ASF1B Antibody
-
中文名稱:ASF1B兔多克隆抗體
-
貨號:CSB-PA878898LA01HU
-
規格:¥440
-
圖片:
-
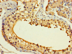
Immunohistochemistry of paraffin-embedded human testis tissue using CSB-PA878898LA01HU at dilution of 1:100
-
Immunohistochemistry of paraffin-embedded human tonsil tissue using CSB-PA878898LA01HU at dilution of 1:100
-
Western blot
All lanes: ASF1B antibody at 13µg/ml
Lane 1: MCF-7 whole cell lysate
Lane 2: Jurkat whole cell lysate
Secondary
Goat polyclonal to rabbit IgG at 1/10000 dilution
Predicted band size: 23 kDa
Observed band size: 23 kDa
-
-
其他:
產品詳情
-
產品描述:
The ASF1B antibody is prepared by immunizing rabbits with the recombinant human Histone chaperone ASF1B protein (1-202AA) and by purifying rabbit antiserum by protein G. It is a polyclonal antibody and exists an unconjugated IgG. Protein G purified ASF1B antibody reaches up to 95% in purity. It is only reactive with human ASF1B protein, which is limited to proliferating tissue and is greatly reduced in terminally differentiated and quiescent cells. The ASF1B protein is involved in cell proliferation. This ASF1B antibody is suitable for the detection of ELISA, WB, and IHC applications.
-
產品名稱:Rabbit anti-Homo sapiens (Human) ASF1B Polyclonal antibody
-
Uniprot No.:
-
基因名:ASF1B
-
別名:Anti silencing function 1B antibody; Anti silencing function 1B histone chaperone antibody; Anti-silencing function protein 1 homolog B antibody; ASF1 anti silencing function 1 homolog B (S. cerevisiae) antibody; ASF1 anti silencing function 1 homolog B antibody; ASF1B antibody; ASF1B_HUMAN antibody; CCG1 interacting factor A II antibody; CCG1-interacting factor A-II antibody; CIA-II antibody; hAsf1 antibody; hAsf1b antibody; hCIA-II antibody; Histone chaperone ASF1B antibody
-
宿主:Rabbit
-
反應種屬:Human
-
免疫原:Recombinant Human Histone chaperone ASF1B protein (1-202AA)
-
免疫原種屬:Homo sapiens (Human)
-
標記方式:Non-conjugated
本頁面中的產品,ASF1B Antibody (CSB-PA878898LA01HU),的標記方式是Non-conjugated。對于ASF1B Antibody,我們還提供其他標記。見下表:
-
克隆類型:Polyclonal
-
抗體亞型:IgG
-
純化方式:>95%, Protein G purified
-
濃度:It differs from different batches. Please contact us to confirm it.
-
保存緩沖液:Preservative: 0.03% Proclin 300
Constituents: 50% Glycerol, 0.01M PBS, PH 7.4 -
產品提供形式:Liquid
-
應用范圍:ELISA, WB, IHC
-
推薦稀釋比:
Application Recommended Dilution WB 1:1000-1:5000 IHC 1:20-1:200 -
Protocols:
-
儲存條件:Upon receipt, store at -20°C or -80°C. Avoid repeated freeze.
-
貨期:Basically, we can dispatch the products out in 1-3 working days after receiving your orders. Delivery time maybe differs from different purchasing way or location, please kindly consult your local distributors for specific delivery time.
-
用途:For Research Use Only. Not for use in diagnostic or therapeutic procedures.
相關產品
靶點詳情
-
功能:Histone chaperone that facilitates histone deposition and histone exchange and removal during nucleosome assembly and disassembly. Cooperates with chromatin assembly factor 1 (CAF-1) to promote replication-dependent chromatin assembly. Does not participate in replication-independent nucleosome deposition which is mediated by ASF1A and HIRA. Required for spermatogenesis.
-
基因功能參考文獻:
- histone binding to ASF1B is required for the induction of beta-cell proliferation. PMID: 27753532
- Data indicate Tousled-like kinases (TLK1) phosphorylation has an impact on cell cycle proteins Asf1a and Asf1b function. PMID: 24598821
- Co-depletion of the histone chaperones ASF1a and ASF1b in human cells induces all hallmarks of alternative lengthening of telomeres in both primary and cancer cells. PMID: 24413054
- Data indicate that miR-214 down-regulated the expression of PSMD10 (gankyrin) and ASF1B, and gankyrin inhibition induced an increase of P53 mRNA levels. PMID: 23100276
- study of the interaction of the histone H3-H4 complex with the RbAp48 and their exchange with a second histone chaperone, anti-silencing function protein 1 (ASF1); exchange of histones H3-H4 between these two histone chaperones has a central role in the assembly of new nucleosomes PMID: 23178455
- Asf1b, the necessary Asf1 isoform for proliferation, is predictive of outcome in breast cancer. PMID: 21179005
- Data show that Asf1b localizes with HCF-1 in viral replication foci and depletion of Asf1b results in significantly reduced viral DNA accumulation. PMID: 20133788
- Identify marks on histones H3-H4 bound to Asf1 and changes induced upon replication stress. PMID: 20227376
- ASF1 cellular levels are tightly controlled by distinct pathways and provide a molecular mechanism for post-translational regulation of dASF1 and hASF1a by TLK kinases. PMID: 20016786
- model is proposed in which the synergism between hAsf1 and CAF-1 for nucleosome formation during DNA repair is achieved through a transient physical interaction allowing histone delivery from Asf1 to CAF-1 [asf1(anti-silencing function 1)] PMID: 11897662
- data suggest that CIA-II is a histone chaperone and is implicated in the regulation of mammalian spermatogenesis PMID: 12842904
- Studies provide evidence for TLK1B-mediated phosphorylation of Asf1 triggering DNA repair. PMID: 17054786
- the expression of human ASF1A and ASF1B are upregulated followed by cell proliferation signal, but that of ASF1B is uniquely regulated by transcription factors E2F during cell cycle progression PMID: 17328667
- data link Asf1 chaperone function, histone supply, and replicative unwinding of DNA in chromatin; proposed that Asf1, as a histone acceptor and donor, handles parental and new histones at the replication fork via an Asf1-(H3-H4)-MCM2-7 intermediate PMID: 18096807
- ASF1A and ASF1B play a role in the efficiency of nucleosome assembly in vivo in human cells. PMID: 18378699
顯示更多
收起更多
-
亞細胞定位:Nucleus.
-
蛋白家族:ASF1 family
-
組織特異性:Highly expressed in testis and at lower levels in colon, small intestine and thymus.
-
數據庫鏈接:
Most popular with customers
-
Phospho-YAP1 (S127) Recombinant Monoclonal Antibody
Applications: ELISA, WB, IHC
Species Reactivity: Human
-
-
-
-
-
-
-















