BCAS3 Antibody
-
中文名稱:BCAS3兔多克隆抗體
-
貨號:CSB-PA952743
-
規格:¥1100
-
圖片:
-
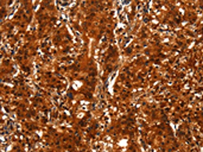
The image on the left is immunohistochemistry of paraffin-embedded Human gastic cancer tissue using CSB-PA952743(BCAS3 Antibody) at dilution 1/40, on the right is treated with synthetic peptide. (Original magnification: ×200)
-
The image on the left is immunohistochemistry of paraffin-embedded Human thyroid cancer tissue using CSB-PA952743(BCAS3 Antibody) at dilution 1/40, on the right is treated with synthetic peptide. (Original magnification: ×200)
-
-
其他:
產品詳情
-
Uniprot No.:
-
基因名:BCAS3
-
別名:1500019F07Rik antibody; 2610028P08Rik antibody; AU021018 antibody; BC028339 antibody; BCAS3 antibody; BCAS3_HUMAN antibody; Breast carcinoma-amplified sequence 3 antibody; FLJ20128 antibody; GAOB1 antibody; K20D4 antibody; MAAB antibody; Maab1 protein antibody; MGC4973 antibody; rudhira antibody
-
宿主:Rabbit
-
反應種屬:Human,Mouse
-
免疫原:Synthetic peptide of Human BCAS3
-
免疫原種屬:Homo sapiens (Human)
-
標記方式:Non-conjugated
-
抗體亞型:IgG
-
純化方式:Antigen affinity purification
-
濃度:It differs from different batches. Please contact us to confirm it.
-
保存緩沖液:-20°C, pH7.4 PBS, 0.05% NaN3, 40% Glycerol
-
產品提供形式:Liquid
-
應用范圍:ELISA,IHC
-
推薦稀釋比:
Application Recommended Dilution ELISA 1:2000-1:5000 IHC 1:50-1:200 -
Protocols:
-
儲存條件:Upon receipt, store at -20°C or -80°C. Avoid repeated freeze.
-
貨期:Basically, we can dispatch the products out in 1-3 working days after receiving your orders. Delivery time maybe differs from different purchasing way or location, please kindly consult your local distributors for specific delivery time.
-
用途:For Research Use Only. Not for use in diagnostic or therapeutic procedures.
相關產品
靶點詳情
-
功能:Plays a role in angiogenesis. Participates in the regulation of cell polarity and directional endothelial cell migration by mediating both the activation and recruitment of CDC42 and the reorganization of the actin cytoskeleton at the cell leading edge. Promotes filipodia formation. Functions synergistically with PELP1 as a transcriptional coactivator of estrogen receptor-responsive genes. Stimulates histone acetyltransferase activity. Binds to chromatin. Plays a regulatory role in autophagic activity. In complex with PHAF1, associates with the preautophagosomal structure during both non-selective and selective autophagy. Probably binds phosphatidylinositol 3-phosphate (PtdIns3P) which would mediate the recruitment preautophagosomal structures.
-
基因功能參考文獻:
- Real-time PCR validated that up-regulation of sulphiredoxin 1 homolog (SRXN1), hemeoxygenase 1 (HMOX1), and breast carcinoma amplified sequence 3 (BCAS3) were consistently modulated. PMID: 21742584
- role for MTA1-BCAS3 pathway in promoting cancerous phenotypes in breast tumor cells PMID: 16617102
- BCAS3 overexpression in hormone receptor-positive premenopausal breast cancer seemed to be associated with impaired responses to tamoxifen PMID: 16855396
- Physically associated with histone H3 and histone acetyltransferase complex protein P/CAF (p300/CBP-associated factor) and possesses histone acetyltransferase activity. PMID: 17505058
- BCAS3 is mis-expressed in brain tumors and could serve as a human ES cell and tumor marker PMID: 18030336
顯示更多
收起更多
-
相關疾病:A chromosomal aberration involving BCAS3 has been found in some breast carcinoma cell lines. Translocation t(17;20)(q23;q13) with BCAS4.
-
亞細胞定位:Nucleus. Cytoplasm. Cytoplasm, cytoskeleton. Preautophagosomal structure.
-
蛋白家族:BCAS3 family
-
組織特異性:Expressed in stomach, liver, lung, kidney, prostate, testis, thyroid gland, adrenal gland, brain, heart, skeletal muscle, colon, spleen, small intestine, placenta, blood leukocyte and mammary epithelial cells. Expressed in undifferentiated ES cells. Expre
-
數據庫鏈接:
Most popular with customers
-
-
YWHAB Recombinant Monoclonal Antibody
Applications: ELISA, WB, IHC, IF, FC
Species Reactivity: Human, Mouse, Rat
-
Phospho-YAP1 (S127) Recombinant Monoclonal Antibody
Applications: ELISA, WB, IHC
Species Reactivity: Human
-
-
-
-
-















