 male individuals, born from monozygotic twin sisters, with Ohtahara syndrome that evolved into West syndrome phenotype and epileptic encephalopathy; previously unreported missense mutation in exon 5 of ARX gene (c.1604T>A) was found in both children PMID: 21108397
- ARX contributes not only to endocrine development, but also to exocrine development of the human pancreas, and its deficiency may lead to the severe phenotypes of X-linked lissencephaly with abnormal genitalia patients. PMID: 20538404
- novel frameshift mutations in the terminal exon of the ARX gene (Ala524fsX534 and E536fsX672) were identified in 2 Ohtahara syndrome patients (2 and 13 years, each) from 2 families PMID: 20384723
- This review aims to provide a catalog of the currently known mutations in ARX and associated clinical phenotypes. PMID: 20506206
- Results describe three cases of mental retardation in two different families where the mutation in aristaless-related homeobox (ARX) gene c.428_451 dup24 was found while X-fragile syndrome screening was made. PMID: 19085879
- Findings widen the spectrum of clinical phenotypes because of mutations in the ARX gene, but also emphasize the molecular pathogenetic effect of individual mutations. PMID: 19738637
- Expression is specific to the telencephalon and thalamus. Mutations cause mental retardation without brain malformations. PMID: 11971879
- data suggest mutations in the ARX gene are important causes of mental retardation, often associated with diverse neurological manifestations PMID: 12142061
- A new syndrome of X-linked myoclonic epilepsy with generalized spasticity and intellectual disability in boys (XMESID) has been described and a novel missense mutation (1058C>T) identified in the ARX open reading frame. PMID: 12177367
- The expression pattern suggests that ARX is involved in the differentiation and maintenance of specific neuronal cell types in the central nervous system. PMID: 12359145
- ARX plays a role in causing X-linked lissencephaly with abnormal genitalia PMID: 12379852
- Disruption of the STK9 gene causes severe X-linked infantile spasms and mental retardation. PMID: 12736870
- 2 point mutations (790delC & R332C) in 2 X-linked lissencephaly with abnormal genitalia pedigrees affect the homeodomain of the protein & confirm that ARX is a causative gene for XLAG. PMID: 12874405
- A hemizygous 24-bp duplication in exon 2 (441_464dup)results in expansion from 12 to 20 alanine residues (A155_W156insAAAAAAAA) in the second of four polyalanine tracts in the ARX protein, causing West syndrome. PMID: 12874418
- Thirteen novel mutations found in ARX gene in 20 males with X-linked lissencephaly with abnormal genitalia. PMID: 14722918
- expansions in one of the ARX polyA tracts results in nuclear protein aggregation and an increase in cell death; likely underlying the pathogenesis of the associated infantile spasms and mental retardation PMID: 15533998
- Mutations in the ARX gene can result in many different phenotypes, including phenotypes associated with severe brain malformations and less severe phenotypes associated with syndromic or non-syndromic forms of x-linked mental retadation. PMID: 15707237
- Familial West syndrome and dystonia caused by an Aristaless related homeobox gene mutation (ARX) PMID: 15726411
- Four nonsyndromic XLMR families were found to have a 24 base pair duplication mutation in exon 2 of ARX. PMID: 15850492
- Results confirm the significant contribution of ARX mutations in the etiology of X-linked mental retardation (XLMR), and imply that screening for c.428-451 dup (24 bp) mutation should be recommended in all patients with suspected XLMR. PMID: 16523516
- These results reinforce the idea that ARX mutations are relevant to mental retardation and are indicative that molecular screening of exon 2 should be considered in males with mental retardation of unknown etiology. PMID: 16845484
顯示更多
收起更多
-
相關疾病:Lissencephaly, X-linked 2 (LISX2); Epileptic encephalopathy, early infantile, 1 (EIEE1); Partington syndrome (PRTS); Mental retardation, X-linked, ARX-related (MRXARX); Agenesis of the corpus callosum, with abnormal genitalia (ACCAG)
-
亞細胞定位:Nucleus.
-
蛋白家族:Paired homeobox family, Bicoid subfamily
-
組織特異性:Expressed predominantly in fetal and adult brain and skeletal muscle. Expression is specific to the telencephalon and ventral thalamus. There is an absence of expression in the cerebellum throughout development and also in adult.
-
數據庫鏈接:
Most popular with customers
-
-
YWHAB Recombinant Monoclonal Antibody
Applications: ELISA, WB, IHC, IF, FC
Species Reactivity: Human, Mouse, Rat
-
Phospho-YAP1 (S127) Recombinant Monoclonal Antibody
Applications: ELISA, WB, IHC
Species Reactivity: Human
-
-
-
-
-















