BLOC1S1 Antibody
-
中文名稱:BLOC1S1兔多克隆抗體
-
貨號:CSB-PA00495A0Rb
-
規格:¥440
-
圖片:
-
Western blot
All lanes: BLOC1S1 antibody at 2µg/ml
Lane 1: EC109 whole cell lysate
Lane 2: 293T whole cell lysate
Secondary
Goat polyclonal to rabbit IgG at 1/15000 dilution
Predicted band size: 18, 15 kDa
Observed band size: 75 kDa -
Immunofluorescent analysis of HepG2 cells using CSB-PA00495A0Rb at dilution of 1:100 and Alexa Fluor 488-congugated AffiniPure Goat Anti-Rabbit IgG(H+L)
-
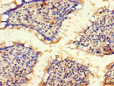
Immunohistochemistry of paraffin-embedded human small intestine tissue using CSB-PA00495A0Rb at dilution of 1:100
-
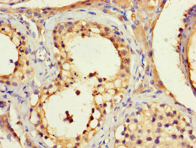
Immunohistochemistry of paraffin-embedded human testis tissue using CSB-PA00495A0Rb at dilution of 1:100
-
-
其他:
產品詳情
-
產品名稱:Rabbit anti-Homo sapiens (Human) BLOC1S1 Polyclonal antibody
-
Uniprot No.:
-
基因名:BLOC1S1
-
別名:BLOC1S1 antibody; BLOS1 antibody; GCN5L1 antibody; RT14Biogenesis of lysosome-related organelles complex 1 subunit 1 antibody; BLOC-1 subunit 1 antibody; GCN5-like protein 1 antibody; Protein RT14 antibody
-
宿主:Rabbit
-
反應種屬:Human
-
免疫原:Recombinant Human Biogenesis of lysosome-related organelles complex 1 subunit 1 protein (1-153AA)
-
免疫原種屬:Homo sapiens (Human)
-
標記方式:Non-conjugated
本頁面中的產品,BLOC1S1 Antibody (CSB-PA00495A0Rb),的標記方式是Non-conjugated。對于BLOC1S1 Antibody,我們還提供其他標記。見下表:
-
克隆類型:Polyclonal
-
抗體亞型:IgG
-
純化方式:>95%, Protein G purified
-
濃度:It differs from different batches. Please contact us to confirm it.
-
保存緩沖液:Preservative: 0.03% Proclin 300
Constituents: 50% Glycerol, 0.01M PBS, PH 7.4 -
產品提供形式:Liquid
-
應用范圍:ELISA, WB, IHC, IF
-
推薦稀釋比:
Application Recommended Dilution WB 1:500-1:5000 IHC 1:20-1:200 IF 1:50-1:200 -
Protocols:
-
儲存條件:Upon receipt, store at -20°C or -80°C. Avoid repeated freeze.
-
貨期:Basically, we can dispatch the products out in 1-3 working days after receiving your orders. Delivery time maybe differs from different purchasing way or location, please kindly consult your local distributors for specific delivery time.
-
用途:For Research Use Only. Not for use in diagnostic or therapeutic procedures.
相關產品
靶點詳情
-
功能:Component of the BLOC-1 complex, a complex that is required for normal biogenesis of lysosome-related organelles (LRO), such as platelet dense granules and melanosomes. In concert with the AP-3 complex, the BLOC-1 complex is required to target membrane protein cargos into vesicles assembled at cell bodies for delivery into neurites and nerve terminals. The BLOC-1 complex, in association with SNARE proteins, is also proposed to be involved in neurite extension. As part of the BORC complex may play a role in lysosomes movement and localization at the cell periphery. Associated with the cytosolic face of lysosomes, the BORC complex may recruit ARL8B and couple lysosomes to microtubule plus-end-directed kinesin motor.; May negatively regulate aerobic respiration through mitochondrial protein lysine-acetylation. May counteract the action of the deacetylase SIRT3 by acetylating and regulating proteins of the mitochondrial respiratory chain including ATP5F1A and NDUFA9.
-
基因功能參考文獻:
- The Hermansky-Pudlak syndrome complex BLOC-1 and its cargo PI4KIIalpha interact with regulators of the actin cytoskeleton. PMID: 23676666
- BLOS1 interacts with KXD1. PMID: 22554196
- GCN5L1 interacts with and promotes acetylation of SIRT3 respiratory chain targets and reverses global SIRT3 effects on mitochondrial protein acetylation, respiration and bioenergetics PMID: 22309213
- Quantitative proteomic studies expand the functional repertoire of the BLOC-1 complex and provide insight into putative molecular pathways of schizophrenia susceptibility. PMID: 22423091
- GCN5L1/BLOC1S1 regulates lysine acetylation in mitochondria. PMID: 22309213
- Together this study data provide evidence for the involvement of the BLOC-1 protein complex in SZ pathogenesis. PMID: 17618940
- Experimental investigation of five specific genes, AP3B1, ATP6AP1, BLOC1S1, LAMP2, and RAB11A, has confirmed novel roles for these proteins in the proper initiation of macroautophagy in amino acid-starved fibroblasts. PMID: 19246570
- Biogenesis of Lysosome-related Organelles complex-1 (BLOC-1) subunit 1 (BLOS1). PMID: 15102850
顯示更多
收起更多
-
亞細胞定位:Mitochondrion intermembrane space. Mitochondrion matrix. Cytoplasm, cytosol. Lysosome membrane.
-
蛋白家族:BLOC1S1 family
-
數據庫鏈接:
Most popular with customers
-
-
YWHAB Recombinant Monoclonal Antibody
Applications: ELISA, WB, IHC, IF, FC
Species Reactivity: Human, Mouse, Rat
-
Phospho-YAP1 (S127) Recombinant Monoclonal Antibody
Applications: ELISA, WB, IHC
Species Reactivity: Human
-
-
-
-
-















