BOK Antibody
-
中文名稱:BOK兔多克隆抗體
-
貨號:CSB-PA437965
-
規格:¥1100
-
圖片:
-
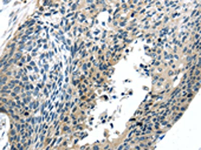
The image on the left is immunohistochemistry of paraffin-embedded Human esophagus cancer tissue using CSB-PA437965(BOK(BH3 domain) Antibody) at dilution 1/20, on the right is treated with synthetic peptide.
-
The image on the left is immunohistochemistry of paraffin-embedded Human cervical cancer tissue using CSB-PA437965(BOK(BH3 domain) Antibody) at dilution 1/20, on the right is treated with synthetic peptide.
-
-
其他:
產品詳情
-
Uniprot No.:
-
基因名:BOK
-
別名:Bcl 2 related ovarian killer protein antibody; Bcl-2-like protein 9 antibody; Bcl-2-related ovarian killer protein antibody; BCL2 related ovarian killer antibody; Bcl2-L-9 antibody; BCL2L9 antibody; BOK antibody; BOK_HUMAN antibody; BOKL antibody; Hbok antibody; MGC4631 antibody
-
宿主:Rabbit
-
反應種屬:Human,Mouse,Rat
-
免疫原:Synthetic peptide of Human BOK(BH3 domain)
-
免疫原種屬:Homo sapiens (Human)
-
標記方式:Non-conjugated
-
抗體亞型:IgG
-
純化方式:Antigen affinity purification
-
濃度:It differs from different batches. Please contact us to confirm it.
-
保存緩沖液:-20°C, pH7.4 PBS, 0.05% NaN3, 40% Glycerol
-
產品提供形式:Liquid
-
應用范圍:ELISA,IHC
-
推薦稀釋比:
Application Recommended Dilution ELISA 1:2000-1:5000 IHC 1:20-1:100 -
Protocols:
-
儲存條件:Upon receipt, store at -20°C or -80°C. Avoid repeated freeze.
-
貨期:Basically, we can dispatch the products out in 1-3 working days after receiving your orders. Delivery time maybe differs from different purchasing way or location, please kindly consult your local distributors for specific delivery time.
-
用途:For Research Use Only. Not for use in diagnostic or therapeutic procedures.
相關產品
靶點詳情
-
功能:Apoptosis regulator that functions through different apoptotic signaling pathways. Plays a roles as pro-apoptotic protein that positively regulates intrinsic apoptotic process in a BAX- and BAK1-dependent manner or in a BAX- and BAK1-independent manner. In response to endoplasmic reticulum stress promotes mitochondrial apoptosis through downstream BAX/BAK1 activation and positive regulation of PERK-mediated unfolded protein response. Activates apoptosis independently of heterodimerization with survival-promoting BCL2 and BCL2L1 through induction of mitochondrial outer membrane permeabilization, in a BAX- and BAK1-independent manner, in response to inhibition of ERAD-proteasome degradation system, resulting in cytochrome c release. In response to DNA damage, mediates intrinsic apoptotic process in a TP53-dependent manner. Plays a role in granulosa cell apoptosis by CASP3 activation. Plays a roles as anti-apoptotic protein during neuronal apoptotic process, by negatively regulating poly ADP-ribose polymerase-dependent cell death through regulation of neuronal calcium homeostasis and mitochondrial bioenergetics in response to NMDA excitation. In addition to its role in apoptosis, may regulate trophoblast cell proliferation during the early stages of placental development, by acting on G1/S transition through regulation of CCNE1 expression. May also play a role as an inducer of autophagy by disrupting interaction between MCL1 and BECN1.; Pro-apoptotic molecule exerting its function through the mitochondrial pathway.
-
基因功能參考文獻:
- Loss of BOK is associated with non-small-cell lung carcinoma. PMID: 28744854
- Data suggest that endoplasmic reticulum (ER) stress-induced apoptosis in hepatoma cells is regulated by highly labile and ER-associated BCL-2 family member BOK, which is controlled at level of protein stability by ER-associated degradation components; DNAJB12 is required in hepatoma cells to maintain BOK at low levels and suppress ER stress. (DNAJB12 = DnaJ (Hsp40) homolog, subfamily B, member 12) PMID: 28536268
- Data suggest that hypoxia-induced expression of BOK in placental cells is regulated via promoter region, hypoxia-response element, and binding of hypoxia-inducible factors (HIF1A, HIF2A/EPAS1, HIF1B/ARNT) but is not affected by its antisense transcript. PMID: 24806027
- First evidence for a key role of the BOK-MCL1 system in regulating autophagy in the human placenta, whereby an adverse environment as seen in preeclampsia tilts the BOK-MCL1 balance toward the build-up of isoforms that triggers placental autophagy. PMID: 24113155
- Bok may govern IP3R cleavage and activity during apoptosis. PMID: 23884412
- Data conclude that Mtd-L functions to regulate trophoblast cell proliferation during early placentation and that the elevated levels of Mtd found in PE may contribute to increased trophoblast proliferation. PMID: 19942931
- BOK and NOXA are essential mediators of p53-dependent apoptosis PMID: 15102863
- A novel Mtd/BOK splice isoform is responsible for trophoblast cell death in pre-eclampsia. PMID: 15775999
- Studies showed that hBok was distributed in both the cytosol and intracellular membranes of healthy cells. PMID: 15868100
- a link between the apoptotic activity and nuclear localization of a pro-apoptotic Bok PMID: 16302269
- Bok represents a cell cycle-regulated pro-apoptotic member of the Bcl-2 family PMID: 16772296
- BOKAS is a natural antisense transcript that regulates the pro-apoptotic activity of human Bok PMID: 19287972
顯示更多
收起更多
-
亞細胞定位:[Isoform 1]: Mitochondrion membrane; Single-pass membrane protein. Endoplasmic reticulum membrane; Single-pass membrane protein. Mitochondrion inner membrane. Cytoplasm. Nucleus. Mitochondrion. Endoplasmic reticulum. Mitochondrion outer membrane. Early endosome membrane. Recycling endosome membrane. Nucleus outer membrane. Golgi apparatus, cis-Golgi network membrane. Golgi apparatus, trans-Golgi network membrane. Membrane.; [Isoform 2]: Membrane. Cytoplasm.
-
蛋白家族:Bcl-2 family
-
組織特異性:Expressed mainly in oocytes; weak expression in granulosa cells of the developing follicles. In adult human ovaries, expressed in granulosa cells at all follicular stages, but expression in primordial/primary follicles granulosa cell is stronger than in s
-
數據庫鏈接:
Most popular with customers
-
-
YWHAB Recombinant Monoclonal Antibody
Applications: ELISA, WB, IHC, IF, FC
Species Reactivity: Human, Mouse, Rat
-
Phospho-YAP1 (S127) Recombinant Monoclonal Antibody
Applications: ELISA, WB, IHC
Species Reactivity: Human
-
-
-
-
-















