ASAH2 Antibody
-
中文名稱:ASAH2兔多克隆抗體
-
貨號:CSB-PA002170EA01HU
-
規格:¥440
-
圖片:
-
Western Blot
Positive WB detected in: Hela whole cell lysate, Rat stomach tissue
All lanes: ASAH2 antibody at 3µg/ml
Secondary
Goat polyclonal to rabbit IgG at 1/50000 dilution
Predicted band size: 86, 82 kDa
Observed band size: 86 kDa -
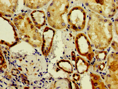
Immunohistochemistry of paraffin-embedded human kidney tissue using CSB-PA002170EA01HU at dilution of 1:100
-
Immunofluorescence staining of 293 cells with CSB-PA002170EA01HU at 1:200, counter-stained with DAPI. The cells were fixed in 4% formaldehyde, permeabilized using 0.2% Triton X-100 and blocked in 10% normal Goat Serum. The cells were then incubated with the antibody overnight at 4°C. The secondary antibody was Alexa Fluor 488-congugated AffiniPure Goat Anti-Rabbit IgG(H+L).
-
-
其他:
產品詳情
-
產品名稱:Rabbit anti-Homo sapiens (Human) ASAH2 Polyclonal antibody
-
Uniprot No.:
-
基因名:ASAH2
-
別名:Acylsphingosine deacylase 2 antibody; AI585898 antibody; ASAH2 antibody; ASAH2_HUMAN antibody; BCDase antibody; hCD antibody; HNAC1 antibody; LCDase antibody; MGC129777 antibody; mitochondrial ceramidase antibody; N acylsphingosine amidohydrolase (non lysosomal ceramidase) 2 antibody; N acylsphingosine amidohydrolase 2 antibody; N CDase antibody; N-acylsphingosine amidohydrolase 2 antibody; N-CDase antibody; NCDase antibody; Neutral ceramidase soluble form antibody; Non lysosomal ceramidase antibody; Non-lysosomal ceramidase antibody
-
宿主:Rabbit
-
反應種屬:Human, Rat
-
免疫原:Recombinant Human Neutral ceramidase protein (255-506AA)
-
免疫原種屬:Homo sapiens (Human)
-
標記方式:Non-conjugated
本頁面中的產品,ASAH2 Antibody (CSB-PA002170EA01HU),的標記方式是Non-conjugated。對于ASAH2 Antibody,我們還提供其他標記。見下表:
-
克隆類型:Polyclonal
-
抗體亞型:IgG
-
純化方式:>95%, Protein G purified
-
濃度:It differs from different batches. Please contact us to confirm it.
-
保存緩沖液:Preservative: 0.03% Proclin 300
Constituents: 50% Glycerol, 0.01M PBS, PH 7.4 -
產品提供形式:Liquid
-
應用范圍:ELISA, WB, IHC, IF
-
推薦稀釋比:
Application Recommended Dilution WB 1:500-1:5000 IHC 1:20-1:200 IF 1:50-1:500 -
Protocols:
-
儲存條件:Upon receipt, store at -20°C or -80°C. Avoid repeated freeze.
-
貨期:Basically, we can dispatch the products out in 1-3 working days after receiving your orders. Delivery time maybe differs from different purchasing way or location, please kindly consult your local distributors for specific delivery time.
-
用途:For Research Use Only. Not for use in diagnostic or therapeutic procedures.
相關產品
靶點詳情
-
功能:Plasma membrane ceramidase that hydrolyzes sphingolipid ceramides into sphingosine and free fatty acids at neutral pH. Ceramides, sphingosine, and its phosphorylated form sphingosine-1-phosphate are bioactive lipids that mediate cellular signaling pathways regulating several biological processes including cell proliferation, apoptosis and differentiation. Also catalyzes the reverse reaction allowing the synthesis of ceramides from fatty acids and sphingosine. Together with sphingomyelinase, participates in the production of sphingosine and sphingosine-1-phosphate from the degradation of sphingomyelin, a sphingolipid enriched in the plasma membrane of cells. Also participates in the hydrolysis of ceramides from the extracellular milieu allowing the production of sphingosine-1-phosphate inside and outside cells. This is the case for instance with the digestion of dietary sphingolipids in the intestinal tract.
-
基因功能參考文獻:
- The structural basis for ceramide recognition and hydrolysis by human neutral ceramidase has been uncovered. PMID: 26190575
- These results demonstrate for the first time that adiponectin inhibits TNFalpha-induced inflammatory response via Cav1-mediated ceramidase recruitment and activation in an AdipoR1-dependent fashion. PMID: 24397980
- cloned a 3000 bp region upstream of the translational start site of the nCDase gene PMID: 21531200
- c-Jun/AP-1 signaling may, in part, regulate serum-induced nCDase gene transcription PMID: 21530485
- Both acidic ceramidase (aCDase) and neutral ceramidase (nCDase) activities declined after low- and high-UVB, but returned to normal only in low-UVB cells PMID: 20520628
- Blocking acid ceramidase but not sphingosine kinase activity in alveolar macrophages led to decreased ERK and Akt activity and induction of cell death. PMID: 15210766
- Neutral ceramidase is localized mainly in plasma membranes. PMID: 15845354
- the present study identified a novel amidase sequence containing a critical serine residue that may function as a nucleophile in the hydrolytic attack on the amide bond present in ceramide PMID: 16229686
- Important for the generation of sphgosine 1 phosphqte (S1P) and S1P-mediated cell proliferation and survival. PMID: 16940153
- the purification and characterization of neutral ceramidase from human ileostomy content, using octanoyl-[(14)C]sphingosine as substrate PMID: 17475390
- serine palmitoyltransferase and ceramidase are two major ceramide metabolizing enzymes that may have roles in psoriatic epidermis PMID: 17982236
顯示更多
收起更多
-
亞細胞定位:[Neutral ceramidase]: Cell membrane; Single-pass type II membrane protein. Membrane raft; Single-pass type II membrane protein. Membrane, caveola; Single-pass type II membrane protein. Golgi apparatus membrane; Single-pass type II membrane protein. Mitochondrion. Secreted, extracellular exosome.; [Neutral ceramidase soluble form]: Secreted.
-
蛋白家族:Neutral ceramidase family
-
組織特異性:Primarily expressed in intestine. Ubiquitously expressed with higher levels in kidney, skeletal muscle and heart. The ubiquitous expression observed for ASAH2 might be an experimental artifact due to the paralog ASAH2B.
-
數據庫鏈接:
Most popular with customers
-
-
Phospho-YAP1 (S127) Recombinant Monoclonal Antibody
Applications: ELISA, WB, IHC
Species Reactivity: Human
-
-
-
-
-
-















