ATP2B4 Antibody
-
中文名稱:ATP2B4兔多克隆抗體
-
貨號:CSB-PA23389A0Rb
-
規格:¥440
-
圖片:
-
IHC image of CSB-PA23389A0Rb diluted at 1:100 and staining in paraffin-embedded human brain tissue performed on a Leica BondTM system. After dewaxing and hydration, antigen retrieval was mediated by high pressure in a citrate buffer (pH 6.0). Section was blocked with 10% normal goat serum 30min at RT. Then primary antibody (1% BSA) was incubated at 4°C overnight. The primary is detected by a biotinylated secondary antibody and visualized using an HRP conjugated SP system.
-
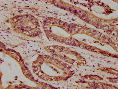
IHC image of CSB-PA23389A0Rb diluted at 1:100 and staining in paraffin-embedded human colon cancer performed on a Leica BondTM system. After dewaxing and hydration, antigen retrieval was mediated by high pressure in a citrate buffer (pH 6.0). Section was blocked with 10% normal goat serum 30min at RT. Then primary antibody (1% BSA) was incubated at 4°C overnight. The primary is detected by a biotinylated secondary antibody and visualized using an HRP conjugated SP system.
-
Immunofluorescence staining of Hela cells with CSB-PA23389A0Rb at 1:33, counter-stained with DAPI. The cells were fixed in 4% formaldehyde, permeabilized using 0.2% Triton X-100 and blocked in 10% normal Goat Serum. The cells were then incubated with the antibody overnight at 4°C. The secondary antibody was Alexa Fluor 488-congugated AffiniPure Goat Anti-Rabbit IgG(H+L).
-
-
其他:
產品詳情
-
產品名稱:Rabbit anti-Homo sapiens (Human) ATP2B4 Polyclonal antibody
-
Uniprot No.:
-
基因名:
-
別名:AT2B4_HUMAN antibody; ATP2B2 antibody; Atp2b4 antibody; ATPase Ca++ transporting plasma membrane 4 antibody; Cation transporting ATPase antibody; DKFZp686G08106 antibody; DKFZp686M088 antibody; Matrix remodelling associated 1 antibody; Matrix remodelling associated protein 1 antibody; Matrix-remodeling-associated protein 1 antibody; MXRA 1 antibody; MXRA1 antibody; OTTHUMP00000034088 antibody; OTTHUMP00000034089 antibody; Plasma membrane calcium ATPase 4 antibody; Plasma membrane calcium ATPase isoform 4 antibody; Plasma membrane calcium pump isoform 4 antibody; Plasma membrane calcium transporting ATPase 4 antibody; Plasma membrane calcium-transporting ATPase 4 antibody; PMCA 4 antibody; PMCA4 antibody; PMCA4b antibody; PMCA4x antibody; Sarcolemmal calcium pump antibody
-
宿主:Rabbit
-
反應種屬:Human
-
免疫原:Recombinant Human Plasma membrane calcium-transporting ATPase 4 protein (281-345AA)
-
免疫原種屬:Homo sapiens (Human)
-
標記方式:Non-conjugated
本頁面中的產品,ATP2B4 Antibody (CSB-PA23389A0Rb),的標記方式是Non-conjugated。對于ATP2B4 Antibody,我們還提供其他標記。見下表:
-
克隆類型:Polyclonal
-
抗體亞型:IgG
-
純化方式:>95%, Protein G purified
-
濃度:It differs from different batches. Please contact us to confirm it.
-
保存緩沖液:Preservative: 0.03% Proclin 300
Constituents: 50% Glycerol, 0.01M PBS, pH 7.4 -
產品提供形式:Liquid
-
應用范圍:ELISA, IHC, IF
-
推薦稀釋比:
Application Recommended Dilution IHC 1:20-1:200 IF 1:20-1:200 -
Protocols:
-
儲存條件:Upon receipt, store at -20°C or -80°C. Avoid repeated freeze.
-
貨期:Basically, we can dispatch the products out in 1-3 working days after receiving your orders. Delivery time maybe differs from different purchasing way or location, please kindly consult your local distributors for specific delivery time.
-
用途:For Research Use Only. Not for use in diagnostic or therapeutic procedures.
相關產品
靶點詳情
-
功能:Calcium/calmodulin-regulated and magnesium-dependent enzyme that catalyzes the hydrolysis of ATP coupled with the transport of calcium out of the cell. By regulating sperm cell calcium homeostasis, may play a role in sperm motility.
-
基因功能參考文獻:
- Data (including data from studies in knockout mice) suggest that renalase functions as a protective plasma protein that reduces pancreatic acinar cell injury and prevents pancreatitis via interactions with plasma membrane calcium ATPase PMCA4b. PMID: 29042438
- Na+, K+-ATPase and Ca2+-ATPase activity and Na+, K+-ATPase alpha4 and PMCA4 isoform expressions examined in asthenozoospermic men PMID: 28787189
- study provides evidence for the therapeutic potential of targeting PMCA4 to improve VEGF-based pro-angiogenic interventions. This goal will require the development of refined, highly selective versions of ATA, or the identification of novel PMCA4 inhibitors. PMID: 28684310
- data suggest that an altered regulation of gene expression is responsible for the reduced RBC-PMCA4b levels that is probably linked to the development of human disease-related phenotypes. PMID: 28216081
- the ATP2B4 enhancer mediates red blood cell hydration and malaria susceptibility PMID: 28714864
- Increased plasma membrane abundance of PMCA4b in vemurafenib-treated BRAF mutant cells is associated with enhanced Ca2+ clearance. PMID: 27813079
- The role of heterozygous variants of ATP2B4 is regulated by HSPG2 protein with transcription factors in bone formation through modulation of calcium signaling. PMID: 28327142
- RNA sequencing identified a novel ATPase, Ca2+ transporting, plasma membrane 4(ATP2B4)-protein kinase C-alpha (PRKCA) fusion transcript. PMID: 26676968
- our data show that CD147 interacts via its immunomodulatory domains with PMCA4 to bypass TCR proximal signaling and inhibit IL-2 expression. PMID: 26729804
- We also nominate a new candidate gene in congenital arrhythmia, ATP2B4, and provide experimental evidence of a regulatory role for variants discovered using this framework. PMID: 26448358
- p.R268Q mutation in PMCA4 resulted in functional changes in calcium homeostasis in human neuronal cells. This suggests that calcium dysregulation may be associated with the pathogenesis of Familial spastic paraplegia PMID: 25798335
- The slowly activating PMCA4b isoform produced long-lasting Ca2+ oscillations in response to store-operated Ca2+ entry. PMID: 25690014
- Mechanism of PMCA4 that creates lipid asymmetry is well understood in terms of ATP hydrolysis; molecular models exist for trajectory taken by phospholipid substrates through the enzyme. [review-like article] PMID: 25233416
- Calcium dysregulation resulting from a novel missense mutation (c.803G>A, p.R268Q) in the PMCA4 (ATP2B4) gene may be associated with the pathogenesis of familial spastic paraplegia. PMID: 25119969
- PMCA4 inhibits the activation of the calcineurin/NFAT pathway on VEGF stimulation of endothelial cells, leading to a significant attenuation of VEGF-mediated angiogenesis. PMID: 25147342
- No significant relationship was detected in the level of expression of the ATP2B4 and ATP5B genes in cancerous and healthy tissues of colorectal cancer patients. PMID: 24583174
- A significant relationship between ATP2B4 gene expression and the tumor location was detected in patients with rectum tumors. PMID: 24583174
- a di-leucine-like internalization signal at the C-tail of PMCA4b, is reported. PMID: 23830917
- The PMCA4b enriched in lipid rafts decreases the local [Ca2+] levels, downregulating the nNOS activity dynamically associated to PMCA4b via Ca2+-dependent PDZ domain-mediated protein- protein interactions. PMID: 23549614
- An ATP2B4 variant reduces the odds of P. falciparum infection in pregnancy and mitigates the odds of associated maternal anemia. PMID: 23444010
- High PMCA4 gene expression correlates with high peak bone mass in humans. PMID: 23266958
- GUSB and ATP2B4 have been validated as a reliable gene combination for Cystic Fibrosis Transmembrane Conductance Regulator gene qPCR data normalization. PMID: 22525089
- Alternative pathways for association and dissociation of the calmodulin-binding domain of plasma membrane Ca(2+)-ATPase isoform 4b (PMCA4b). PMID: 22767601
- Genome-wide association study for severe malaria identified a locus on chromosome 1q32 within the ATP2B4 gene, and another locus on chromosome 16q22.2, possibly linked to a neighbouring gene encoding the tight-junction protein MARVELD3 PMID: 22895189
- The results of this study suggest posttranscriptional regulation of PMCA4 during carcinogenesis. PMID: 22480210
- The recently emerging role of the plasma membrane calcium/calmodulin dependent ATPase isoform 4 (PMCA4) in regulating calcium signalling, is reviewed. PMID: 21167220
- PMCA4 is strongly expressed in rabbit CE and its immunolocalization exhibits marked changes in distribution during the wound healing process. PMID: 21139678
- regulatory domain works independently of its terminal localization and if auto-inhibitory domains PMID: 21073872
- Data show that the anchors correspond to Phe-1110 and Trp-1093, respectively, in full-length PMCA4b, and the peptide and CaM are oriented in an anti-parallel manner. PMID: 19996092
- We demonstrate here that, in the early phase of apoptosis, hPMCA4b is cleaved at aspartic acid Asp(1080) in hPMCA4b-transfected COS-7 cells or in HeLa cells that naturally express this protein PMID: 11751908
- plasma membrane Ca2+ pump 4b/CI binds to Ca2+/calmodulin-dependent membrane-associated kinase CASK PMID: 12511555
- co-immunoprecipitation, treatment with tyrosine kinase inhibitors and integrin inhibition experiments suggest that FAK is responsible for PMCA4b tyrosine phosphorylation during platelet activation. PMID: 12540962
- results suggest that a decrease in PMCA4b expression in Meg-01 cells is compensated to maintain normal intracellular calcium levels. PMID: 12944246
- functional association with RASSF1 indicates a role for PMCA4b in the modulation of Ras-mediated signaling PMID: 15145946
- residue Asp(170), in the putative "A" domain of human PMCA isoform 4xb, plays a critical role in autoinhibition PMID: 15292209
- a novel functional interaction between PMCA and calcineurin, suggesting a role for PMCA as a negative modulator of calcineurin-mediated signaling pathways in mammalian cells. PMID: 15955804
- The characteristics of the fragment of hPMCA4b produced by caspase-3 are reported. PMID: 16080782
- Although differences in PMCA4 mRNA levels were observed between breast cell lines, they were not of the magnitude observed for PMCA2. PMID: 16216224
- PMCA4 is a good housekeeping gene for normalization of gene expression for polytopic membrane proteins including transporters and receptors. PMID: 16978418
- physiological relevance of the interaction between PMCA4b and nNOS and suggests its signaling role in the heart PMID: 17242280
- PMCA4b is localized in non-filamentous actin complexes in resting platelets by means of PDZ domain interactions and then associates with the actin cytoskeleton during cytoskeletal rearrangement upon platelet activation. PMID: 17393022
- Compared with the expression of PMCA4b upon platelet maturation, platelets from diabetic patients exhibit similarities with immature megakaryocytes PMID: 17883705
- platelets in hypertensive patients demonstrated a major increase in plasma membrane Ca(2+)ATPase 4b (PMCA4b) expression when compared with normal controls PMID: 17957572
- PMCA4 seems to be preferentially distributed in both human syncytiotrophoblast plasma membranes. PMID: 18657858
- Results suggest that PSD-95 promotes the formation of high-density PMCA4b microdomains in the plasma membrane and that the membrane cytoskeleton plays an important role in the regulation of this process. PMID: 19073225
- Pmca4b likely reduces the local Ca2+ signals involved in reactive cardiomyocyte hypertrophy via calcineurin regulation. PMID: 19287093
- PMCA4 is significantly (P < 0.000001) downregulated early in the progression of some colon cancers as these cells become less differentiated PMID: 19755660
- This protein has been found differentially expressed in patients with schizophrenia. PMID: 19034380
顯示更多
收起更多
-
亞細胞定位:Cell membrane; Multi-pass membrane protein. Cell projection, cilium, flagellum membrane; Multi-pass membrane protein.
-
蛋白家族:Cation transport ATPase (P-type) (TC 3.A.3) family, Type IIB subfamily
-
組織特異性:Isoform XB is the most abundant isoform and is expressed ubiquitously. Isoforms containing segment Z have only been detected in heart, while isoforms containing segment a have been found in heart, stomach and brain cortex.
-
數據庫鏈接:
Most popular with customers
-
-
YWHAB Recombinant Monoclonal Antibody
Applications: ELISA, WB, IHC, IF, FC
Species Reactivity: Human, Mouse, Rat
-
Phospho-YAP1 (S127) Recombinant Monoclonal Antibody
Applications: ELISA, WB, IHC
Species Reactivity: Human
-
-
-
-
-















