AXL Antibody
-
中文名稱:AXL兔多克隆抗體
-
貨號:CSB-PA326981LA01HU
-
規格:¥440
-
圖片:
-
IHC image of CSB-PA326981LA01HU diluted at 1:400 and staining in paraffin-embedded human skeletal muscle tissue performed on a Leica BondTM system. After dewaxing and hydration, antigen retrieval was mediated by high pressure in a citrate buffer (pH 6.0). Section was blocked with 10% normal goat serum 30min at RT. Then primary antibody (1% BSA) was incubated at 4°C overnight. The primary is detected by a biotinylated secondary antibody and visualized using an HRP conjugated SP system.
-
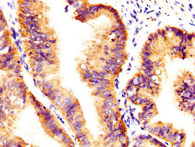
IHC image of CSB-PA326981LA01HU diluted at 1:400 and staining in paraffin-embedded human endometrial cancer performed on a Leica BondTM system. After dewaxing and hydration, antigen retrieval was mediated by high pressure in a citrate buffer (pH 6.0). Section was blocked with 10% normal goat serum 30min at RT. Then primary antibody (1% BSA) was incubated at 4°C overnight. The primary is detected by a biotinylated secondary antibody and visualized using an HRP conjugated SP system.
-
Immunofluorescence staining of Hela cells with CSB-PA326981LA01HU at 1:144, counter-stained with DAPI. The cells were fixed in 4% formaldehyde, permeabilized using 0.2% Triton X-100 and blocked in 10% normal Goat Serum. The cells were then incubated with the antibody overnight at 4°C. The secondary antibody was Alexa Fluor 488-congugated AffiniPure Goat Anti-Rabbit IgG(H+L).
-
-
其他:
產品詳情
-
產品名稱:Rabbit anti-Homo sapiens (Human) AXL Polyclonal antibody
-
Uniprot No.:
-
基因名:
-
別名:Adhesion related kinase antibody; AI323647 antibody; Ark antibody; Axl antibody; AXL oncogene antibody; AXL receptor tyrosine kinase antibody; AXL transforming gene antibody; AXL transforming sequence/gene antibody; EC 2.7.10.1 antibody; JTK11 antibody; Oncogene AXL antibody; Tyro7 antibody; Tyrosine protein kinase receptor UFO antibody; Tyrosine-protein kinase receptor UFO antibody; UFO antibody; UFO_HUMAN antibody
-
宿主:Rabbit
-
反應種屬:Human
-
免疫原:Recombinant Human Tyrosine-protein kinase receptor UFO protein (312-447AA)
-
免疫原種屬:Homo sapiens (Human)
-
標記方式:Non-conjugated
本頁面中的產品,AXL Antibody (CSB-PA326981LA01HU),的標記方式是Non-conjugated。對于AXL Antibody,我們還提供其他標記。見下表:
-
克隆類型:Polyclonal
-
抗體亞型:IgG
-
純化方式:>95%, Protein G purified
-
濃度:It differs from different batches. Please contact us to confirm it.
-
保存緩沖液:Preservative: 0.03% Proclin 300
Constituents: 50% Glycerol, 0.01M PBS, pH 7.4 -
產品提供形式:Liquid
-
應用范圍:ELISA, IHC, IF
-
推薦稀釋比:
Application Recommended Dilution IHC 1:200-1:500 IF 1:50-1:200 -
Protocols:
-
儲存條件:Upon receipt, store at -20°C or -80°C. Avoid repeated freeze.
-
貨期:Basically, we can dispatch the products out in 1-3 working days after receiving your orders. Delivery time maybe differs from different purchasing way or location, please kindly consult your local distributors for specific delivery time.
-
用途:For Research Use Only. Not for use in diagnostic or therapeutic procedures.
相關產品
靶點詳情
-
功能:Receptor tyrosine kinase that transduces signals from the extracellular matrix into the cytoplasm by binding growth factor GAS6 and which is thus regulating many physiological processes including cell survival, cell proliferation, migration and differentiation. Ligand binding at the cell surface induces dimerization and autophosphorylation of AXL. Following activation by ligand, AXL binds and induces tyrosine phosphorylation of PI3-kinase subunits PIK3R1, PIK3R2 and PIK3R3; but also GRB2, PLCG1, LCK and PTPN11. Other downstream substrate candidates for AXL are CBL, NCK2, SOCS1 and TNS2. Recruitment of GRB2 and phosphatidylinositol 3 kinase regulatory subunits by AXL leads to the downstream activation of the AKT kinase. GAS6/AXL signaling plays a role in various processes such as endothelial cell survival during acidification by preventing apoptosis, optimal cytokine signaling during human natural killer cell development, hepatic regeneration, gonadotropin-releasing hormone neuron survival and migration, platelet activation, or regulation of thrombotic responses. Plays also an important role in inhibition of Toll-like receptors (TLRs)-mediated innate immune response.; (Microbial infection) Acts as a receptor for lassa virus and lymphocytic choriomeningitis virus, possibly through GAS6 binding to phosphatidyl-serine at the surface of virion envelope.; (Microbial infection) Acts as a receptor for Ebolavirus, possibly through GAS6 binding to phosphatidyl-serine at the surface of virion envelope.
-
基因功能參考文獻:
- identify the receptor tyrosine kinase Axl as a novel target of ZNF224 transcriptional repression activity. PMID: 30176265
- Findings suggest that METTL3 plays very important oncogenic roles in ovarian carcinoma development and/or aggressiveness by stimulating AXL translation and EMT. PMID: 30249526
- Co-expression of CDCP1 and AXL is often observed in EGFR-mutation-positive tumors, limiting the efficacy of EGFR TKIs. Co-treatment with EGFR TKI and TPX-0005 warrants testing. PMID: 29433983
- This study demonstrates that motility behavior of AXL-expressing tumor cells can be elicited by Gas6-bearing apoptotic bodies generated from tumor treatment with therapeutics that produce killing of a portion of the tumor cells present but not all, hence generating potentially problematic invasive and metastatic behavior of the surviving tumor cells PMID: 28923840
- Results show that average methylation in AXL at birth was associated with higher risk for asthma-related phenotypes in childhood, especially wheezing. The effects of average AXL methylation on wheezing symptoms were magnified in girls compared to boys. PMID: 29177020
- we identified YAP-driven AXL overexpression as a mechanism of resistance to EGFR TKIs in lung cancer cells. PMID: 29136529
- The anti-angiogenic effect of luteolin may be associated with the inhibition of the Gas6/Axl pathway and its downstream phosphatidylinositol 3-kinase (PI3K)/protein kinase B (Akt)/mammalian target of rapamycin (mTOR) signaling pathways. PMID: 28627676
- AXL is influenced by p53 status and could cause the emergence of aggressive clones after exposure to chemotherapy in colon and breast cancer PMID: 28596680
- Taken together, these findings suggest that AXL most likely serves as an attachment factor for Zika virus on the cell surface, and that productive infection requires endocytosis and delivery of the virus to acidified intracellular compartments. PMID: 29574335
- serum Axl shows high diagnostic accuracy at early stage hepatocellular carcinoma as well as cirrhosis PMID: 28526812
- AXL is the only relevant Zika virus entry cofactor expressed on fetal endothelial cells, and that when produced in mammalian cells, only Zika virus, but not West Nile virus or dengue virus, can use AXL, because it more efficiently binds Gas6. PMID: 28167751
- Results indicate AXL receptor tyrosine kinase (AXL) as an important mediator of docetaxel resistance in prostate cancer. PMID: 28455956
- AXL promotes epithelial cell efferocytosis in a tyrosine kinase-dependent manner.AXL role in AKT-dependent drug resistance. PMID: 28184013
- The plasma concentrations of Gas6 and Axl are lowered in rheumatoid arthritis patients. PMID: 24702788
- The anti-AXL antibody 20G7-D9 represents a promising therapeutic strategy in triple-negative breast cancer with mesenchymal features by inhibiting AXL-dependent Epithelial-Mesenchymal Transition, tumor growth, and metastasis formation PMID: 27923843
- Suppression of AXL by shRNA and inhibitor prolonged survival of chronic myelogenous leukemia (CML) mice and reduced the growth of leukemia stem cells ( LSCs) in mice. Gas6/AXL ligation stabilizes beta-catenin in an AKT-dependent fashion in human CML CD34(+) cells. Our findings improve the understanding of LSC regulation and validate Gas6/AXL as a pair of therapeutic targets to eliminate CML LSCs PMID: 27852702
- our data point to a targetable Axl-PI3 kinase-PD-L1 axis that is highly associated with radiation resistance PMID: 28476872
- AXL+ and GAS6+ expression is relevant to a poor prognosis in resected lung adenocarcinoma (AD)patients at stage I. AXL/GAS6 might serve as crucial predictive and prognostic biomarkers and targets to identify individuals at high risk of post-operative death. PMID: 28440492
- report that Axl regulates FGFR signaling via complex formation with FGFR3 PMID: 26598018
- AZD7762 inhibits the proliferative/metastatic activity of breast cancer cells through the suppression of cellular AXL signaling events including anti-apoptosis, migration, invasion, and angiogenesis. PMID: 27829217
- BGB324 does not inhibit BCR-ABL1 and consequently inhibits chronic myeloid leukemia (CML)independent of BCR-ABL1 mutational status. Our data show that Axl inhibition has therapeutic potential in BCR-ABL TKI-sensitive as well as -resistant CML and support the need for clinical trials PMID: 27856601
- Results show that AXL is upregulated in endometrial cancer tissues and indicate that AXL promotes invasion and migration of endometrial cancer cells. PMID: 27764792
- these results suggest that HOTAIR promotes renal cell carcinoma (Rcc) tumorigenesis via miR-217/HIF-1alpha/AXL signaling, which may provide a new target for the diagnosis and therapy of Rcc disease. PMID: 28492542
- The expression of MerTK and AxlTK varied according to the deposition of immunoglobulin and complements on glomeruli. Both MerTK and AxlTK expressions were increased on glomeruli and varied according to pathological classifications. PMID: 28127639
- High expression level of AXL is associated with lung adenocarcinoma. PMID: 26942465
- AXL is a strong adverse prognostic factor for esophageal squamous cell carcinoma PMID: 27172793
- Our data demonstrate that AXL is a crucial therapeutic target of carvacrol-induced inhibition of NSCLC cell proliferation and migration. PMID: 29277784
- These results show that TYRO3, AXL and GAS6 are expressed at higher levels in LMS and expression of its ligands correlates to a worse PFS in LMS patients. PMID: 29024938
- miR-34a reconstitution in DMPM cells significantly inhibited proliferation and tumorigenicity, induced an apoptotic response, and declined invasion ability, mainly through the down-regulation of c-MET and AXL and the interference with the activation of downstream signaling. PMID: 28100259
- kinase AXL drives the mesenchymal gene signature and motility of ovarian tumor cells. PMID: 27703029
- The AXL inhibitor R428 attenuated RTK and ERK activation and reduced cell motility in Mes cells in culture and reduced tumor growth PMID: 27703030
- These results highlight the dual role of Axl during Zika virus infection of glial cells: promoting viral entry and modulating innate immune responses. PMID: 28076778
- The expression of AXL was positively associated with GAS6 expression (P < 0.001), and tumor differentiation (P = 0.014) in advanced NSCLC with metastases. AXL expression displayed no association with gender, age, smoking history, pathology, T stage, N stage, CEA, and LDH. PMID: 28551766
- Data indicate a role for AXL receptor tyrosine kinase (AXL) in regulating the nuclear translocation of epidermal growth factor receptor (EGFR) and suggest that AXL-mediated SRC family kinases (SFKs) and neuregulin-1 (NRG1) expression promote this process. PMID: 28049763
- Combination of high serum levels of soluble AXL and BNP had greater predictive value for heart failure than BNP alone. PMID: 27718443
- These results demonstrate that Gas6/Axl axis confers aggressiveness in breast cancer. PMID: 27279912
- a lower stability and greater dynamic nature of the Axl kinase domain PMID: 28724631
- Silencing AXL or the inhibition of AXL kinase activity significantly inhibits tumor cell migration and invasion in colorectal cancer. PMID: 28727830
- we identify PROS1 as a driver of Oral Squamous Cell Carcinoma tumor growth and a modulator of AXL expression PMID: 28118606
- Studies indicate that aberrant AXL receptor tyrosine kinase (AXL) signaling and development of an epithelial-to-mesenchymal transition (EMT) phenotype underlie resistance of anaplastic lymphoma kinase (ALK F1174L)-driven neuroblastoma (NB) cells to TAE684 and its derivatives. PMID: 26616860
- Studied axl kinase as a negative regulator of an alveolar epithelial cell phenotype; results found that inhibition of Axl kinase could form epithelial adhesion structure and augment surfactant protein production via the MET of human lung multi-potent cells. PMID: 28553934
- AXL is efficiently and sequentially cleaved by alpha- and gamma-secretases in various types of cancer cell lines. The AXL intracellular domain cleavage product translocates into the nucleus via a nuclear localization sequence that harbored a basic HRRKK motif. PMID: 28034848
- a relationship between AXL and the cellular response to DNA damage whereby abrogation of AXL signaling leads to accumulation of the DNA-damage markers gammaH2AX, 53BP1, and RAD51. PMID: 27893463
- Small molecule and antibody inhibitors of AXL and MER have recently been described, and some of these have already entered clinical trials. The optimal design of treatment strategies to maximize the clinical benefit of these AXL and MER targeting agents are discussed in relation to the different cancer types and the types of resistance encountered. PMID: 28251492
- our results demonstrate that AR can promote melanoma metastasis via altering the miRNA-539-3p/USP13/MITF/AXL signal and targeting this newly identified signal with AR degradation enhancer ASC-J9 may help us to better suppress the melanoma metastasis. PMID: 27869170
- AXL can be an effective therapeutic target in combination with targeted therapy such as PARP inhibitors in several different malignancies. PMID: 27671334
- AXL/TAZ/YAP expression is associated with poor prognosis in male breast cancer patients. PMID: 27987320
- ablation of AXL has no effect on ZIKA virus (ZIKV) entry or ZIKV-mediated cell death in human induced pluripotent stem cell (iPSC)-derived NPCs or cerebral organoids. PMID: 27912091
- the candidate viral entry receptor AXL is highly expressed by human radial glial cells, astrocytes, endothelial cells, and microglia in developing human cortex and by progenitor cells in developing retina. PMID: 27038591
- Coexistence of vimentin-positive and Axl-high expression is a poor prognostic factor for primary breast cancer. Vimentin and Axl expression might contribute to the aggressive phenotype in breast cancer. PMID: 27506606
顯示更多
收起更多
-
相關疾病:AXL and its ligand GAS6 are highly expressed in thyroid carcinoma tissues, and might thus be involved in thyroid tumorigenesis. Overexpression of AXL and its ligand was also detected in many other cancers such as myeloproliferative disorders, prostatic carcinoma cells, or breast cancer.
-
亞細胞定位:Cell membrane; Single-pass type I membrane protein.
-
蛋白家族:Protein kinase superfamily, Tyr protein kinase family, AXL/UFO subfamily
-
組織特異性:Highly expressed in metastatic colon tumors. Expressed in primary colon tumors. Weakly expressed in normal colon tissue.
-
數據庫鏈接:
Most popular with customers
-
-
YWHAB Recombinant Monoclonal Antibody
Applications: ELISA, WB, IHC, IF, FC
Species Reactivity: Human, Mouse, Rat
-
-
-
-
-
-















