ATE1 Antibody
-
中文名稱:ATE1兔多克隆抗體
-
貨號:CSB-PA002268LA01HU
-
規格:¥440
-
圖片:
-
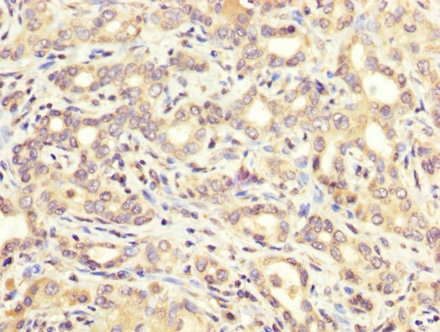
IHC image of CSB-PA002268LA01HU diluted at 1:200 and staining in paraffin-embedded human liver cancer performed on a Leica BondTM system. After dewaxing and hydration, antigen retrieval was mediated by high pressure in a citrate buffer (pH 6.0). Section was blocked with 10% normal goat serum 30min at RT. Then primary antibody (1% BSA) was incubated at 4°C overnight. The primary is detected by a biotinylated secondary antibody and visualized using an HRP conjugated SP system.
-
Immunofluorescence staining of HepG2 cells with CSB-PA002268LA01HU at 1:66, counter-stained with DAPI. The cells were fixed in 4% formaldehyde, permeabilized using 0.2% Triton X-100 and blocked in 10% normal Goat Serum. The cells were then incubated with the antibody overnight at 4°C. The secondary antibody was Alexa Fluor 488-congugated AffiniPure Goat Anti-Rabbit IgG(H+L).
-
-
其他:
產品詳情
-
產品名稱:Rabbit anti-Homo sapiens (Human) ATE1 Polyclonal antibody
-
Uniprot No.:
-
基因名:
-
別名:AI225793 antibody; Arginine tRNA protein transferase 1 antibody; Arginine-tRNA--protein transferase 1 antibody; Arginyl-tRNA--protein transferase 1 antibody; Arginyl-tRNA-protein transferase antibody; Arginyltransferase 1 antibody; Ate1 antibody; ATE1_HUMAN antibody; AW547406 antibody; EC 2.3.2.8 antibody; MGC26724 antibody; OTTHUMP00000020637 antibody; OTTHUMP00000058665 antibody; R transferase 1 antibody; R-transferase 1 antibody
-
宿主:Rabbit
-
反應種屬:Human
-
免疫原:Recombinant Human Arginyl-tRNA--protein transferase 1 protein (105-253AA)
-
免疫原種屬:Homo sapiens (Human)
-
標記方式:Non-conjugated
本頁面中的產品,ATE1 Antibody (CSB-PA002268LA01HU),的標記方式是Non-conjugated。對于ATE1 Antibody,我們還提供其他標記。見下表:
-
克隆類型:Polyclonal
-
抗體亞型:IgG
-
純化方式:>95%, Protein G purified
-
濃度:It differs from different batches. Please contact us to confirm it.
-
保存緩沖液:Preservative: 0.03% Proclin 300
Constituents: 50% Glycerol, 0.01M PBS, pH 7.4 -
產品提供形式:Liquid
-
應用范圍:ELISA, IHC, IF
-
推薦稀釋比:
Application Recommended Dilution IHC 1:200-1:500 IF 1:50-1:200 -
Protocols:
-
儲存條件:Upon receipt, store at -20°C or -80°C. Avoid repeated freeze.
-
貨期:Basically, we can dispatch the products out in 1-3 working days after receiving your orders. Delivery time maybe differs from different purchasing way or location, please kindly consult your local distributors for specific delivery time.
-
用途:For Research Use Only. Not for use in diagnostic or therapeutic procedures.
相關產品
靶點詳情
-
功能:Involved in the post-translational conjugation of arginine to the N-terminal aspartate or glutamate of a protein. This arginylation is required for degradation of the protein via the ubiquitin pathway. Does not arginylate cysteine residues.
-
基因功能參考文獻:
- Ate1 is downregulated in several types of human cancer samples at the protein level, and that its transcription level inversely correlates with metastatic progression and patient survival. PMID: 26686093
- Data indicate that arginyltransferase 1 (ATE1) function controls Myocardin-related transcription factor A (MRTF-A) activity. PMID: 25381249
-
亞細胞定位:[Isoform ATE1-1]: Nucleus. Cytoplasm.; [Isoform ATE1-2]: Cytoplasm.
-
蛋白家族:R-transferase family
-
數據庫鏈接:
Most popular with customers
-
-
YWHAB Recombinant Monoclonal Antibody
Applications: ELISA, WB, IHC, IF, FC
Species Reactivity: Human, Mouse, Rat
-
Phospho-YAP1 (S127) Recombinant Monoclonal Antibody
Applications: ELISA, WB, IHC
Species Reactivity: Human
-
-
-
-
-















