ASIC2 Antibody
-
中文名稱:ASIC2兔多克隆抗體
-
貨號:CSB-PA613683LA01HU
-
規格:¥440
-
圖片:
-
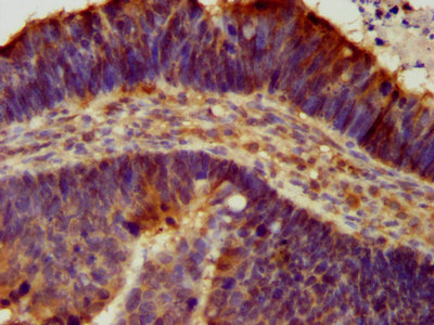
IHC image of CSB-PA613683LA01HU diluted at 1:300 and staining in paraffin-embedded human ovarian cancer performed on a Leica BondTM system. After dewaxing and hydration, antigen retrieval was mediated by high pressure in a citrate buffer (pH 6.0). Section was blocked with 10% normal goat serum 30min at RT. Then primary antibody (1% BSA) was incubated at 4°C overnight. The primary is detected by a biotinylated secondary antibody and visualized using an HRP conjugated SP system.
-
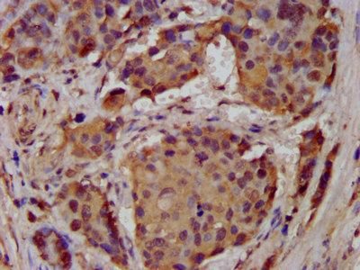
IHC image of CSB-PA613683LA01HU diluted at 1:300 and staining in paraffin-embedded human pancreatic cancer performed on a Leica BondTM system. After dewaxing and hydration, antigen retrieval was mediated by high pressure in a citrate buffer (pH 6.0). Section was blocked with 10% normal goat serum 30min at RT. Then primary antibody (1% BSA) was incubated at 4°C overnight. The primary is detected by a biotinylated secondary antibody and visualized using an HRP conjugated SP system.
-
Immunofluorescence staining of HepG2 cells with CSB-PA613683LA01HU at 1:100, counter-stained with DAPI. The cells were fixed in 4% formaldehyde, permeabilized using 0.2% Triton X-100 and blocked in 10% normal Goat Serum. The cells were then incubated with the antibody overnight at 4°C. The secondary antibody was Alexa Fluor 488-congugated AffiniPure Goat Anti-Rabbit IgG(H+L).
-
-
其他:
產品詳情
-
產品名稱:Rabbit anti-Homo sapiens (Human) ASIC2 Polyclonal antibody
-
Uniprot No.:
-
基因名:ASIC2
-
別名:ACCN antibody; ACCN1 antibody; ACCN1_HUMAN antibody; Acid sensing ion channel 2 antibody; Acid-sensing ion channel 2 antibody; Amiloride sensitive brain sodium channel antibody; Amiloride sensitive cation channel 1 neuronal (degenerin) antibody; Amiloride sensitive cation channel 1 neuronal antibody; Amiloride-sensitive brain sodium channel antibody; Amiloride-sensitive cation channel 1; neuronal antibody; Amiloride-sensitive cation channel neuronal 1 antibody; ASIC2 antibody; ASIC2a antibody; BNaC1 antibody; BNC1 antibody; Brain sodium channel 1 antibody; Degenerin antibody; hBNaC1 antibody; Mammalian degenerin homolog antibody; MDEG antibody; Neuronal amiloride sensitive cation channel 1 antibody
-
宿主:Rabbit
-
反應種屬:Human
-
免疫原:Recombinant Human Acid-sensing ion channel 2 protein (197-345AA)
-
免疫原種屬:Homo sapiens (Human)
-
標記方式:Non-conjugated
本頁面中的產品,ASIC2 Antibody (CSB-PA613683LA01HU),的標記方式是Non-conjugated。對于ASIC2 Antibody,我們還提供其他標記。見下表:
-
克隆類型:Polyclonal
-
抗體亞型:IgG
-
純化方式:>95%, Protein G purified
-
濃度:It differs from different batches. Please contact us to confirm it.
-
保存緩沖液:Preservative: 0.03% Proclin 300
Constituents: 50% Glycerol, 0.01M PBS, pH 7.4 -
產品提供形式:Liquid
-
應用范圍:ELISA, IHC, IF
-
推薦稀釋比:
Application Recommended Dilution IHC 1:200-1:500 IF 1:50-1:200 -
Protocols:
-
儲存條件:Upon receipt, store at -20°C or -80°C. Avoid repeated freeze.
-
貨期:Basically, we can dispatch the products out in 1-3 working days after receiving your orders. Delivery time maybe differs from different purchasing way or location, please kindly consult your local distributors for specific delivery time.
-
用途:For Research Use Only. Not for use in diagnostic or therapeutic procedures.
相關產品
靶點詳情
-
功能:Cation channel with high affinity for sodium, which is gated by extracellular protons and inhibited by the diuretic amiloride. Also permeable for Li(+) and K(+). Generates a biphasic current with a fast inactivating and a slow sustained phase. Heteromeric channel assembly seems to modulate.
-
基因功能參考文獻:
- Study shows that ASIC2 promotes metastasis of colorectal cancer (CRC) cells by activating the calcineurin/NFAT1 pathway under acidosis and high expression of ASIC2 predicts poor outcomes of patients with CRC. PMID: 28927426
- The authors finally confirmed that the ASIC2b isoform is delivered to the cell surface from the endoplasmic reticulum by forming heteromers with ASIC2a isoform, and that the N-terminal region of ASIC2a is additionally required for the ASIC2a-dependent membrane targeting of ASIC2b. PMID: 27477936
- The ASIC2 are involved in fear behaviours, learning and memory functions, and pain sensation. PMID: 27278329
- The results show that acid-sensing ion channel 1, acid-sensing ion channel 2, and acid-sensing ion channel 3 are expressed in A549 cells at the messenger RNA and protein levels, and acid-sensing ion channel-like currents were elicited by extracellular acid stimuli. PMID: 28618956
- ASICs may enhance susceptibility to epileptogenesis in the piriform cortex. PMID: 25744567
- results demonstrate the occurrence of ASIC2 and TrkB in the human intervertebral disc (IVD), and the increased expression of both in pathological IVD suggest their involvement in IVD degeneration PMID: 26617738
- distribution of ASIC2 in the human cutaneous mechanosensory system and suggest the involvement of ASIC2 in mechanosensation PMID: 25224144
- This study suggests that ASIC2 may play a role as mediators of inflammatory pain and be involved in the pathogenesis of frozen shoulder. PMID: 26033064
- Combinatorial analysis suggests a model of random mixing of ASIC1a and ASIC2a subunits to yield both 2:1 and 1:2 ASIC1a:ASIC2a heteromers together with ASIC1a and ASIC2a homomers. PMID: 24847067
- The results showed that there was a significant increase in the mean relative optical density of ASIC2 and ASIC3 but not ASIC1a in the lining epithelium and glandular tubes of gastric mucosa in patients with Henoch-Schonlein purpura. PMID: 22157923
- ACCN1 might be one of numerous susceptibility genes for panic disorder. PMID: 21811305
- these results indicate that ACCN1 gene is a potential candidate for response to lithium treatment that would serve as a genetic marker of lithium efficacy for bipolar disorder patients. PMID: 21961650
- These results demonstrate for the first time the differential distribution of ASIC1 and ASIC2 in human rapidly adapting low-threshold mechanoreceptors, and suggest specific roles of both proteins in mechanotransduction. PMID: 20306292
- Application of these methods allowed us to find a significant association between MS and the SNP rs28936 located in the 3' UTR segment of ACCN1 with p = 0.0004 (p = 0.002, after adjusting for multiple testing) PMID: 17534430
- the ASIC2a subtype consists of intracellular amino and carboxyl termini and two transmembrane domains connected by a large extracellular loop PMID: 15504740
- ASIC2 surface expression inhibits the amiloride-sensitive current and migration of glioma cells PMID: 16704974
- AKAP150 and the protein phosphatase calcineurin are binding proteins to ASIC2a, and calcineurin regulates ASIC1a and ASIC2a activity PMID: 17548344
- This work provides a mechanism explaining how defects in parkin-mediated PICK1 monoubiquitination could enhance ASIC activity and thereby promote neurodegeneration in Parkinson's disease. PMID: 17553932
- Two PKC consensus sites on human acid-sensing ion channel 1b differentially regulate its function. PMID: 19091960
顯示更多
收起更多
-
亞細胞定位:Cell membrane; Multi-pass membrane protein.
-
蛋白家族:Amiloride-sensitive sodium channel (TC 1.A.6) family, ASIC2 subfamily
-
組織特異性:Brain and spinal cord. Isoform 1 is also detected in testis, liver, colon and ovary.
-
數據庫鏈接:
Most popular with customers
-
-
YWHAB Recombinant Monoclonal Antibody
Applications: ELISA, WB, IHC, IF, FC
Species Reactivity: Human, Mouse, Rat
-
Phospho-YAP1 (S127) Recombinant Monoclonal Antibody
Applications: ELISA, WB, IHC
Species Reactivity: Human
-
-
-
-
-















