BPGM Antibody
-
中文名稱:BPGM兔多克隆抗體
-
貨號:CSB-PA002781ESR2HU
-
規格:¥440
-
圖片:
-
Western blot
All lanes: BPGM antibody at 5.94µg/ml
Lane 1: Human peripheral blood mononuclear cells
Lane 2: Mouse liver tissue
Lane 3: Human placenta tissue
Lane 4: Hela whole cell lysate
Lane 5: 293T whole cell lysate
Lane 6: A549 whole cell lysate
Secondary
Goat polyclonal to rabbit IgG at 1/10000 dilution
Predicted band size: 30 kDa
Observed band size: 30 kDa -
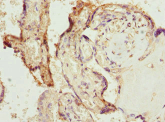
Immunohistochemistry of paraffin-embedded human placenta tissue using CSB-PA002781ESR2HU at dilution of 1:100
-
-
其他:
產品詳情
-
產品名稱:Rabbit anti-Homo sapiens (Human) BPGM Polyclonal antibody
-
Uniprot No.:
-
基因名:BPGM
-
別名:2 antibody; 2,3-bisphosphoglycerate mutase antibody; 2,3-bisphosphoglycerate mutase, erythrocyte antibody; 2,3-bisphosphoglycerate synthase antibody; 2,3-diphosphoglycerate mutase antibody; 3-bisphosphoglycerate mutase antibody; 3-bisphosphoglycerate synthase antibody; 3-diphosphoglycerate mutase antibody; Ab2 098 antibody; AI323730 antibody; AL022789 antibody; Bisphosphoglycerate mutase antibody; BPG dependent PGAM antibody; BPG-dependent PGAM antibody; Bpgm antibody; C86192 antibody; DPGM antibody; Erythrocyte 2,3 bisphosphoglycerate mutase antibody; erythrocyte antibody; PMGE_HUMAN antibody
-
宿主:Rabbit
-
反應種屬:Human, Mouse
-
免疫原:Recombinant Human Bisphosphoglycerate mutase protein (1-259AA)
-
免疫原種屬:Homo sapiens (Human)
-
標記方式:Non-conjugated
-
克隆類型:Polyclonal
-
抗體亞型:IgG
-
純化方式:Antigen Affinity Purified
-
濃度:It differs from different batches. Please contact us to confirm it.
-
保存緩沖液:PBS with 0.02% sodium azide, 50% glycerol, pH7.3.
-
產品提供形式:Liquid
-
應用范圍:ELISA, WB, IHC
-
推薦稀釋比:
Application Recommended Dilution WB 1:1000-1:5000 IHC 1:20-1:200 -
Protocols:
-
儲存條件:Upon receipt, store at -20°C or -80°C. Avoid repeated freeze.
-
貨期:Basically, we can dispatch the products out in 1-3 working days after receiving your orders. Delivery time maybe differs from different purchasing way or location, please kindly consult your local distributors for specific delivery time.
-
用途:For Research Use Only. Not for use in diagnostic or therapeutic procedures.
相關產品
靶點詳情
-
功能:Plays a major role in regulating hemoglobin oxygen affinity by controlling the levels of its allosteric effector 2,3-bisphosphoglycerate (2,3-BPG). Also exhibits mutase (EC 5.4.2.11) activity.
-
基因功能參考文獻:
- 1.94 A resolution X-ray structure of bisphosphoglycerate mutase is presented, focusing on the dynamic nature of key ligand-binding residues and their interaction with the inhibitor citrate PMID: 21045285
- bisphosphoglycerate mutase crystallographic structure PMID: 15258155
- analysis of histidine phosphorylation in human bisphosphoglycerate mutase PMID: 17052986
-
相關疾病:Bisphosphoglycerate mutase deficiency (BPGMD)
-
蛋白家族:Phosphoglycerate mutase family, BPG-dependent PGAM subfamily
-
組織特異性:Expressed in red blood cells. Expressed in non-erythroid cells of the placenta; present in the syncytiotrophoblast layer of the placental villi at the feto-maternal interface (at protein level).
-
數據庫鏈接:
Most popular with customers
-
-
YWHAB Recombinant Monoclonal Antibody
Applications: ELISA, WB, IHC, IF, FC
Species Reactivity: Human, Mouse, Rat
-
Phospho-YAP1 (S127) Recombinant Monoclonal Antibody
Applications: ELISA, WB, IHC
Species Reactivity: Human
-
-
-
-
-















