BACH2 Antibody
-
中文名稱:BACH2兔多克隆抗體
-
貨號:CSB-PA883639LA01HU
-
規格:¥440
-
圖片:
-
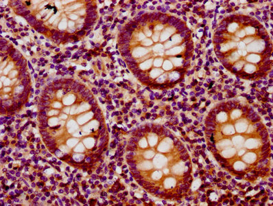
IHC image of CSB-PA883639LA01HU diluted at 1:200 and staining in paraffin-embedded human appendix tissue performed on a Leica BondTM system. After dewaxing and hydration, antigen retrieval was mediated by high pressure in a citrate buffer (pH 6.0). Section was blocked with 10% normal goat serum 30min at RT. Then primary antibody (1% BSA) was incubated at 4°C overnight. The primary is detected by a biotinylated secondary antibody and visualized using an HRP conjugated SP system.
-
Immunofluorescence staining of SH-SY5Y cells with CSB-PA883639LA01HU at 1:66, counter-stained with DAPI. The cells were fixed in 4% formaldehyde, permeabilized using 0.2% Triton X-100 and blocked in 10% normal Goat Serum. The cells were then incubated with the antibody overnight at 4°C. The secondary antibody was Alexa Fluor 488-congugated AffiniPure Goat Anti-Rabbit IgG(H+L).
-
-
其他:
產品詳情
-
產品名稱:Rabbit anti-Homo sapiens (Human) BACH2 Polyclonal antibody
-
Uniprot No.:
-
基因名:BACH2
-
別名:Bach 2 antibody; Bach2 antibody; BACH2_HUMAN antibody; Basic leucine zipper transcription factor 2 antibody; BTB and CNC homolog 2 antibody; BTB and CNC homology 1 basic leucine zipper transcription factor 2 antibody; BTB domain and CNC homolog 2 antibody; BTBD25 antibody; OTTHUMP00000016867 antibody; OTTHUMP00000016868 antibody; OTTHUMP00000040591 antibody; Transcription regulator protein BACH2 antibody
-
宿主:Rabbit
-
反應種屬:Human
-
免疫原:Recombinant Human Transcription regulator protein BACH2 protein (136-235AA)
-
免疫原種屬:Homo sapiens (Human)
-
標記方式:Non-conjugated
本頁面中的產品,BACH2 Antibody (CSB-PA883639LA01HU),的標記方式是Non-conjugated。對于BACH2 Antibody,我們還提供其他標記。見下表:
-
克隆類型:Polyclonal
-
抗體亞型:IgG
-
純化方式:>95%, Protein G purified
-
濃度:It differs from different batches. Please contact us to confirm it.
-
保存緩沖液:Preservative: 0.03% Proclin 300
Constituents: 50% Glycerol, 0.01M PBS, pH 7.4 -
產品提供形式:Liquid
-
應用范圍:ELISA, IHC, IF
-
推薦稀釋比:
Application Recommended Dilution IHC 1:200-1:500 IF 1:50-1:200 -
Protocols:
-
儲存條件:Upon receipt, store at -20°C or -80°C. Avoid repeated freeze.
-
貨期:Basically, we can dispatch the products out in 1-3 working days after receiving your orders. Delivery time maybe differs from different purchasing way or location, please kindly consult your local distributors for specific delivery time.
-
用途:For Research Use Only. Not for use in diagnostic or therapeutic procedures.
相關產品
靶點詳情
-
功能:Transcriptional regulator that acts as repressor or activator. Binds to Maf recognition elements (MARE). Plays an important role in coordinating transcription activation and repression by MAFK. Induces apoptosis in response to oxidative stress through repression of the antiapoptotic factor HMOX1. Positively regulates the nuclear import of actin. Is a key regulator of adaptive immunity, crucial for the maintenance of regulatory T-cell function and B-cell maturation.
-
基因功能參考文獻:
- The authors show that the timed repression of BACH2 through IL-2-mediated ERK/ELK1 signalling pathway directs plasma cell lineage commitment. PMID: 29129929
- The epithelial-mesenchymal transition (EMT) pathway was also influenced by miR-130a-3p down-regulation. In conclusion, miR-130a-3p could bind to BACH2, inhibit nasopharyngeal carcinoma cell abilities, and promote cell apoptosis. PMID: 28487475
- Ikaros regulates expression of the BCL6/BACH2 axis in acute lymphoblastic leukemia cells. PMID: 28030830
- Data show that BACH2 and STAT5B are activated by viral insertions, generating chimeric mRNAs specifically enriched in T regulatory cells favoring their persistence. PMID: 28887441
- BACH2 downregulation contributes to constitutive activation of the nuclear factor-kappaB. PMID: 28256087
- BACH2 haploinsufficiency causing a syndrome of immune deficiency and autoimmunity is described in two families. Affected subjects had lymphocyte-maturation defects that caused immunoglobulin deficiency and intestinal inflammation. PMID: 28530713
- In this study silencing BACH2 in mantle cell lymphoma cells resulted in increased proliferation and enhanced tumor dispersal in hypoxic microenvironments, suggesting a tumor suppressor-like role of BACH2. PMID: 28592433
- we developed a CRISPR-Cas9-based tool for specific DNA methylation consisting of deactivated Cas9 (dCas9) nuclease and catalytic domain of the DNA methyltransferase DNMT3A targeted by co-expression of a guide RNA to any 20 bp DNA sequence followed by the NGG trinucleotide.we demonstrated that directed DNA methylation of a wider promoter region of the target loci IL6ST and BACH2 decreased their expression PMID: 26969735
- genetic association studies in population in the United Kingdom: Data suggest that an SNP in BACH2 (rs3757247) is associated with autoimmune Addison's disease and with polyglandular autoimmune syndrome type 2. These findings were replicated in a Norwegian validation cohort. PMID: 27680876
- The shift in the CSDs by heme binding suggested that heme binding causes Bach2(331-520) to adopt a more compact conformation. In addition, heme binding to the CP-motif could reduce the flexibility of Bach2(331-520) Consequently, the five-coordinated heme binding destabilizes Bach2(331-520), by reducing the flexibility of the polypeptide chain. PMID: 27206783
- The study identifies a strong association of Coeliac Disease with a network of BACH2 regulated genes, supporting emerging evidence of an important role of BACH2 in the regulation of T cell differentiation and prevention of autoimmune disease. PMID: 26444573
- The investigated Bach2 gene polymorphisms (rs11755527, rs3757247, rs12212193 and rs2474619) are not related to the susceptibility to either Vogt-Koyanagi-Harada syndrome and Behcet's disease in our investigated Chinese Han population. PMID: 25873652
- Gene expression analysis revealed that three gene BACH2, PTGER4 and ZFP36L1, are down-regulated in MS patients' blood cells compared to healthy subjects. PMID: 25670004
- These observations suggested that the unstructured region of Bach2 is important for heme binding, and consequently for its functional regulation PMID: 25444856
- A restored BACH2 expression in BACH2-silenced gastric cancer cell lines, and knockdown of BACH2 using short hairpin RNA (i.e. RNA interference) increased cell proliferation in gastric cancer cells. PMID: 24858026
- The type 1 diabetes candidate gene BACH2 regulates proinflammatory cytokine-induced apoptotic pathways in pancreatic beta-cells by crosstalk with another candidate gene, PTPN2, and activation of JNK1 and BIM. PMID: 24608439
- The dynamics of Bach2 expression in response to DNA damage shows that it is a highly sensitive responder to transcription-blocking DNA lesions. PMID: 24075570
- BACH2 expression level is a promising predictor of prognosis for diffuse large B cell lymphoma. PMID: 24450488
- Our study clearly demonstrated that BACH2 is a susceptibility gene for GD in the Chinese Han population PMID: 24346624
- Lower levels of BACH2 is associated with drug resistance in mantle cell lymphoma. PMID: 23936317
- our data suggest that BACH2 may play an essential role for somatic hypermutation of the Ig gene in B-cell lymphoma PMID: 23865571
- This study provides robust evidence for an association of rheumatoid arthritis susceptibility with genes involved in B cell differentiation (BACH2) and DNA repair (RAD51B). PMID: 24022229
- BACH2 competes with BCL6 for promoter binding and reverses BCL6-mediated repression of p53 and other cell cycle checkpoint-control genes. PMID: 23852341
- Downregulation of BACH2 mediated by Bcr-Abl oncoprotein via PAX5 is associated with chronic myeloid leukaemia. PMID: 22858985
- crystal structure of the human Bach2 POZ domain is reported at 2.1 A resolution PMID: 22194330
- This is the first report that shows the involvement of both BCL2L1 and the transcription factor BACH2 in a chromosomal rearrangement. PMID: 21412927
- BACH2 is transcriptionally regulated by the BCR/ABL oncogene. PMID: 11746976
- antineoplastic drugs that were oxidative stressors induced the nuclear accumulation of BACH2 PMID: 12829606
- loss of BACH2 expression through Epstein-Barr virus integration might contribute to lymphomagenesis PMID: 14982850
- Results demonstrate that transcription activity associated with PML bodies is selectively repressed by the recruitment of Bach2 around PML bodies. PMID: 15060166
- Upregulation of BACH2 is associated with ovarian cancer PMID: 16832351
- Bach2 is phosphorylated on S521 via Bcr-Abl signaling thru the phosphatidylinositol-3/S6 kinase pathway,and transcriptionally represses heme oxygenase-1 PMID: 17018862
- down-regulation of the BACH2 gene through the interaction with centromeric heterochromatin would take part in leukomogenesis of BCR-ABL positive lymphoid leukemia. PMID: 17044046
- This study demonstrated strong integration clusters in the BACH2 gene were observed in 2 HIV infection patients without detectable viremia. PMID: 17262715
- expression of the silencing mediator of retinoid and thyroid receptor (SMRT) & histone deacetylase4 (HDAC4) enhances formation of Bach2 foci in nuclear matrix. SMRT mediates HDAC4 binding to Bach2, & HDAC4 facilitates the retention of Bach2 in the foci. PMID: 17383980
- This study demonstrates a novel role for Bach2 as a key regulator of nucleic acid-triggered antiviral responses in human cells. PMID: 17991429
- reporter assays demonstrated that Bach2 and Bcl6 cooperate to repress Prdm1 through its intron enhancer region PMID: 18256039
- BACH2 expression is necessary to maintain IL-2 production when NFAT1 protein is reduced, potentially impacting umbilical cord blood graft CD4(+) T-cell allogeneic responses PMID: 18769450
- BACH2 may be partially responsible for regulation of BCL2 expression from the t(14;18)(q21;q34) translocation PMID: 18929412
顯示更多
收起更多
-
亞細胞定位:Cytoplasm. Nucleus.
-
蛋白家族:BZIP family, CNC subfamily
-
組織特異性:B-cell specific.
-
數據庫鏈接:
Most popular with customers
-
YWHAB Recombinant Monoclonal Antibody
Applications: ELISA, WB, IHC, IF, FC
Species Reactivity: Human, Mouse, Rat
-
Phospho-YAP1 (S127) Recombinant Monoclonal Antibody
Applications: ELISA, WB, IHC
Species Reactivity: Human
-
-
-
-
-
-















